Western blot analysis of extracts of various cell lines, using Anti-Lamin B1 Antibody (A13736) at 1:1,000 dilution. Jurkat cells were treated by Etoposide (25 uM) at 37°C for 5 hours. The secondary antibody was Goat Anti-Rabbit IgG H&L Antibody (HRP) at 1:10,000 dilution. Lysates/proteins were present at 25µg per lane. The blocking buffer used was 3% non-fat dry milk in TBST. Detection was with a ECL Basic Kit. Exposure time: 10s.
Western blot analysis of extracts of various cell lines, using Anti-Lamin B1 Antibody (A13736) at 1:1,000 dilution. L929 cells were treated by staurosporine(1 uM) for 3 hour. The secondary antibody was Goat Anti-Rabbit IgG H&L Antibody (HRP) at 1:10,000 dilution. Lysates/proteins were present at 25µg per lane. The blocking buffer used was 3% non-fat dry milk in TBST. Detection was with a ECL Basic Kit. Exposure time: 30s.
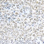
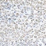
Immunohistochemistry analysis of paraffin-embedded human esophageal cancer using Anti-Lamin B1 Antibody (A13736) at a dilution of 1:200 (40x lens). Perform high pressure antigen retrieval with 10 mM citrate buffer pH 6.0 before commencing with IHC staining protocol.
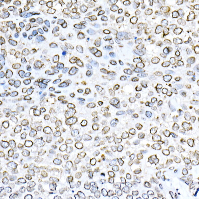
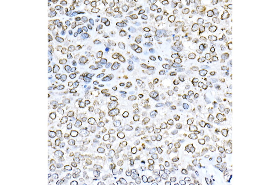
Immunohistochemistry analysis of paraffin-embedded mouse kidney using Anti-Lamin B1 Antibody (A13736) at a dilution of 1:200 (40x lens). Perform high pressure antigen retrieval with 10 mM citrate buffer pH 6.0 before commencing with IHC staining protocol.
Immunohistochemistry analysis of paraffin-embedded rat brain using Anti-Lamin B1 Antibody (A13736) at a dilution of 1:200 (40x lens). Perform high pressure antigen retrieval with 10 mM citrate buffer pH 6.0 before commencing with IHC staining protocol.
Immunohistochemistry analysis of paraffin-embedded human esophageal cancer using Anti-Lamin B1 Antibody (A13736) at a dilution of 1:200 (40x lens). Perform high pressure antigen retrieval with 10 mM citrate buffer pH 6.0 before commencing with IHC staining protocol.
Immunohistochemistry analysis of paraffin-embedded mouse kidney using Anti-Lamin B1 Antibody (A13736) at a dilution of 1:200 (40x lens). Perform high pressure antigen retrieval with 10 mM citrate buffer pH 6.0 before commencing with IHC staining protocol.
Immunohistochemistry analysis of paraffin-embedded rat brain using Anti-Lamin B1 Antibody (A13736) at a dilution of 1:200 (40x lens). Perform high pressure antigen retrieval with 10 mM citrate buffer pH 6.0 before commencing with IHC staining protocol.
Confocal immunofluorescence analysis of HeLa cells using Anti-Lamin B1 Antibody (A13736) at a dilution of 1:200. DAPI was used to stain the cell nuclei (blue).
Immunofluorescence analysis of PC-12 cells using Anti-Lamin B1 Antibody (A13736) at a dilution of 1:100 (40x lens). DAPI was used to stain the cell nuclei (blue).
Immunofluorescence analysis of U2OS cells using Anti-Lamin B1 Antibody (A13736) at a dilution of 1:100 (40x lens). DAPI was used to stain the cell nuclei (blue).
Immunoprecipitation analysis of 300µg extracts of HeLa cells using 3µg of Anti-Lamin B1 Antibody (A13736). This Western blot was performed on the immunoprecipitate using Anti-Lamin B1 Antibody (A13736) at a dilution of 1:1000.
Immunoprecipitation analysis of 300µg extracts of HeLa cells using 3µg of Anti-Lamin B1 Antibody (A13736). This Western blot was performed on the immunoprecipitate using Anti-Lamin B1 Antibody (A13736) at a dilution of 1:1000.
Chromatin immunoprecipitation (ChIP) analysis of extracts of HeLa cells, using Anti-Lamin B1 Antibody (A13736) and Rabbit IgG. The amount of immunoprecipitated DNA was checked by quantitative PCR. Histogram was constructed by the ratios of the immunoprecipitated DNA to the input.