ISO 9001:2015 Certified
Live Customer Support
4.5/5 on Trustpilot
100% Quality Guarantee

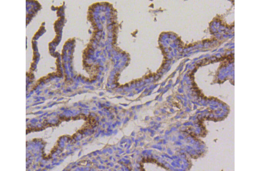
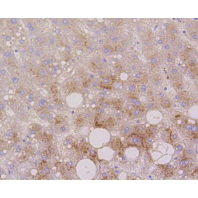
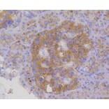
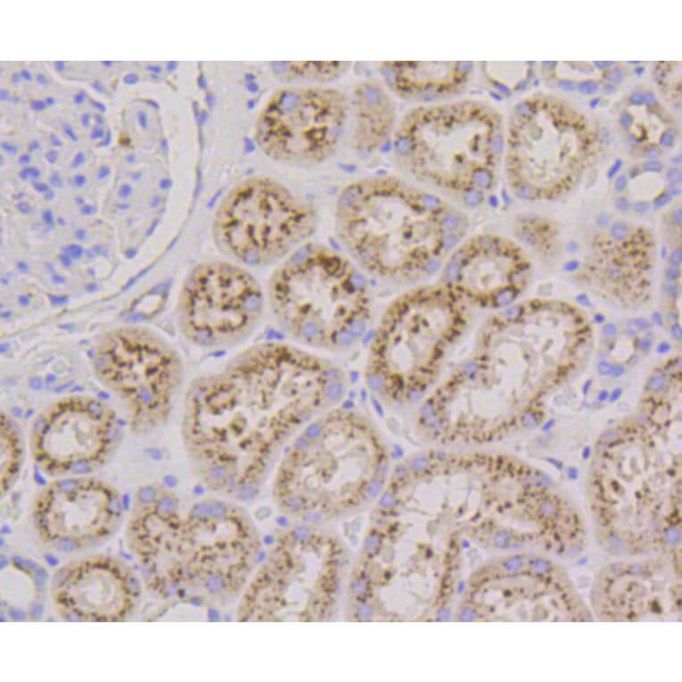
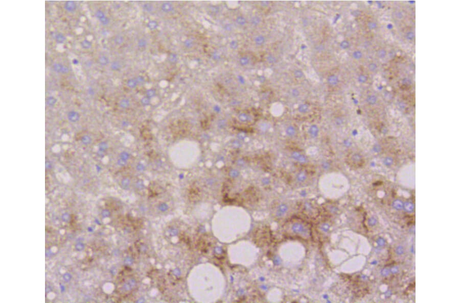
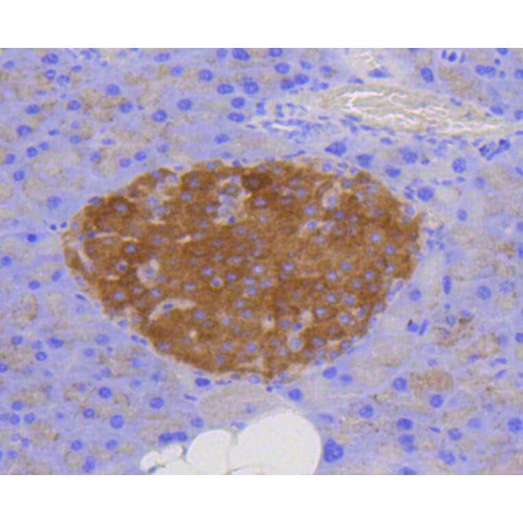
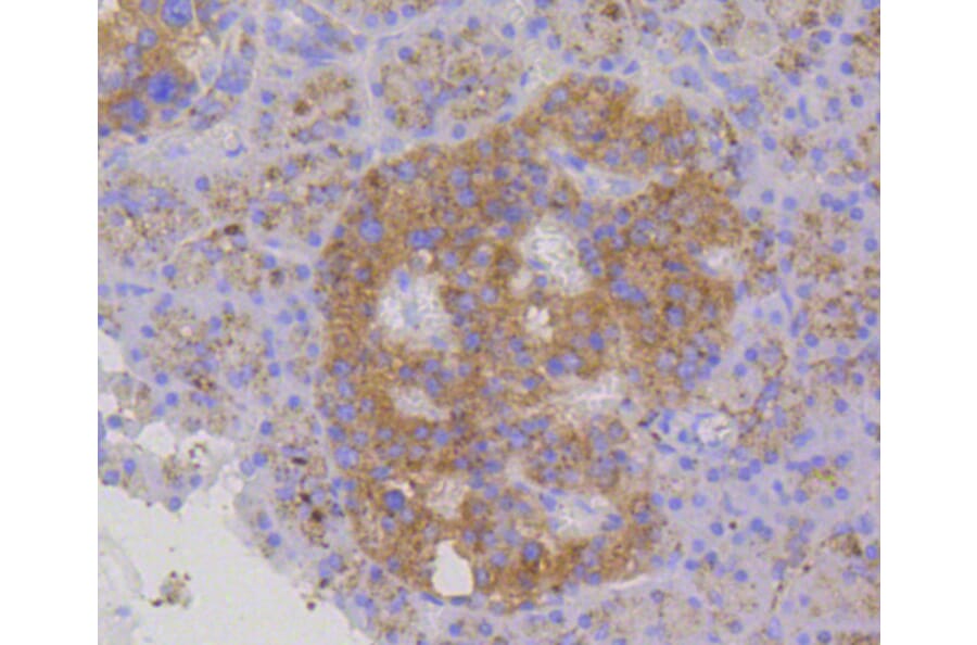
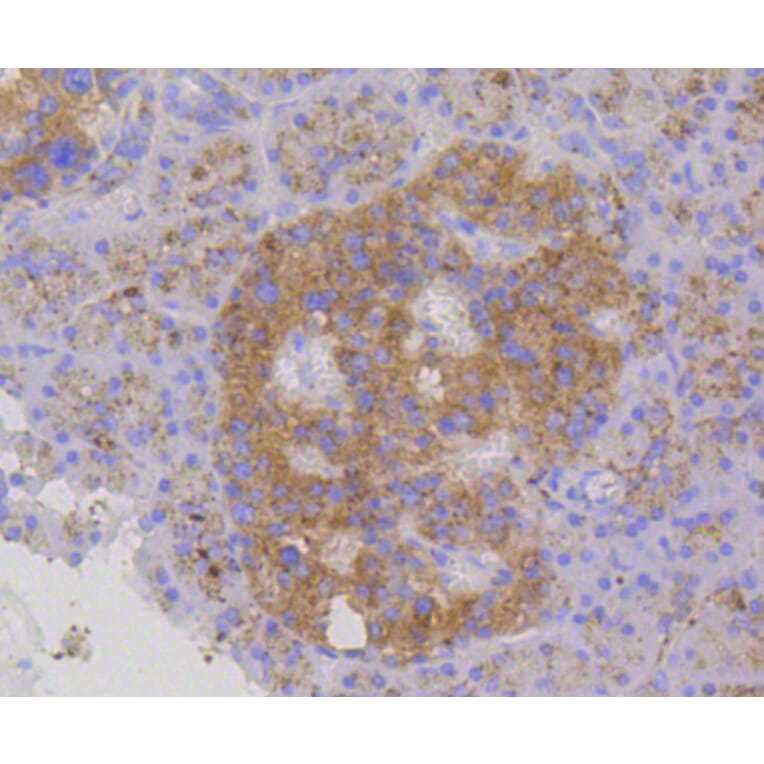
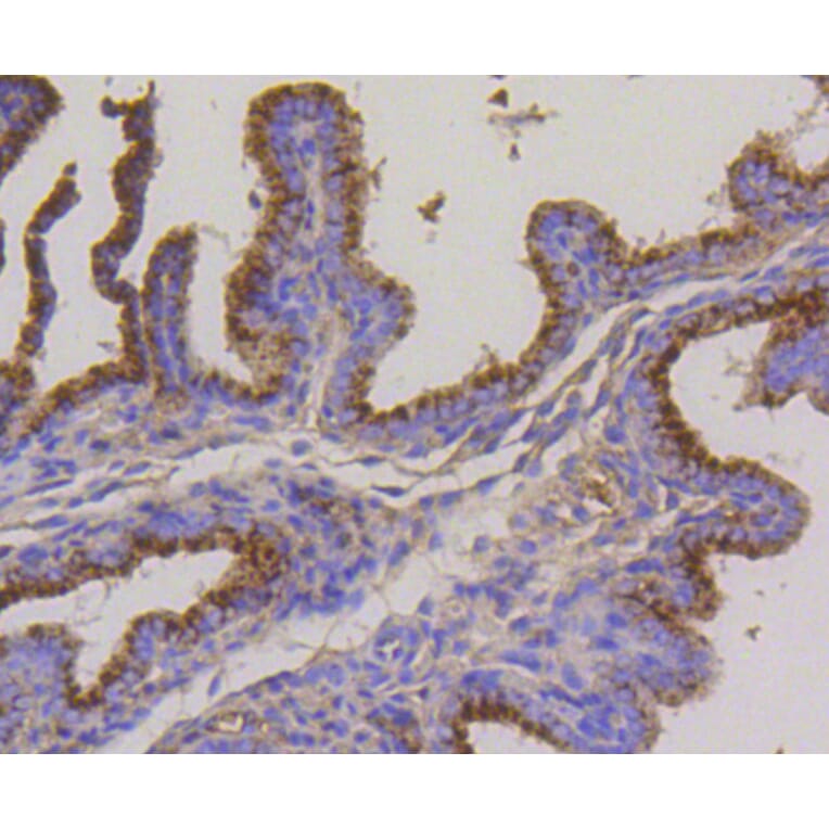
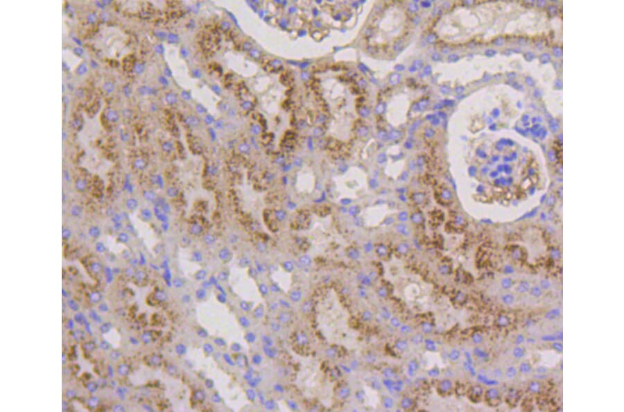
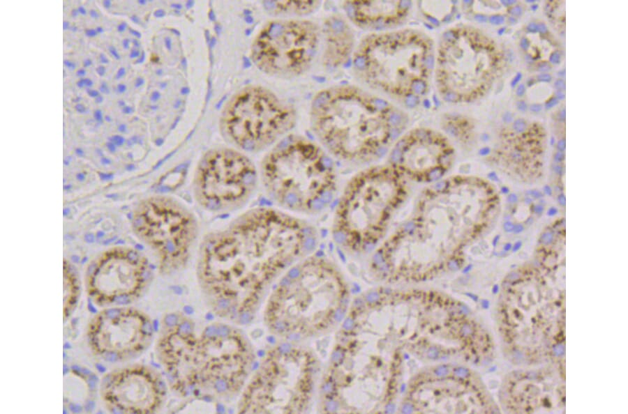
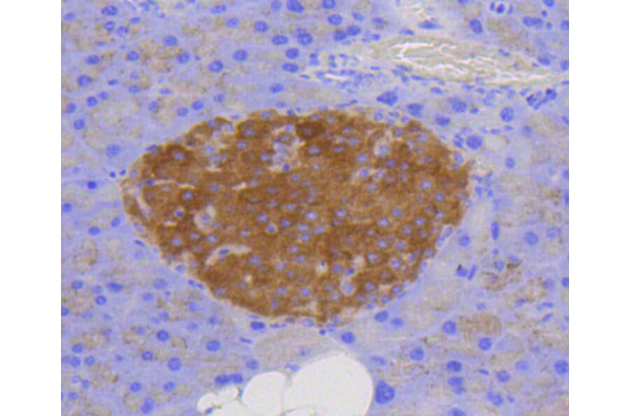
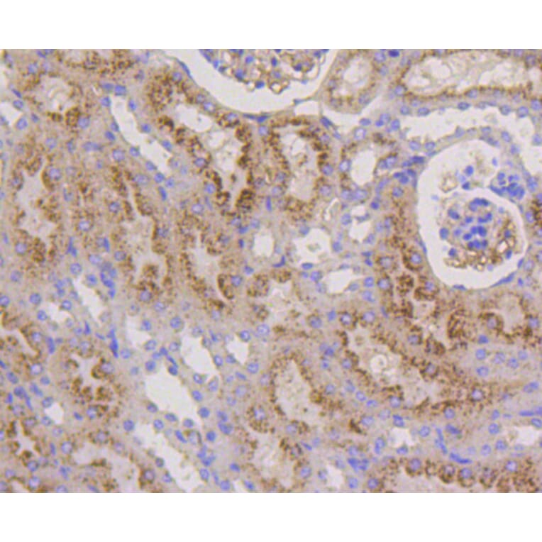
Anti-LAMP2 Antibody [Assigned #A10954] (A13160)

This product is discontinued

Anti-LAMP2 Antibody [Assigned #A10954] (A13160) has been discontinued and is no longer available.

View all LAMP2 Antibodies.

Name
Anti-LAMP2 Antibody [Assigned #A10954]
Description
Rabbit monoclonal (#A10954) antibody to LAMP2.
Applications
WB, IHC, IP
Dilutions
WB: 1:500-1:2000, IHC: 1:50-1:200, IP: 1:20-1:50
Reactivity
Human, Mouse, Rat
Immunogen
Recombinant protein of human LAMP2.
Host
Rabbit
Clonality
Monoclonal
Clone ID
Assigned #A10954
Isotype
IgG
Conjugate

Unconjugated

Purification
Affinity purification.
Molecular Weight
120kDa
Formulation
Supplied in Phosphate Buffered Saline, pH 7.30, with 0.02% Sodium Azide and 50% Glycerol.
Storage
Shipped at 4°C. Upon delivery aliquot and store at -20°C. Avoid freeze / thaw cycles.
Synonyms
CD107 antigen-like family member B, CD107b, LAMP-2, LGP-96, Lysosome-associated membrane glycoprotein 2
Disclaimer
This product is for research use only. It is not intended for diagnostic or therapeutic use.

Alternative products to Anti-LAMP2 Antibody [Assigned #A10954] (A13160)

Proteins predicted to interact with LAMP2

Predicted protein interactions based upon String database. Revelancy score correlates with probability of interaction.
99.9% Relevancy Score
99.2% Relevancy Score
94.9% Relevancy Score
90.3% Relevancy Score
89.9% Relevancy Score
86.4% Relevancy Score
86.1% Relevancy Score
82.9% Relevancy Score
82.9% Relevancy Score