Primary Antibodies
Secondary Antibodies
Proteins & Peptides
ELISA Kits
About Us
Contact Us
Sign In/Register
0
ISO 9001:2015 Certified
Live Customer Support
4.5/5 on Trustpilot
100% Quality Guarantee
Home
Primary Antibodies
Galectin-7 Antibodies
Anti-LGALS7 Antibody (A45485)
Anti-LGALS7 Antibody (A45485)
Overview
Specifications
Images
Enlarge Image
Enlarge Image
$430
Product Datasheet
Rabbit polyclonal antibody to LGALS7 for IHC.
100% Guarantee
Price Match Guarantee
Product Size:
100µl
Quantity:
1
2
3
4
5
6
7
8
9
10
Add To Cart
Request a Quotation
Custom or Bulk Request
Shipping Information
Freight/Packing Charges:
$40
Dispatched from St. Louis, MO.
Lead Time: 6-9 business days.
Specifications
Name
Anti-LGALS7 Antibody
Description
Rabbit polyclonal antibody to LGALS7
Specificity
The antibody detects endogenous levels of total LGALS7 protein.
Applications
IHC
Reactivity
Human
Immunogen
Synthetic peptide corresponding to residues near the N terminal of human lectin, galactoside-binding, soluble, 7
Host
Rabbit
Clonality
Polyclonal
Conjugate
Unconjugated
Purification
Antigen affinity purification.
Concentration
3.1 mg/mL
Formulation
Supplied in PBS, pH 7.3, containing 0.05% sodium azide and 50% glycerol.
Storage
Shipped at 4°C. Upon delivery aliquot and store at -20°C. Avoid freeze/thaw cycles.
Synonyms
Gal-7, HKL-14, p53-induced gene 1 protein, PI7, PIG1
Suitable Secondaries
Goat Anti-Rabbit IgG H&L Antibody (AP) (A294874)
Goat Anti-Rabbit IgG H&L Antibody (Biotin) (A294795)
Goat Anti-Rabbit IgG H&L Antibody (FITC) (A294887)
Goat Anti-Rabbit IgG H&L Antibody (HRP) (A294888)
See all Anti-Rabbit IgG Secondaries →
Disclaimer
This product is for research use only. It is not intended for diagnostic or therapeutic use.
Scientific Validation Data
Validation Data
(2)
Enlarge Image
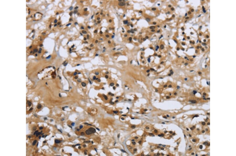
Immunohistochemistry - Anti-LGALS7 Antibody (A45485)
Immunohistochemical analysis of paraffin-embedded Human thyroid cancer tissue using #36880 at dilution 1/50.
Enlarge Image
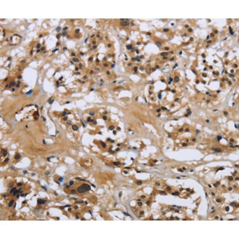
Immunohistochemistry - Anti-LGALS7 Antibody (A45485)
Immunohistochemical analysis of paraffin-embedded Human tonsil tissue using #36880 at dilution 1/50.
Publishing research using Anti-LGALS7 Antibody (A45485)? Please
let us know
so that we can list the citation on this page.
Alternative products to Anti-LGALS7 Antibody (A45485)
A98067
Anti-LEG7 Antibody
Rabbit polyclonal antibody to LEG7 for IHC, IF, WB and ELISA.
(2)
A26346
Anti-Galectin-7 (Q67) Antibody
Rabbit polyclonal antibody to Galectin-7 (Q67) for WB and IHC.
(2)
A338342
Anti-Galectin-7 Nanobody [Nb216]
Recombinant alpaca monoclonal [Nb216] nanobody to Galectin-7 for Blocking and ELISA.
A98067
Anti-LEG7 Antibody
Rabbit polyclonal antibody to LEG7 for IHC, IF, WB and ELISA.
(2)
A26346
Anti-Galectin-7 (Q67) Antibody
Rabbit polyclonal antibody to Galectin-7 (Q67) for WB and IHC.
(2)
A338342
Anti-Galectin-7 Nanobody [Nb216]
Recombinant alpaca monoclonal [Nb216] nanobody to Galectin-7 for Blocking and ELISA.
Top