Primary Antibodies
Secondary Antibodies
Proteins & Peptides
ELISA Kits
About Us
Contact Us
Sign In/Register
0
ISO 9001:2015 Certified
Live Customer Support
4.5/5 on Trustpilot
100% Quality Guarantee
Home
Primary Antibodies
LATS1 Antibodies
Anti-LATS1 Antibody (A45959)
Anti-LATS1 Antibody (A45959)
Overview
Specifications
Images
Enlarge Image
Enlarge Image
$405
Rabbit polyclonal antibody to LATS1 for IHC.
100% Guarantee
Price Match Guarantee
Product Size:
100µl
Quantity:
1
2
3
4
5
6
7
8
9
10
Add To Cart
Request a Quotation
Custom or Bulk Request
Shipping Information
Freight/Packing Charges:
$40
Dispatched from St. Louis, MO.
Lead Time: 6-9 business days.
Specifications
Name
Anti-LATS1 Antibody
Description
Rabbit polyclonal antibody to LATS1
Specificity
The antibody detects endogenous levels of total LATS1 protein.
Applications
IHC
Reactivity
Human
Immunogen
Full length fusion protein
Host
Rabbit
Clonality
Polyclonal
Conjugate
Unconjugated
Purification
Antigen affinity purification.
Concentration
1.2 mg/ml
Formulation
Rabbit IgG in pH7.3 PBS, 0.05% NaN3, 50% Glycerol.
Storage
Store at -20˚C
Synonyms
h-warts, Large tumor suppressor homolog 1, Serine/threonine-protein kinase LATS1, WARTS, WARTS protein kinase
Suitable Secondaries
Goat Anti-Rabbit IgG H&L Antibody (AP) (A294874)
Goat Anti-Rabbit IgG H&L Antibody (Biotin) (A294795)
Goat Anti-Rabbit IgG H&L Antibody (FITC) (A294887)
Goat Anti-Rabbit IgG H&L Antibody (HRP) (A294888)
See all Anti-Rabbit IgG Secondaries →
Disclaimer
This product is for research use only. It is not intended for diagnostic or therapeutic use.
Scientific Validation Data
Validation Data
(2)
Enlarge Image
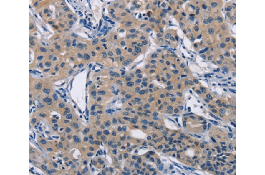
Immunohistochemistry - Anti-LATS1 Antibody (A45959)
Immunohistochemical analysis of paraffin-embedded Human cervical cancer tissue using #36187 at dilution 1/25.
Enlarge Image
Immunohistochemistry - Anti-LATS1 Antibody (A45959)
Immunohistochemical analysis of paraffin-embedded Human lung cancer tissue using #36187 at dilution 1/25.
Publishing research using Anti-LATS1 Antibody (A45959)? Please
let us know
so that we can list the citation on this page.
Alternative products to Anti-LATS1 Antibody (A45959)
A28238
Anti-LATS1 Antibody
Rabbit polyclonal antibody to LATS1 for WB.
A50725
Anti-LATS1 / 2 (Phospho-Ser909 / 872) Antibody
Rabbit Polycolonal antibody to LATS1 / 2 (Phospho-Ser909 / 872) for WB.
A51418
Anti-LATS1 / 2 (Phospho-Thr1079 / 1041) Antibody
Rabbit polyclonal antibody to LATS1 / 2 (Phospho-Thr1079 / 1041) for IHC.
A45069
Anti-LATS1 / 2 Antibody
Rabbit polyclonal antibody to LATS1 / 2 for IHC.
A28238
Anti-LATS1 Antibody
Rabbit polyclonal antibody to LATS1 for WB.
A50725
Anti-LATS1 / 2 (Phospho-Ser909 / 872) Antibody
Rabbit Polycolonal antibody to LATS1 / 2 (Phospho-Ser909 / 872) for WB.
A51418
Anti-LATS1 / 2 (Phospho-Thr1079 / 1041) Antibody
Rabbit polyclonal antibody to LATS1 / 2 (Phospho-Thr1079 / 1041) for IHC.
A45069
Anti-LATS1 / 2 Antibody
Rabbit polyclonal antibody to LATS1 / 2 for IHC.
Proteins predicted to interact with LATS1
Predicted protein interactions based upon String database. Revelancy score correlates with probability of interaction.
YAP1 Antibodies
99.9% Relevancy Score
MOB4A Antibodies
99.9% Relevancy Score
SAV1 Antibodies
99.9% Relevancy Score
NF2 Antibodies
99.7% Relevancy Score
TAZ Antibodies
99.7% Relevancy Score
LIMD1 Antibodies
99.5% Relevancy Score
LATS2 Antibodies
98.9% Relevancy Score
Angiomotin Antibodies
98.2% Relevancy Score
KIBRA Antibodies
98.2% Relevancy Score
Top