ISO 9001:2015 Certified
Live Customer Support
4.5/5 on Trustpilot
100% Quality Guarantee

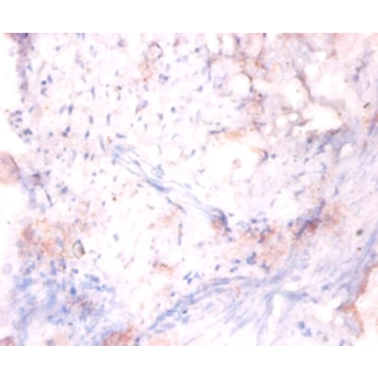
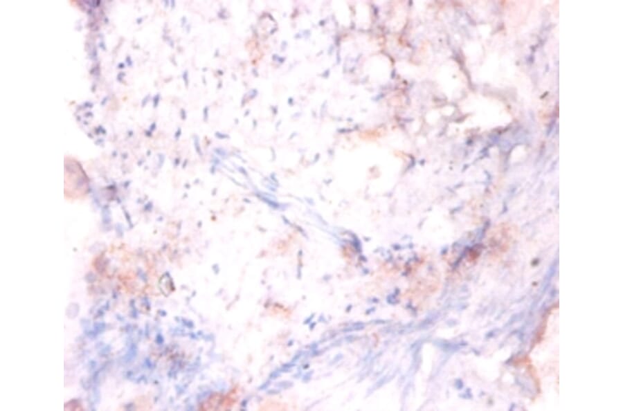
Anti-Leucine-rich repeat flightless-interacting protein 1 Antibody (A44636)

Rabbit polyclonal antibody to Leucine-rich repeat flightless-interacting protein 1 for IHC.

Shipping Information

$40
Dispatched from St. Louis, MO.
Lead Time: 6-9 business days.
Name
Anti-Leucine-rich repeat flightless-interacting protein 1 Antibody
Description
Rabbit polyclonal antibody to Leucine-rich repeat flightless-interacting protein 1
Specificity
The antibody detects endogenous level of total Leucine-rich repeat flightless-interacting protein 1 polyclonal antibody.
Applications
IHC
Reactivity
Human
Immunogen
Recombinant human Leucine-rich repeat flightless-interacting protein 1 protein
Host
Rabbit
Clonality
Polyclonal
Conjugate

Unconjugated

Purification
Caprylic Acid Ammonium Sulfate Precipitation purified
Concentration
1.0 mg/mL
Formulation
Preservative: 0.03% Proclin 300 Constituents: 50% Glycerol, 0.01M PBS, PH 7.4
Storage
Shipped at 4°C. Upon delivery aliquot and store at -20°C. Avoid freeze/thaw cycles.
Synonyms
GC-binding factor 2, GCF2, LRR FLII-interacting protein 1, TAR RNA-interacting protein, TRIP
Disclaimer
This product is for research use only. It is not intended for diagnostic or therapeutic use.
Publishing research using Anti-Leucine-rich repeat flightless-interacting protein 1 Antibody (A44636)? Please let us know so that we can list the citation on this page.

Alternative products to Anti-Leucine-rich repeat flightless-interacting protein 1 Antibody (A44636)

Proteins predicted to interact with LRRFIP1

Predicted protein interactions based upon String database. Revelancy score correlates with probability of interaction.
99.8% Relevancy Score
97.1% Relevancy Score
84.7% Relevancy Score
81.2% Relevancy Score
77.9% Relevancy Score
76.3% Relevancy Score
73.9% Relevancy Score
70.4% Relevancy Score
69.5% Relevancy Score