ISO 9001:2015 Certified
Live Customer Support
4.5/5 on Trustpilot
100% Quality Guarantee

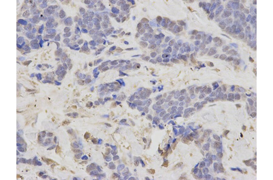
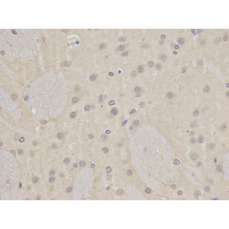
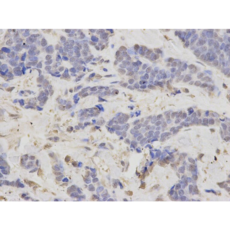
Anti-LIG3 Antibody (A35502)

Rabbit polyclonal antibody to LIG3 for WB, IHC and ICC/IF.

Shipping Information

$40
Dispatched from St. Louis, MO.
Lead Time: 6-9 business days.
Name
Anti-LIG3 Antibody
Description
Rabbit polyclonal antibody to LIG3
Specificity
The antibody detects endogenous level of total LIG3 protein.
Applications
WB, IHC, ICC/IF
Reactivity
Human, Mouse, Rat
Immunogen
Recombinant protein of human LIG3.
Host
Rabbit
Clonality
Polyclonal
Conjugate

Unconjugated

Purification
Antibodies were purified by affinity purification using immunogen.
Concentration
1.0 mg/mL
Formulation
Supplied in phosphate-buffered saline (without Mg²? and Ca²?), pH 7.4, containing 150 mM NaCl, 0.02% sodium azide, and 50% glycerol.
Storage
Shipped at 4°C. Upon delivery aliquot and store at -20°C. Avoid freeze/thaw cycles.
Synonyms
D11Wsu78e, DNA ligase, DNA ligase 3, DNA Ligase III, DNLI3_HUMAN, LIG 3, LIG2, Ligase II, DNA, ATP dependent, Ligase III DNA ATP dependent, MGC78176, OTTMUSP00000000875, Polydeoxyribonucleotide synthase, Polydeoxyribonucleotide synthase [ATP], Polydeoxyribonucleotide synthase [ATP] 3, RP23-316C11.6
Disclaimer
This product is for research use only. It is not intended for diagnostic or therapeutic use.
Publishing research using Anti-LIG3 Antibody (A35502)? Please let us know so that we can list the citation on this page.