ISO 9001:2015 Certified
Live Customer Support
4.5/5 on Trustpilot
100% Quality Guarantee

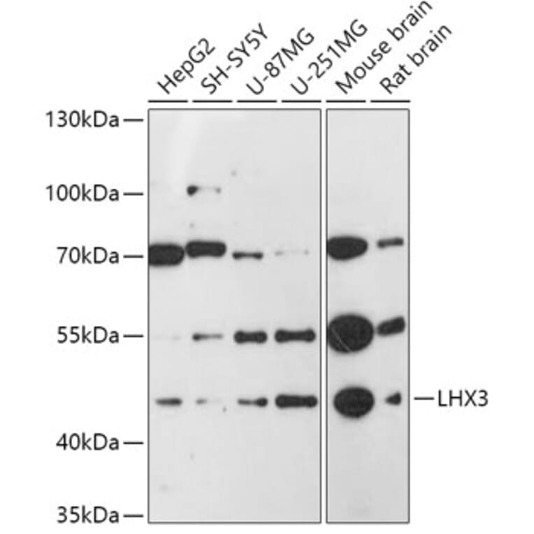
Anti-LHX3/LIM Antibody (A92931)

Rabbit polyclonal antibody to LHX3/LIM for WB.

Shipping Information

$40
Dispatched from St. Louis, MO.
Lead Time: 7-10 business days.
Name
Anti-LHX3/LIM Antibody
Description
Rabbit polyclonal antibody to LHX3/LIM.
Applications
WB
Dilutions
WB: 1:500-1:2,000
Reactivity
Human, Mouse, Rat
Immunogen
A synthetic peptide corresponding to a sequence within amino acids 300 to the C-terminus of human LHX3 (NP_055379.1).
Sequence
LEHGGLAGPEQYRELRPGSPYGVPPSPAAPQSLPGPQPLLSSLVYPDTSLGLVPSGAPGGPPPMRVLAGNGPSSDLSTGSSGGYPDFPASPASWLDEVDHAQF
Host
Rabbit
Clonality
Polyclonal
Isotype
IgG
Conjugate

Unconjugated

Purification
Affinity purification.
Concentration
Lot Specific
Molecular Weight
43 kDa
Product Form
Liquid
Formulation
Supplied in Phosphate Buffered Saline, pH 7.3, with 50% Glycerol and 0.01% Thiomersal.
Storage
Shipped at 4°C. Upon delivery aliquot and store at -20°C. Avoid freeze/thaw cycles.
Disclaimer
This product is for research use only. It is not intended for diagnostic or therapeutic use.
Publishing research using Anti-LHX3/LIM Antibody (A92931)? Please let us know so that we can list the citation on this page.