ISO 9001:2015 Certified
Live Customer Support
4.5/5 on Trustpilot
100% Quality Guarantee

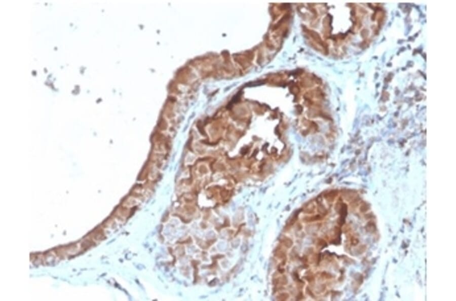
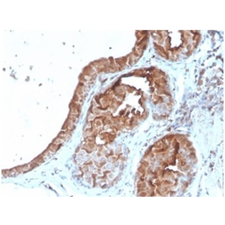
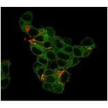
Anti-Lactoferrin Antibody [LTF/4079] - BSA and Azide free (A278284)

Mouse monoclonal [LTF/4079] antibody to Lactoferrin for Flow Cytometry, IF and IHC-P.

Alternative Formats and ConjugatesAlternative Formats

Shipping Information

$40
Dispatched from St. Louis, MO.
Lead Time: 5-8 business days.
Name
Anti-Lactoferrin Antibody [LTF/4079] - BSA and Azide free
Description
Mouse monoclonal [LTF/4079] antibody to Lactoferrin.
Specificity
Ferritin and transferrins manage necessary iron-binding functions for iron metabolism. Transferrins comprise a class of single-chain, two-sited, metal-binding proteins expressed throughout the fluid and cells of vertebrates. The three major types of transferrin include serotransferrin, lactotransferrin (lactoferrin) and ovotransferrin. Lactoferrin is found in milk, tears and leukocytes. It degrades an IgA1protease secreted by Haemophilus influenzae and, consequently, allows the human IgA1antibody to effectively abolish Haemophilus influenzae colonization. Lactoferrin also attenuates the pathogenic potential of Haemophilus influenzae by proteolytic degradation of the Hap adhesin. While lactoferrin may aid in the transmission of human T cell leukemiavirus type 1, it inhibits HIV-1 replication at the level of viral fusion and entry into cells. The inhibitory effects of lactoferrin on mixed lymphocyte reactions suggest that it may have the ability to sense the activation status of lymphocytes.
Applications
Flow Cytometry, IF, IHC-P
Dilutions
Flow Cytometry: 1-2 µg/million cells, IF: 1-2 µg/ml, IHC-P: 1-2 µg/ml
Reactivity
Human
Immunogen
Recombinant fragment, around amino acids 614-645, of human Lactoferrin protein. The exact sequence is proprietary.
Host
Mouse
Clonality
Monoclonal
Clone ID
LTF/4079
Isotype
IgG2b
Light Chains
kappa
Conjugate

Unconjugated

Purification
Protein A/G chromatography.
Concentration
1 mg/ml
Molecular Weight
78 kDa
Product Form
Liquid
Formulation
Supplied in 10mM Phosphate Buffered Saline; without Sodium Azide and carrier free.
Storage
Shipped at 4°C. Upon delivery aliquot and store at -20°C. Avoid freeze / thaw cycles.
General Notes
This monoclonal antibody is also available in a different formulation with BSA and Sodium Azide - Anti-Lactoferrin Antibody [LTF/4079] (A277696).
Synonyms
GIG12, Growth-inhibiting protein 12, Lactotransferrin, LF, LTF, Talalactoferrin
Disclaimer
This product is for research use only. It is not intended for diagnostic or therapeutic use.
Publishing research using Anti-Lactoferrin Antibody [LTF/4079] - BSA and Azide free (A278284)? Please let us know so that we can list the citation on this page.

Alternative products to Anti-Lactoferrin Antibody [LTF/4079] - BSA and Azide free (A278284)

Proteins predicted to interact with Lactoferrin

Predicted protein interactions based upon String database. Revelancy score correlates with probability of interaction.
99.9% Relevancy Score
99.8% Relevancy Score
99.7% Relevancy Score
99.7% Relevancy Score
99.6% Relevancy Score
99.6% Relevancy Score
99.3% Relevancy Score
98.6% Relevancy Score
97.2% Relevancy Score