ISO 9001:2015 Certified
Live Customer Support
4.5/5 on Trustpilot
100% Quality Guarantee

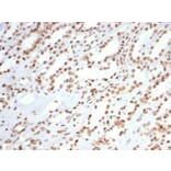
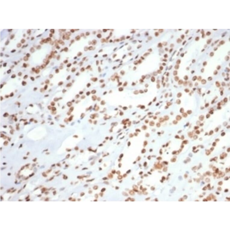
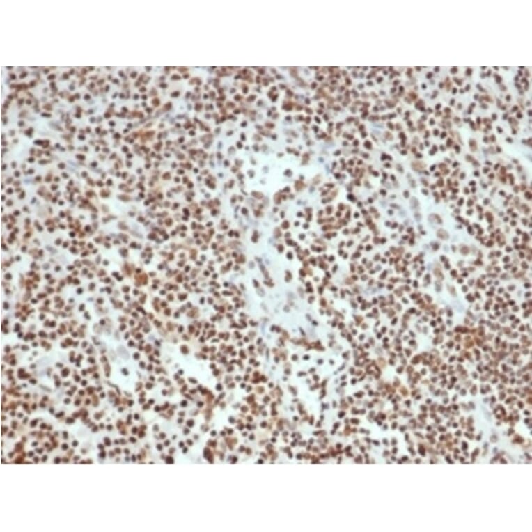
Anti-Ku80 Antibody [XRCC5/7315] - BSA and Azide free (A278412)

Mouse monoclonal [XRCC5/7315] antibody to Ku80 for WB and IHC-P.

Alternative Formats and ConjugatesAlternative Formats

Shipping Information

$40
Dispatched from St. Louis, MO.
Lead Time: 5-8 business days.
Name
Anti-Ku80 Antibody [XRCC5/7315] - BSA and Azide free
Description
Mouse monoclonal [XRCC5/7315] antibody to Ku80.
Specificity
The Ku protein is localized in the nucleus and is composed of subunits referred to as Ku-70 (or p70) and Ku-86 or (p86) which is also known by the synonym Ku-80 or (p80). Ku was first described as an autoantigen to which antibodies were produced in a patient with scleroderma-polymyositis overlap syndrome, and was later found in the sera of patients with other rheumatic diseases. Ku has several functions, including cell signaling, DNA replication and transcriptional activation. Ku is involved in Pol II-directed transcription by virtue of its DNA binding activity; serving as the regulatory component of the DNA-associated protein kinase that phosphorylates Pol II and transcription factor Sp. Ku proteins also activate transcription from the U1 small nuclear RNA and the human transferrin receptor gene promoters.
Applications
WB, IHC-P
Dilutions
WB: 1-2 µg/ml, IHC-P: 1-2 µg/ml
Reactivity
Human
Immunogen
Recombinant fragment, around amino acids 300-500, of human Ku80 protein. The exact sequence is proprietary.
Host
Mouse
Clonality
Monoclonal
Clone ID
XRCC5/7315
Isotype
IgG1
Light Chains
kappa
Conjugate

Unconjugated

Purification
Protein A/G chromatography.
Concentration
1 mg/ml
Molecular Weight
80-86 kDa
Product Form
Liquid
Formulation
Supplied in 10mM Phosphate Buffered Saline; without Sodium Azide and carrier free.
Storage
Shipped at 4°C. Upon delivery aliquot and store at -20°C. Avoid freeze / thaw cycles.
General Notes
This monoclonal antibody is also available in a different formulation with BSA and Sodium Azide - Anti-Ku80 Antibody [XRCC5/7315] (A277824).
Synonyms
86 kDa subunit of Ku antigen, ATP-dependent DNA helicase 2 subunit 2, ATP-dependent DNA helicase II 80 kDa subunit, CTC box-binding factor 85 kDa subunit, CTC85, CTCBF, DNA repair protein XRCC5, G22P2, X-ray repair cross-complementing protein 5, XRCC5
Disclaimer
This product is for research use only. It is not intended for diagnostic or therapeutic use.
Publishing research using Anti-Ku80 Antibody [XRCC5/7315] - BSA and Azide free (A278412)? Please let us know so that we can list the citation on this page.

Alternative products to Anti-Ku80 Antibody [XRCC5/7315] - BSA and Azide free (A278412)

Proteins predicted to interact with Ku80

Predicted protein interactions based upon String database. Revelancy score correlates with probability of interaction.
99.9% Relevancy Score
99.9% Relevancy Score
99.9% Relevancy Score
99.9% Relevancy Score
99.9% Relevancy Score
99.9% Relevancy Score
99.8% Relevancy Score
99.8% Relevancy Score
99.6% Relevancy Score