Primary Antibodies
Secondary Antibodies
Proteins & Peptides
ELISA Kits
About Us
Contact Us
Sign In/Register
0
ISO 9001:2015 Certified
Live Customer Support
4.5/5 on Trustpilot
100% Quality Guarantee
Home
Primary Antibodies
Lambda Light Chain Antibodies
Anti-Lambda Light chain Antibody (A36261)
Anti-Lambda Light chain Antibody (A36261)
Overview
Specifications
Images
Enlarge Image
Enlarge Image
Enlarge Image
$430
Product Datasheet
Rabbit polyclonal antibody to Lambda Light chain for WB and IHC.
100% Guarantee
Price Match Guarantee
Product Size:
100µl
Quantity:
1
2
3
4
5
6
7
8
9
10
Add To Cart
Request a Quotation
Custom or Bulk Request
Shipping Information
Freight/Packing Charges:
$40
Dispatched from St. Louis, MO.
Lead Time: 6-9 business days.
Specifications
Name
Anti-Lambda Light chain Antibody
Description
Rabbit polyclonal antibody to Lambda Light chain
Specificity
The antibody detects endogenous levels of total Lambda Light chain protein.
Applications
WB
,
IHC
Reactivity
Human
Immunogen
Synthetic peptide of human Lambda Light chain
Host
Rabbit
Clonality
Polyclonal
Conjugate
Unconjugated
Purification
Antigen affinity purification.
Concentration
1.3 mg/mL
Formulation
Rabbit IgG in pH7.4 PBS, 0.05% NaN3, 40% Glycerol.
Storage
Shipped at 4°C. Upon delivery aliquot and store at -20°C. Avoid freeze/thaw cycles.
Synonyms
Ig lambda chain V-I region BL2, Ig lambda chain V-I region EPS, Ig lambda chain V-I region NEW, Ig lambda chain V-I region NIG-64, IGLV1-51, Immunoglobulin lambda variable 1-51
Suitable Secondaries
Goat Anti-Rabbit IgG H&L Antibody (AP) (A294874)
Goat Anti-Rabbit IgG H&L Antibody (Biotin) (A294795)
Goat Anti-Rabbit IgG H&L Antibody (FITC) (A294887)
Goat Anti-Rabbit IgG H&L Antibody (HRP) (A294888)
See all Anti-Rabbit IgG Secondaries →
Disclaimer
This product is for research use only. It is not intended for diagnostic or therapeutic use.
Scientific Validation Data
Validation Data
(3)
Enlarge Image
Anti-Lambda Light chain Antibody (A36261)
Gel: 12% SDS-PAGE Lysate: 40 μg Lane: Human plasma solution Primary antibody: 1/200 dilution Secondary antibody: Goat anti rabbit IgG at 1/8000 dilution Exposure time: 10 seconds
Enlarge Image
Immunohistochemistry - Anti-Lambda Light chain Antibody (A36261)
Immunohistochemical analysis of paraffin-embedded Human oesophagus cancer tissue using #43108 at dilution 1/20.
Enlarge Image
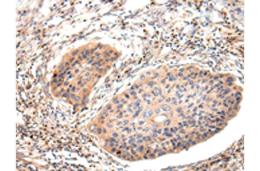
Immunohistochemistry - Anti-Lambda Light chain Antibody (A36261)
Immunohistochemical analysis of paraffin-embedded Human thyroid cancer tissue using #43108 at dilution 1/20.
Publishing research using Anti-Lambda Light chain Antibody (A36261)? Please
let us know
so that we can list the citation on this page.
Alternative products to Anti-Lambda Light chain Antibody (A36261)
(5)
A248992
Anti-Lambda Light Chain Antibody [HP6054]
Mouse monoclonal [HP6054] antibody to Lambda Light Chain for Flow Cytometry, IF, WB and IHC-P.
(5)
A252172
Anti-Lambda Light Chain Antibody [HP6054] - BSA and Azide free
Mouse monoclonal [HP6054] antibody to Lambda Light Chain for Flow Cytometry, IF, WB and IHC-P.
A337469
Anti-Lambda Light Chain Nanobody [SAA0488]
Recombinant human monoclonal [SAA0488] nanobody to Lambda Light Chain for ELISA, IHC, ICC/IF, IP and WB.
(4)
A248993
Anti-Lambda Light Chain Antibody [LcN-2]
Mouse monoclonal [LcN-2] antibody to Lambda Light Chain for Flow Cytometry, IF, WB and IHC-P.
(4)
A252173
Anti-Lambda Light Chain Antibody [LcN-2] - BSA and Azide free
Mouse monoclonal [LcN-2] antibody to Lambda Light Chain for Flow Cytometry, IF, WB and IHC-P.
(4)
A121310
Anti-Lambda Light Chain Antibody [RM127]
Recombinant rabbit monoclonal [RM127] antibody to Lambda Light Chain for ICC, IHC, Flow Cytometry and ELISA.
(4)
A307901
Anti-Lambda Light chain Antibody [ARC2357]
Rabbit monoclonal [ARC2357] antibody to Lambda Light chain for WB and IHC.
(2)
A252177
Anti-Lambda Light Chain Antibody [N10/2] - BSA and Azide free
Mouse monoclonal [N10/2] antibody to Lambda Light Chain for Flow Cytometry, IF, WB and IHC-P.
(2)
A248994
Anti-Lambda Light Chain Antibody [SPM559]
Mouse monoclonal [SPM559] antibody to Lambda Light Chain for Flow Cytometry, IF, WB and IHC-P.
(2)
A252174
Anti-Lambda Light Chain Antibody [SPM559] - BSA and Azide free
Mouse monoclonal [SPM559] antibody to Lambda Light Chain for Flow Cytometry, IF, WB and IHC-P.
(2)
A248997
Anti-Lambda Light Chain Antibody [N10/2]
Mouse monoclonal [N10/2] antibody to Lambda Light Chain for Flow Cytometry, IF, WB and IHC-P.
(3)
A252180
Anti-Lambda Light Chain Antibody [LLC/3778R] - BSA and Azide free
Recombinant rabbit monoclonal [LLC/3778R] antibody to Lambda Light Chain for IHC-P.
(5)
A248992
Anti-Lambda Light Chain Antibody [HP6054]
Mouse monoclonal [HP6054] antibody to Lambda Light Chain for Flow Cytometry, IF, WB and IHC-P.
(5)
A252172
Anti-Lambda Light Chain Antibody [HP6054] - BSA and Azide free
Mouse monoclonal [HP6054] antibody to Lambda Light Chain for Flow Cytometry, IF, WB and IHC-P.
A337469
Anti-Lambda Light Chain Nanobody [SAA0488]
Recombinant human monoclonal [SAA0488] nanobody to Lambda Light Chain for ELISA, IHC, ICC/IF, IP and WB.
(4)
A248993
Anti-Lambda Light Chain Antibody [LcN-2]
Mouse monoclonal [LcN-2] antibody to Lambda Light Chain for Flow Cytometry, IF, WB and IHC-P.
(4)
A252173
Anti-Lambda Light Chain Antibody [LcN-2] - BSA and Azide free
Mouse monoclonal [LcN-2] antibody to Lambda Light Chain for Flow Cytometry, IF, WB and IHC-P.
(4)
A121310
Anti-Lambda Light Chain Antibody [RM127]
Recombinant rabbit monoclonal [RM127] antibody to Lambda Light Chain for ICC, IHC, Flow Cytometry and ELISA.
(4)
A307901
Anti-Lambda Light chain Antibody [ARC2357]
Rabbit monoclonal [ARC2357] antibody to Lambda Light chain for WB and IHC.
(2)
A252177
Anti-Lambda Light Chain Antibody [N10/2] - BSA and Azide free
Mouse monoclonal [N10/2] antibody to Lambda Light Chain for Flow Cytometry, IF, WB and IHC-P.
(2)
A248994
Anti-Lambda Light Chain Antibody [SPM559]
Mouse monoclonal [SPM559] antibody to Lambda Light Chain for Flow Cytometry, IF, WB and IHC-P.
(2)
A252174
Anti-Lambda Light Chain Antibody [SPM559] - BSA and Azide free
Mouse monoclonal [SPM559] antibody to Lambda Light Chain for Flow Cytometry, IF, WB and IHC-P.
(2)
A248997
Anti-Lambda Light Chain Antibody [N10/2]
Mouse monoclonal [N10/2] antibody to Lambda Light Chain for Flow Cytometry, IF, WB and IHC-P.
(3)
A252180
Anti-Lambda Light Chain Antibody [LLC/3778R] - BSA and Azide free
Recombinant rabbit monoclonal [LLC/3778R] antibody to Lambda Light Chain for IHC-P.
See all Lambda Light chain Antibodies
Top