Recombinant human monoclonal antibody to SLC39A6/ZIP-6.
Applications
ELISA, FACS, Functional Assay, In Vivo
Reactivity
Human, Cynomolgus Macaque
Host
Human
Clonality
Monoclonal
Isotype
IgG1
Light Chains
kappa
Conjugate
Unconjugated
Purification
Protein A affinity chromatography.
Concentration
Reconstitution dependent.
Molecular Weight
This antibody has a predicted MW of 146.96 kDa.
Purity
> 95% (by SDS-PAGE and SEC-HPLC).
Product Form
Lyophilized
Reconstitution
Reconstitute with 100µl of sterile double-distilled water to bring antibody to 1mg/ml concentration. Gently shake to solubilize completely. Do not vortex!
Formulation
Lyophilized from 25mM Histadine, pH 6.2, with 8% Sucrose and 0.01% Tween80.
Storage
Shipped at 4°C. Lyophilized: Store at -20°C to -80°C. Reconstituted: Aliquot and store at -80°C. Product is stable for one year. Avoid freeze/thaw cycles.
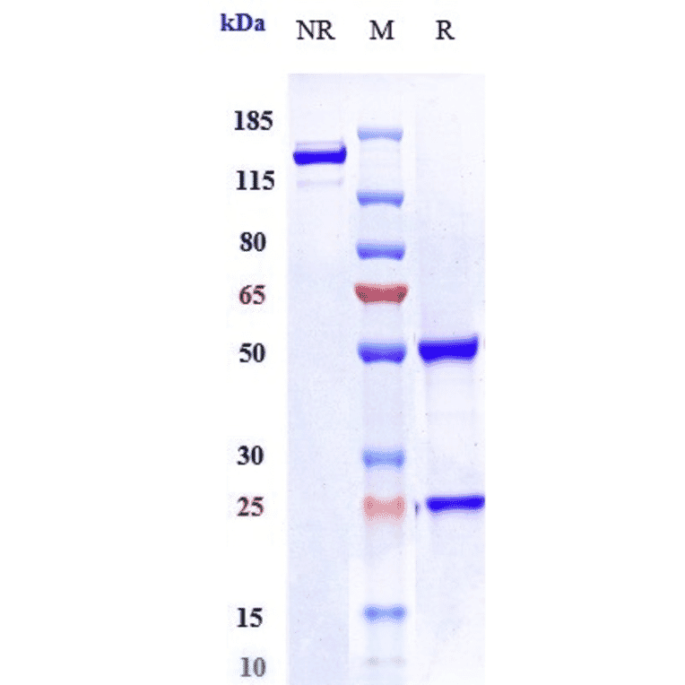
SDS-PAGE analysis of Ladiratuzumab Biosimilar - Anti-SLC39A6/ZIP-6 Antibody - Low endotoxin, Azide free (A323528) under reducing (R) conditions confirms that the purity of this antibody is greater than 95%.
SEC-HPLC analysis of Ladiratuzumab Biosimilar - Anti-SLC39A6/ZIP-6 Antibody - Low endotoxin, Azide free (A323528) confirms that the purity of this antibody is 98.2%.
Immobilized recombinant human LIV 1 protein (His tag) at 2 µg/ml is bound by Ladiratuzumab Biosimilar - Anti-SLC39A6/ZIP-6 Antibody - Low endotoxin, Azide free (A323528). EC50 = 0.005145 µg/ml.
Human LIV1 HEK293 cells were stained with Ladiratuzumab Biosimilar - Anti-SLC39A6/ZIP-6 Antibody - Low endotoxin, Azide free (A323528) and negative control protein respectively, washed and then followed by PE and analyzed with FACS, EC220 = 0.06904 µg/ml.
Publishing research using Ladiratuzumab Biosimilar - Anti-SLC39A6/ZIP-6 Antibody - Low endotoxin, Azide free (A323528)? Please let us know so that we can list the citation on this page.