ISO 9001:2015 Certified
Live Customer Support
4.5/5 on Trustpilot
100% Quality Guarantee

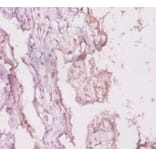
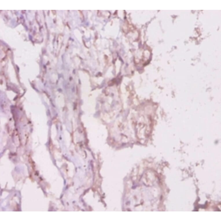
Anti-Lipopolysaccharide-responsive and beige-like anchor protein Antibody (A44627)

Rabbit polyclonal antibody to Lipopolysaccharide-responsive and beige-like anchor protein for IHC.

Shipping Information

$40
Dispatched from St. Louis, MO.
Lead Time: 6-9 business days.
Name
Anti-Lipopolysaccharide-responsive and beige-like anchor protein Antibody
Description
Rabbit polyclonal antibody to Lipopolysaccharide-responsive and beige-like anchor protein
Specificity
The antibody detects endogenous level of total Lipopolysaccharide-responsive and beige-like anchor protein polyclonal antibody.
Applications
IHC
Reactivity
Human
Immunogen
Recombinant human Lipopolysaccharide-responsive and beige-like anchor protein
Host
Rabbit
Clonality
Polyclonal
Conjugate

Unconjugated

Purification
Caprylic Acid Ammonium Sulfate Precipitation purified
Concentration
1.0 mg/mL
Formulation
Preservative: 0.03% Proclin 300 Constituents: 50% Glycerol, 0.01M PBS, PH 7.4
Storage
Shipped at 4°C. Upon delivery aliquot and store at -20°C. Avoid freeze/thaw cycles.
Synonyms
Beige-like protein, BGL, CDC4-like protein, CDC4L, LBA
Disclaimer
This product is for research use only. It is not intended for diagnostic or therapeutic use.
Publishing research using Anti-Lipopolysaccharide-responsive and beige-like anchor protein Antibody (A44627)? Please let us know so that we can list the citation on this page.

Proteins predicted to interact with LRBA

Predicted protein interactions based upon String database. Revelancy score correlates with probability of interaction.
85.9% Relevancy Score
72.6% Relevancy Score
71.8% Relevancy Score
71.7% Relevancy Score
66.5% Relevancy Score
65.8% Relevancy Score
62.4% Relevancy Score
59.1% Relevancy Score
58.5% Relevancy Score