ISO 9001:2015 Certified
Live Customer Support
4.5/5 on Trustpilot
100% Quality Guarantee

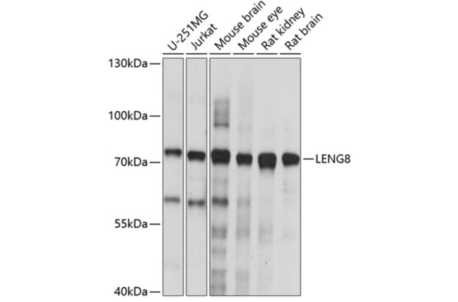
Anti-LENG8 Antibody (A91364)

This product is discontinued

Anti-LENG8 Antibody (A91364) has been discontinued and is no longer available.

View all LENG8 Antibodies.

Name
Anti-LENG8 Antibody
Description
Rabbit polyclonal antibody to LENG8.
Applications
WB
Dilutions
WB: 1:500-1:2,000
Reactivity
Human, Mouse, Rat
Immunogen
Recombinant fusion protein containing a sequence corresponding to amino acids 101-319 of human LENG8 (NP_443157.1).
Sequence
YYYPMSMYQSYGSPSQYGMAGSYGSATPQQPSAPQHQGTLNQPPVPGMDESMSYQAPPQQLPSAQPPQPSNPPHGAHTLNSGPQPGTAPATQHSQAGPATGQAYGPHTYTEPAKPKKGQQLWNRMKPAPGTGGLKFNIQKRPFAVTTQSFGSNAEGQHSGFGPQPNPEKVQNHSGSSARGNLSGKPDDWPQDMKEYVERCFTACESEEDKDRTEKLLKE
Host
Rabbit
Clonality
Polyclonal
Isotype
IgG
Conjugate

Unconjugated

Purification
Affinity purification.
Molecular Weight
86 kDa
Product Form
Liquid
Formulation
Supplied in Phosphate Buffered Saline, pH 7.3, with 50% Glycerol and 0.01% Thiomersal.
Storage
Shipped at 4°C. Upon delivery aliquot and store at -20°C. Avoid freeze / thaw cycles.
Synonyms
KIAA1932, Leukocyte receptor cluster member 8
Disclaimer
This product is for research use only. It is not intended for diagnostic or therapeutic use.

Alternative products to Anti-LENG8 Antibody (A91364)

Proteins predicted to interact with LENG8

Predicted protein interactions based upon String database. Revelancy score correlates with probability of interaction.
96.6% Relevancy Score
67.2% Relevancy Score
64.8% Relevancy Score
57.3% Relevancy Score
56.4% Relevancy Score
53% Relevancy Score
51% Relevancy Score
48.1% Relevancy Score
45.1% Relevancy Score