ISO 9001:2015 Certified
Live Customer Support
4.5/5 on Trustpilot
100% Quality Guarantee

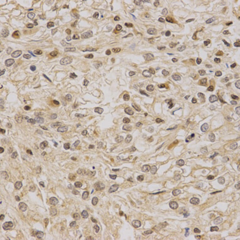
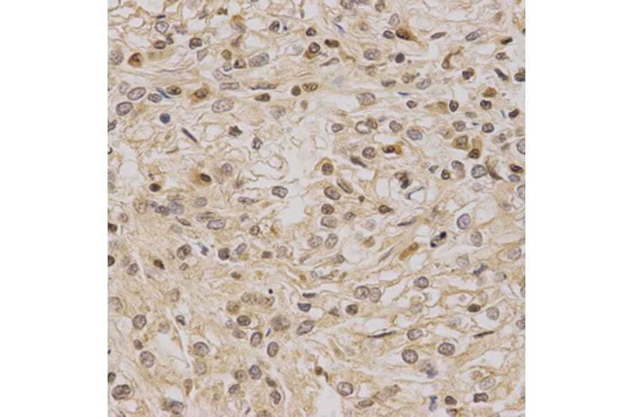
Anti-LETMD1 Antibody (A30045)

$435

Rabbit polyclonal antibody to LETMD1 for WB, IHC and IF.

Shipping Information

$40
Dispatched from St. Louis, MO.
Lead Time: 7-10 business days.
Name
Anti-LETMD1 Antibody
Description
Rabbit polyclonal antibody to LETMD1
Specificity
LETMD1 pAb detects endogenous levels of LETMD1 protein.
Applications
WB, IHC, IF
Reactivity
Human, Mouse, Rat
Immunogen
Recombinant full length Human LETMD1.
Host
Rabbit
Clonality
Polyclonal
Conjugate

Unconjugated

Molecular Weight
~ 42 kDa
Purity
The antibody was affinity-purified from rabbit antiserum by affinity-chromatography using epitope-specific immunogen and the purity is > 95% (by SDS-PAGE).
Product Form
1mg/ml in PBS with 0.1% Sodium Azide, 50% Glycerol.
Synonyms
Cervical cancer 1 proto-oncogene protein p40, Cervical cancer proto-oncogene 2 protein, HCCR-1, HCRR-2, LETM1 domain-containing protein 1
Disclaimer
This product is for research use only. It is not intended for diagnostic or therapeutic use.
Publishing research using Anti-LETMD1 Antibody (A30045)? Please let us know so that we can list the citation on this page.

Alternative products to Anti-LETMD1 Antibody (A30045)

Proteins predicted to interact with LETMD1

Predicted protein interactions based upon String database. Revelancy score correlates with probability of interaction.
54.7% Relevancy Score
52.8% Relevancy Score
45.2% Relevancy Score
45.1% Relevancy Score
44% Relevancy Score
43.5% Relevancy Score
41.1% Relevancy Score
41.1% Relevancy Score
38.2% Relevancy Score