ISO 9001:2015 Certified
Live Customer Support
4.5/5 on Trustpilot
100% Quality Guarantee

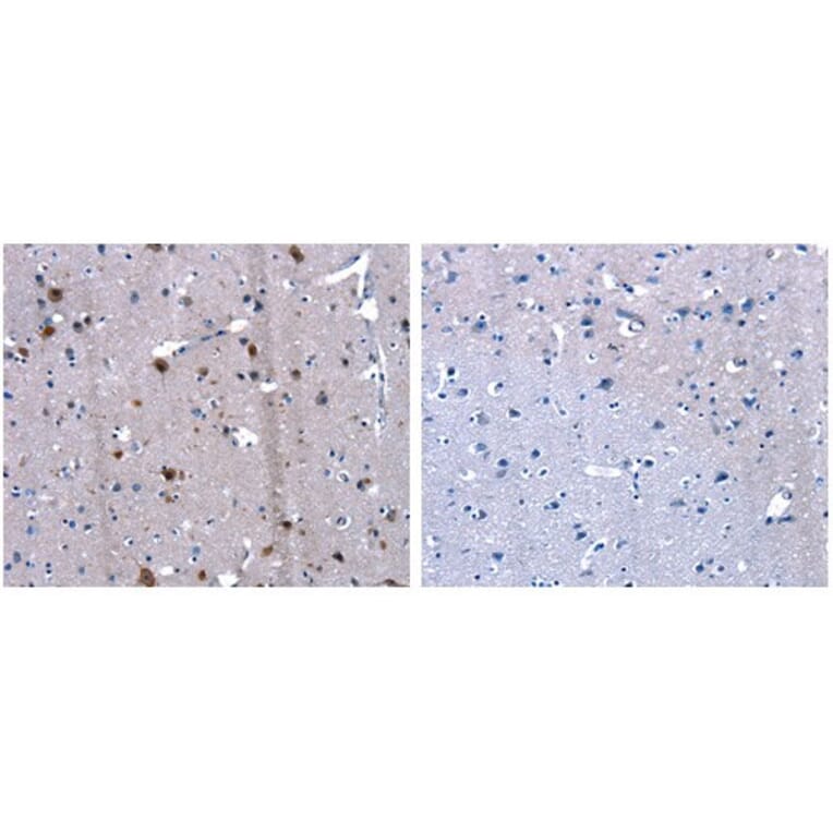
Anti-LGALS2 Antibody (A47674)

Rabbit polyclonal antibody to LGALS2 for ELISA, WB and IHC.

Shipping Information

$40
Dispatched from St. Louis, MO.
Lead Time: 6-9 business days.
Name
Anti-LGALS2 Antibody
Description
Rabbit polyclonal antibody to LGALS2
Specificity
The antibody detects endogenous level of total LGALS2 protein.
Applications
ELISA, WB, IHC
Reactivity
Human, Mouse
Immunogen
Full length fusion protein
Host
Rabbit
Clonality
Polyclonal
Conjugate

Unconjugated

Formulation
Supplied in phosphate-buffered saline (without Mg²? and Ca²?), pH 7.3, containing 150 mM NaCl, 0.05% sodium azide, and 50% glycerol.
Storage
Shipped at 4°C. Upon delivery aliquot and store at -20°C. Avoid freeze/thaw cycles.
Synonyms
Beta-galactoside-binding lectin L-14-II, Gal-2, Galectin-2, HL14, Lactose-binding lectin 2, S-Lac lectin 2
Disclaimer
This product is for research use only. It is not intended for diagnostic or therapeutic use.
Publishing research using Anti-LGALS2 Antibody (A47674)? Please let us know so that we can list the citation on this page.

Alternative products to Anti-LGALS2 Antibody (A47674)

Proteins predicted to interact with Galectin 2

Predicted protein interactions based upon String database. Revelancy score correlates with probability of interaction.
80.7% Relevancy Score
78.4% Relevancy Score
76.7% Relevancy Score
72% Relevancy Score
70.9% Relevancy Score
67.4% Relevancy Score
60.3% Relevancy Score
59.9% Relevancy Score
58.1% Relevancy Score