Primary Antibodies
Secondary Antibodies
Proteins & Peptides
ELISA Kits
About Us
Contact Us
Sign In/Register
0
ISO 9001:2015 Certified
Live Customer Support
4.5/5 on Trustpilot
100% Quality Guarantee
Home
Primary Antibodies
LMOD1 Antibodies
Anti-LMOD1 Antibody (A44788)
Anti-LMOD1 Antibody (A44788)
Overview
Specifications
Images
Enlarge Image
Enlarge Image
$430
Product Datasheet
Rabbit polyclonal antibody to LMOD1 for IHC.
100% Guarantee
Price Match Guarantee
Product Size:
100µl
Quantity:
1
2
3
4
5
6
7
8
9
10
Add To Cart
Request a Quotation
Custom or Bulk Request
Shipping Information
Freight/Packing Charges:
$40
Dispatched from St. Louis, MO.
Lead Time: 6-9 business days.
Specifications
Name
Anti-LMOD1 Antibody
Description
Rabbit polyclonal antibody to LMOD1
Specificity
The antibody detects endogenous level of total LMOD1 polyclonal antibody.
Applications
IHC
Reactivity
Human
Immunogen
Recombinant human Leiomodin-1 protein(29-187aa)
Host
Rabbit
Clonality
Polyclonal
Conjugate
Unconjugated
Purification
Antigen Affinity Purified
Concentration
1.0 mg/mL
Formulation
Supplied in phosphate-buffered saline, pH 7.3, containing 0.02% sodium azide and 50% glycerol.
Storage
Shipped at 4°C. Upon delivery aliquot and store at -20°C. Avoid freeze/thaw cycles.
Synonyms
64 kDa autoantigen 1D, 64 kDa autoantigen 1D3, 64 kDa autoantigen D1, Leiomodin, muscle form, Leiomodin-1, SM-Lmod, Smooth muscle leiomodin, Thyroid-associated ophthalmopathy autoantigen
Suitable Secondaries
Goat Anti-Rabbit IgG H&L Antibody (AP) (A294874)
Goat Anti-Rabbit IgG H&L Antibody (Biotin) (A294795)
Goat Anti-Rabbit IgG H&L Antibody (FITC) (A294887)
Goat Anti-Rabbit IgG H&L Antibody (HRP) (A294888)
See all Anti-Rabbit IgG Secondaries →
Disclaimer
This product is for research use only. It is not intended for diagnostic or therapeutic use.
Scientific Validation Data
Validation Data
(2)
Enlarge Image
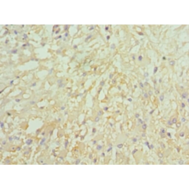
Immunohistochemistry - Anti-LMOD1 Antibody (A44788)
Immunohistochemical analysis of paraffin-embedded human ovarian cancer using #42239 at dilution of 1: 100.
Enlarge Image
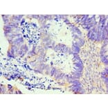
Immunohistochemistry - Anti-LMOD1 Antibody (A44788)
Immunohistochemical analysis of paraffin-embedded human glioma using #42239 at dilution of 1: 100.
Publishing research using Anti-LMOD1 Antibody (A44788)? Please
let us know
so that we can list the citation on this page.
Alternative products to Anti-LMOD1 Antibody (A44788)
A10054
Anti-LMOD1 Antibody
Rabbit polyclonal antibody to LMOD1 for WB and IHC.
A10054
Anti-LMOD1 Antibody
Rabbit polyclonal antibody to LMOD1 for WB and IHC.
Proteins predicted to interact with LMOD1
Predicted protein interactions based upon String database. Revelancy score correlates with probability of interaction.
MYH11 Antibodies
95.1% Relevancy Score
alpha Skeletal Muscle Actin Antibodies
92.1% Relevancy Score
Caldesmon Antibodies
89.4% Relevancy Score
CstF-64 Antibodies
89.1% Relevancy Score
Smooth Muscle Actin Antibodies
86% Relevancy Score
MYL9 Antibodies
84.4% Relevancy Score
MYLK Antibodies
82.2% Relevancy Score
Calponin 1 Antibodies
81.2% Relevancy Score
alpha Smooth Muscle Actin Antibodies
77.3% Relevancy Score
Top