ISO 9001:2015 Certified
Live Customer Support
4.5/5 on Trustpilot
100% Quality Guarantee

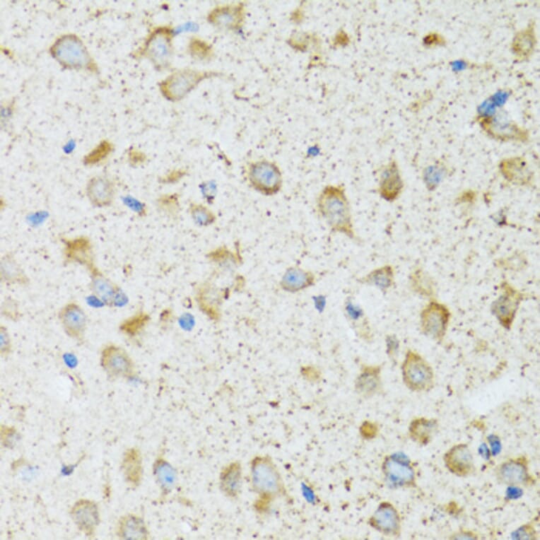
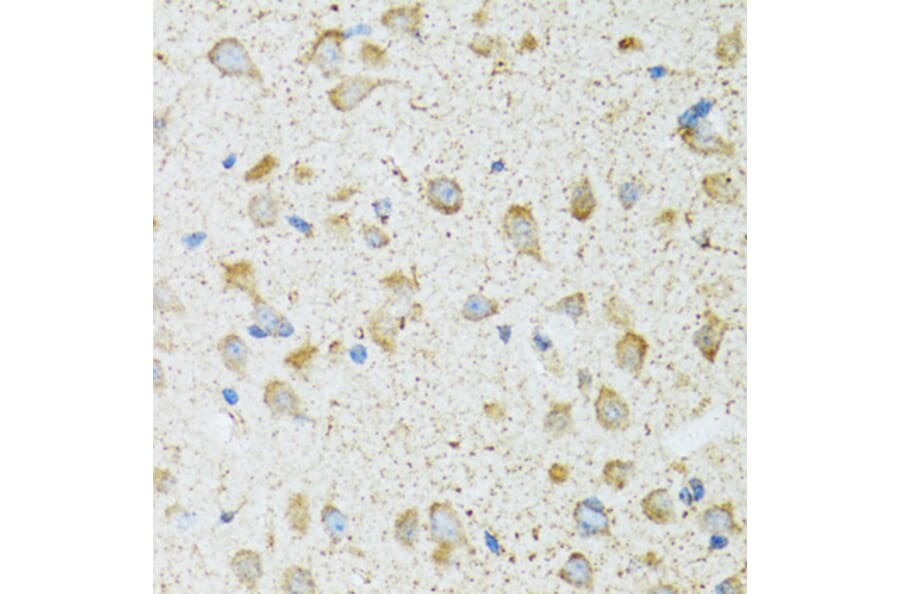
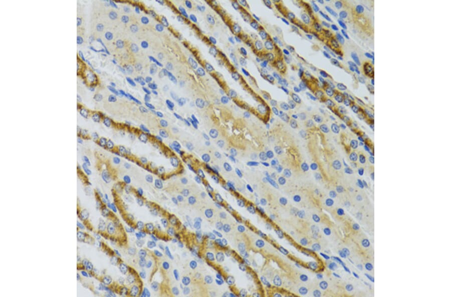
Anti-LDLC Antibody (A15130)

Rabbit polyclonal antibody to LDLC for WB and IHC.

Shipping Information

$40
Dispatched from St. Louis, MO.
Lead Time: 7-10 business days.
Name
Anti-LDLC Antibody
Description
Rabbit polyclonal antibody to LDLC.
Applications
WB, IHC
Dilutions
WB: 1:500-1:2,000, IHC: 1:50-1:100
Reactivity
Human, Mouse, Rat
Immunogen
Recombinant fusion protein containing a sequence corresponding to amino acids 1-280 of human COG2 (NP_031383.1).
Sequence
MEKSRMNLPKGPDTLCFDKDEFMKEDFDVDHFVSDCRKRVQLEELRDDLELYYKLLKTAMVELINKDYADFVNLSTNLVGMDKALNQLSVPLGQLREEVLSLRSSVSEGIRAVDERMSKQEDIRKKKMCVLRLIQVIRSVEKIEKILNSQSSKETSALEASSPLLTGQILERIATEFNQLQFHAVQSKGMPLLDKVRPRIAGITAMLQQSLEGLLLEGLQTSDVDIIRHCLRTYATIDKTRDAEALVGQVLVKPYIDEVIIEQFVESHPNGLQVMYNKLL
Host
Rabbit
Clonality
Polyclonal
Isotype
IgG
Conjugate

Unconjugated

Purification
Affinity purification.
Concentration
Lot Specific
Molecular Weight
88 kDa
Product Form
Liquid
Formulation
Supplied in Phosphate Buffered Saline, pH 7.3, with 50% Glycerol and 0.02% Sodium Azide.
Storage
Shipped at 4°C. Upon delivery aliquot and store at -20°C. Avoid freeze/thaw cycles.
Synonyms
COG complex subunit 2, Component of oligomeric Golgi complex 2, Conserved oligomeric Golgi complex subunit 2, Low density lipoprotein receptor defect C-complementing protein
Disclaimer
This product is for research use only. It is not intended for diagnostic or therapeutic use.
Publishing research using Anti-LDLC Antibody (A15130)? Please let us know so that we can list the citation on this page.

Alternative products to Anti-LDLC Antibody (A15130)

Proteins predicted to interact with COG2

Predicted protein interactions based upon String database. Revelancy score correlates with probability of interaction.
99.9% Relevancy Score
99.9% Relevancy Score
99.9% Relevancy Score
99.9% Relevancy Score
99.9% Relevancy Score
99.9% Relevancy Score
85% Relevancy Score
84.3% Relevancy Score
83.3% Relevancy Score