ISO 9001:2015 Certified
Live Customer Support
4.5/5 on Trustpilot
100% Quality Guarantee

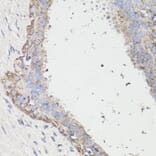
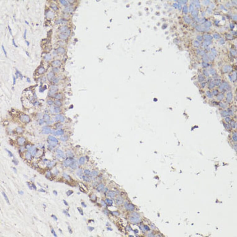
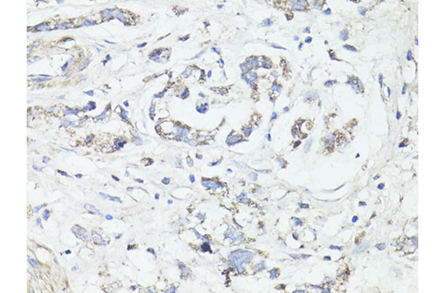
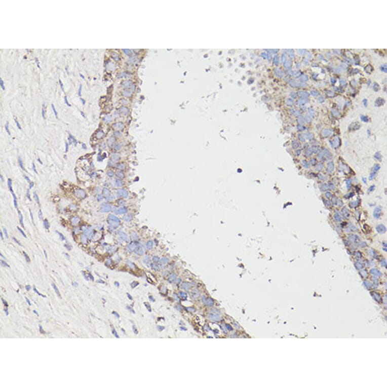
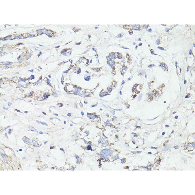
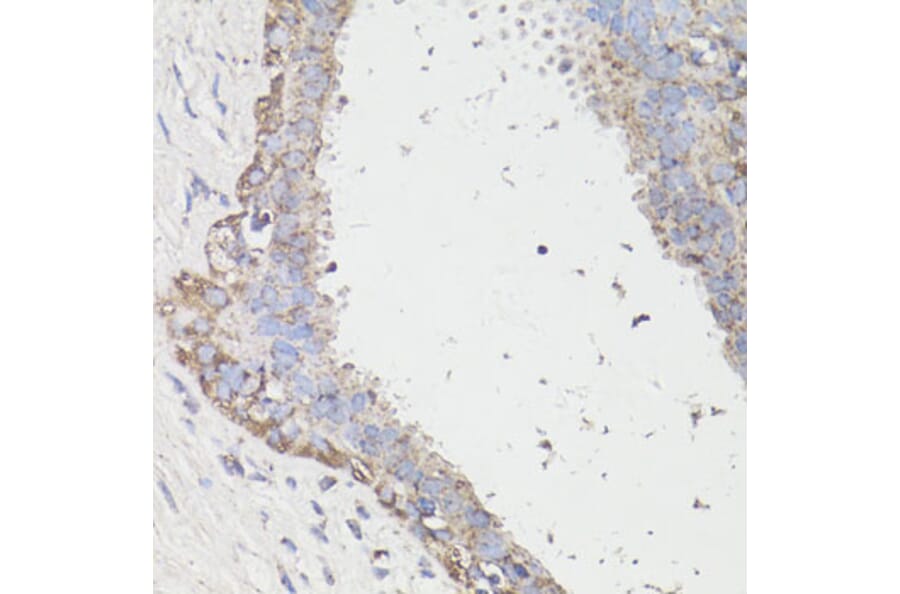
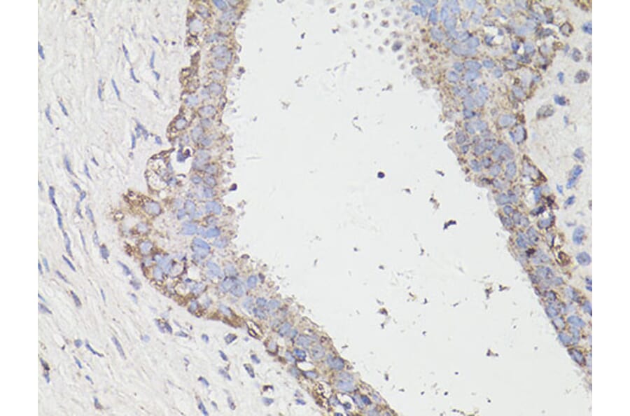
Anti-LC3B Antibody (A87552)

Rabbit polyclonal antibody to LC3B for WB, IHC-P and ELISA.

Shipping Information

$40
Dispatched from St. Louis, MO.
Lead Time: 7-10 business days.
Name
Anti-LC3B Antibody
Description
Rabbit polyclonal antibody to LC3B.
Applications
WB, IHC-P, ELISA
Positive Control
HeLa, NIH/3T3, NIH/3T3, HeLa.
Dilutions
WB: 1:500-1:1,000, IHC-P: 1:50-1:200
Reactivity
Human, Mouse
Immunogen
A recombinant fusion protein corresponding to amino acids 1-125 of human LC3B.
Sequence
MPSEKTFKQRRTFEQRVEDVRLIREQHPTKIPVIIERYKGEKQLPVLDKTKFLVPDHVNMSELIKIIRRRLQLNANQAFFLLVNGHSMVSVSTPISEVYESEKDEDGFLYMVYASQETFGMKLSV
Host
Rabbit
Clonality
Polyclonal
Isotype
IgG
Conjugate

Unconjugated

Purification
Affinity purification.
Concentration
Lot Specific
Molecular Weight
14 kDa, 16 kDa / 14 kDa / 16 kDa
Predicted MW
14 kDa
Product Form
Liquid
Formulation
Supplied in Phosphate Buffered Saline, pH 7.3, with 50% Glycerol and 0.09% Sodium Azide.
Storage
Shipped at 4°C. Upon delivery aliquot and store at -20°C. Avoid freeze/thaw cycles.
Synonyms
Autophagy-related protein LC3 B, Autophagy-related ubiquitin-like modifier LC3 B, MAP1 light chain 3-like protein 2, MAP1A/MAP1B LC3 B, MAP1A/MAP1B light chain 3 B, MAP1ALC3, MAP1LC3B, Microtubule-associated protein 1 light chain 3 beta, Microtubule-associated proteins 1A/1B light chain 3B
Disclaimer
This product is for research use only. It is not intended for diagnostic or therapeutic use.
Publishing research using Anti-LC3B Antibody (A87552)? Please let us know so that we can list the citation on this page.

Alternative products to Anti-LC3B Antibody (A87552)

Proteins predicted to interact with LC3B

Predicted protein interactions based upon String database. Revelancy score correlates with probability of interaction.
99.9% Relevancy Score
99.9% Relevancy Score
99.9% Relevancy Score
99.9% Relevancy Score
99.8% Relevancy Score
99.8% Relevancy Score
99.8% Relevancy Score
99.7% Relevancy Score
99.3% Relevancy Score