Primary Antibodies
Secondary Antibodies
Proteins & Peptides
ELISA Kits
About Us
Contact Us
Sign In/Register
0
ISO 9001:2015 Certified
Live Customer Support
4.5/5 on Trustpilot
100% Quality Guarantee
Home
Primary Antibodies
LAT2 Antibodies
Anti-LAT2 Antibody (A46711)
Anti-LAT2 Antibody (A46711)
Overview
Specifications
Images
Enlarge Image
$430
Rabbit polyclonal antibody to LAT2 for IHC.
100% Guarantee
Price Match Guarantee
Product Size:
100µl
Quantity:
1
2
3
4
5
6
7
8
9
10
Add To Cart
Request a Quotation
Custom or Bulk Request
Shipping Information
Freight/Packing Charges:
$40
Dispatched from St. Louis, MO.
Lead Time: 6-9 business days.
Specifications
Name
Anti-LAT2 Antibody
Description
Rabbit polyclonal antibody to LAT2
Specificity
The antibody detects endogenous levels of total LAT2 protein.
Applications
IHC
Reactivity
Human
Immunogen
Fusion protein corresponding to a region derived from internal residues of human linker for activation of T cells family, member 2
Host
Rabbit
Clonality
Polyclonal
Conjugate
Unconjugated
Purification
Antigen affinity purification.
Concentration
0.5mg / ml
Formulation
Rabbit IgG in pH7.3 PBS, 0.05% NaN3, 50% Glycerol.
Storage
Store at -20˚C
Synonyms
hLAT2, L-type amino acid transporter 2, Large neutral amino acids transporter small subunit 2, SLC7A8, Solute carrier family 7 member 8
Suitable Secondaries
Goat Anti-Rabbit IgG H&L Antibody (AP) (A294874)
Goat Anti-Rabbit IgG H&L Antibody (Biotin) (A294795)
Goat Anti-Rabbit IgG H&L Antibody (FITC) (A294887)
Goat Anti-Rabbit IgG H&L Antibody (HRP) (A294888)
See all Anti-Rabbit IgG Secondaries →
Disclaimer
This product is for research use only. It is not intended for diagnostic or therapeutic use.
Scientific Validation Data
Validation Data
(1)
Enlarge Image
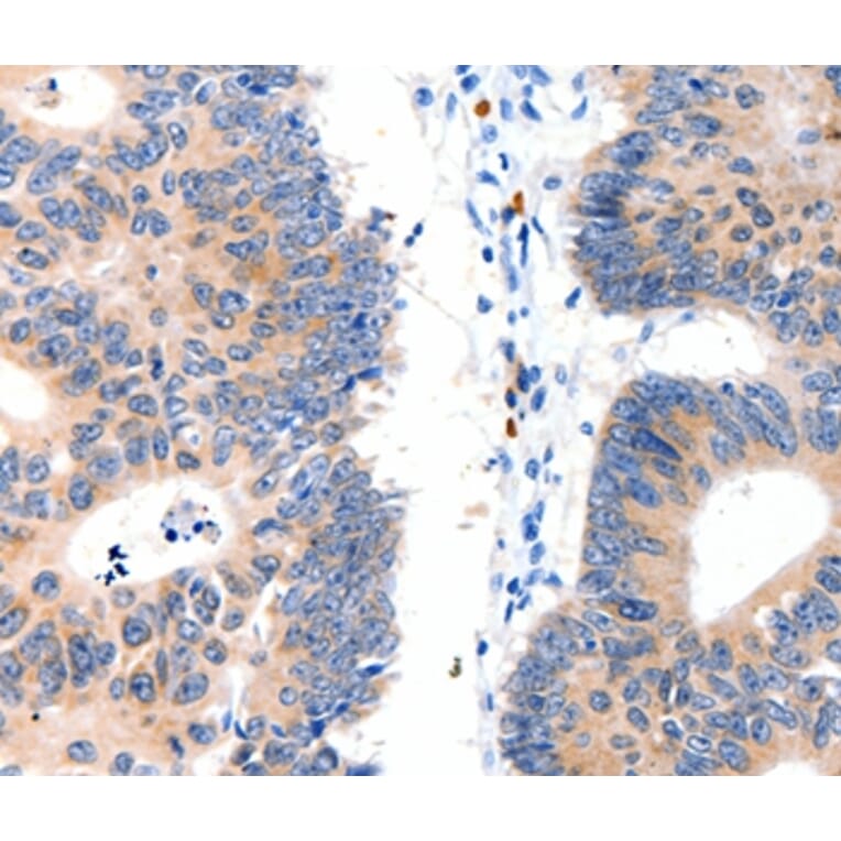
Immunohistochemistry - Anti-LAT2 Antibody (A46711)
Immunohistochemical analysis of paraffin-embedded Human colon cancer tissue using #35799 at dilution 1/15.
Publishing research using Anti-LAT2 Antibody (A46711)? Please
let us know
so that we can list the citation on this page.
Alternative products to Anti-LAT2 Antibody (A46711)
(4)
A329559
Anti-LAT2 Antibody
Rabbit polyclonal antibody to LAT2 for WB, IHC-P and ELISA.
A90599
Anti-LAT2 Antibody
Rabbit polyclonal antibody to LAT2 for WB.
A54138
Anti-LAT2 / NTAL Antibody
Rabbit polyclonal antibody to LAT2 / NTAL for ELISA, IHC, IP and WB.
A322321
Anti-LAT2 Antibody [UMAB70]
Mouse monoclonal [UMAB70] antibody to LAT2 for ChIP, IF, IHC and WB.
A322320
Anti-LAT2 Antibody [UMAB70] - BSA and Azide free
Mouse monoclonal [UMAB70] antibody to LAT2 for ChIP, IF, IHC and WB.
(4)
A329559
Anti-LAT2 Antibody
Rabbit polyclonal antibody to LAT2 for WB, IHC-P and ELISA.
A90599
Anti-LAT2 Antibody
Rabbit polyclonal antibody to LAT2 for WB.
A54138
Anti-LAT2 / NTAL Antibody
Rabbit polyclonal antibody to LAT2 / NTAL for ELISA, IHC, IP and WB.
A322321
Anti-LAT2 Antibody [UMAB70]
Mouse monoclonal [UMAB70] antibody to LAT2 for ChIP, IF, IHC and WB.
A322320
Anti-LAT2 Antibody [UMAB70] - BSA and Azide free
Mouse monoclonal [UMAB70] antibody to LAT2 for ChIP, IF, IHC and WB.
See all LAT2 Antibodies
Proteins predicted to interact with LAT2
Predicted protein interactions based upon String database. Revelancy score correlates with probability of interaction.
CD98 Antibodies
99.9% Relevancy Score
SLC43A Antibodies
94.4% Relevancy Score
SLC7A5 Antibodies
85.3% Relevancy Score
MOT8 Antibodies
83.9% Relevancy Score
SLC3A1 Antibodies
83.6% Relevancy Score
SLC43A2 Antibodies
81.9% Relevancy Score
Lipocalin 2 Antibodies
80.2% Relevancy Score
SLC16A10 Antibodies
69.7% Relevancy Score
ASCT2 Antibodies
68% Relevancy Score
Top