ISO 9001:2015 Certified
Live Customer Support
4.5/5 on Trustpilot
100% Quality Guarantee

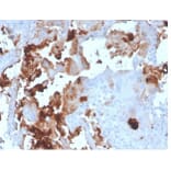
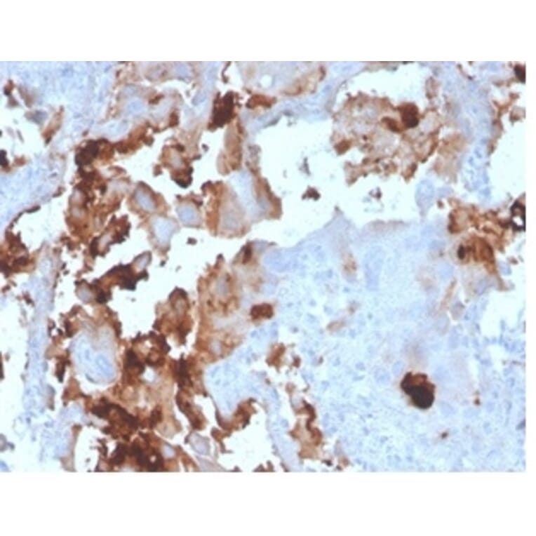
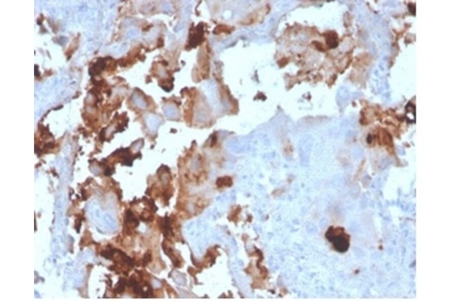
Anti-L-PLUNC Antibody [LPLUNC1/3206] (A277844)

Mouse monoclonal [LPLUNC1/3206] antibody to L-PLUNC for ELISA, WB and IHC-P.

Alternative Formats and ConjugatesAlternative Formats

Shipping Information

$40
Dispatched from St. Louis, MO.
Lead Time: 5-8 business days.
Name
Anti-L-PLUNC Antibody [LPLUNC1/3206]
Description
Mouse monoclonal [LPLUNC1/3206] antibody to L-PLUNC.
Specificity
The upper respiratory tract is the main place of entry for pathogens to invade the body, and early recognition of bacterial products in this region is crucial for host defense. Palate lung nasal epithelial clone PLUNC (or LUNX) is an airway specific secretory protein that is expressed in epithelial tissues and submucosal glands of the oral cavity and upper respiratory tract of humans, mice, rats and cows. PLUNC binds to lipopolysaccharide (LPS) in nasal lavage fluid (NLF) which points to its role in the inflammatory response of the upper airways after exposure to irritants. Decreased levels of PLUNC occur in the NLF of smokers and people who have been exposed to reactive epoxy chemicals, indicating that long-term exposure to airway irritants impairs the production of PLUNC in the upper respiratory tract. Abnormal expression of PLUNC may influence susceptibility to nasopharyngeal carcinoma in the Chinese population.
Applications
ELISA, WB, IHC-P
Dilutions
WB: 1-2 µg/ml, IHC-P: 1-2 µg/ml
Reactivity
Human
Immunogen
Recombinant full-length human L-PLUNC protein.
Host
Mouse
Clonality
Monoclonal
Clone ID
LPLUNC1/3206
Isotype
IgG
Conjugate

Unconjugated

Purification
Protein A/G chromatography.
Concentration
200 µg/ml
Molecular Weight
25 kDa
Product Form
Liquid
Formulation
Supplied in 10mM Phosphate Buffered Saline with 0.05% BSA and 0.05% Sodium Azide.
Storage
Shipped at 4°C. Upon delivery aliquot and store at -20°C. Avoid freeze / thaw cycles.
General Notes
This monoclonal antibody is also available in a different formulation without BSA and Sodium Azide - Anti-L-PLUNC Antibody [LPLUNC1/3206] - BSA and Azide free (A278432).
Isotype Controls
Disclaimer
This product is for research use only. It is not intended for diagnostic or therapeutic use.
Publishing research using Anti-L-PLUNC Antibody [LPLUNC1/3206] (A277844)? Please let us know so that we can list the citation on this page.