Primary Antibodies
Secondary Antibodies
Proteins & Peptides
ELISA Kits
About Us
Contact Us
Sign In/Register
0
ISO 9001:2015 Certified
Live Customer Support
4.5/5 on Trustpilot
100% Quality Guarantee
Home
Primary Antibodies
LRIG1 Antibodies
Anti-LRIG1 Antibody (A46098)
Anti-LRIG1 Antibody (A46098)
Overview
Specifications
Images
Enlarge Image
$430
Product Datasheet
Rabbit polyclonal antibody to LRIG1 for IHC.
100% Guarantee
Price Match Guarantee
Product Size:
100µl
Quantity:
1
2
3
4
5
6
7
8
9
10
Add To Cart
Request a Quotation
Custom or Bulk Request
Shipping Information
Freight/Packing Charges:
$40
Dispatched from St. Louis, MO.
Lead Time: 6-9 business days.
Specifications
Name
Anti-LRIG1 Antibody
Description
Rabbit polyclonal antibody to LRIG1
Specificity
The antibody detects endogenous levels of total LRIG1 protein.
Applications
IHC
Reactivity
Human
Immunogen
Synthetic peptide corresponding to residues near the C terminal of human leucine-rich repeats and immunoglobulin-like domains 1
Host
Rabbit
Clonality
Polyclonal
Conjugate
Unconjugated
Purification
Antigen affinity purification.
Concentration
3.8 mg/mL
Formulation
Supplied in PBS, pH 7.3, containing 0.05% sodium azide and 50% glycerol.
Storage
Shipped at 4°C. Upon delivery aliquot and store at -20°C. Avoid freeze/thaw cycles.
Synonyms
Leucine-rich repeats and immunoglobulin-like domains protein 1, LIG-1, LIG1
Suitable Secondaries
Goat Anti-Rabbit IgG H&L Antibody (AP) (A294874)
Goat Anti-Rabbit IgG H&L Antibody (Biotin) (A294795)
Goat Anti-Rabbit IgG H&L Antibody (FITC) (A294887)
Goat Anti-Rabbit IgG H&L Antibody (HRP) (A294888)
See all Anti-Rabbit IgG Secondaries →
Disclaimer
This product is for research use only. It is not intended for diagnostic or therapeutic use.
Scientific Validation Data
Validation Data
(1)
Enlarge Image
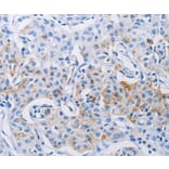
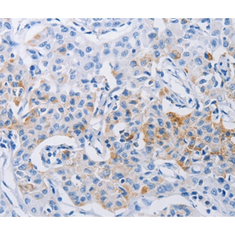
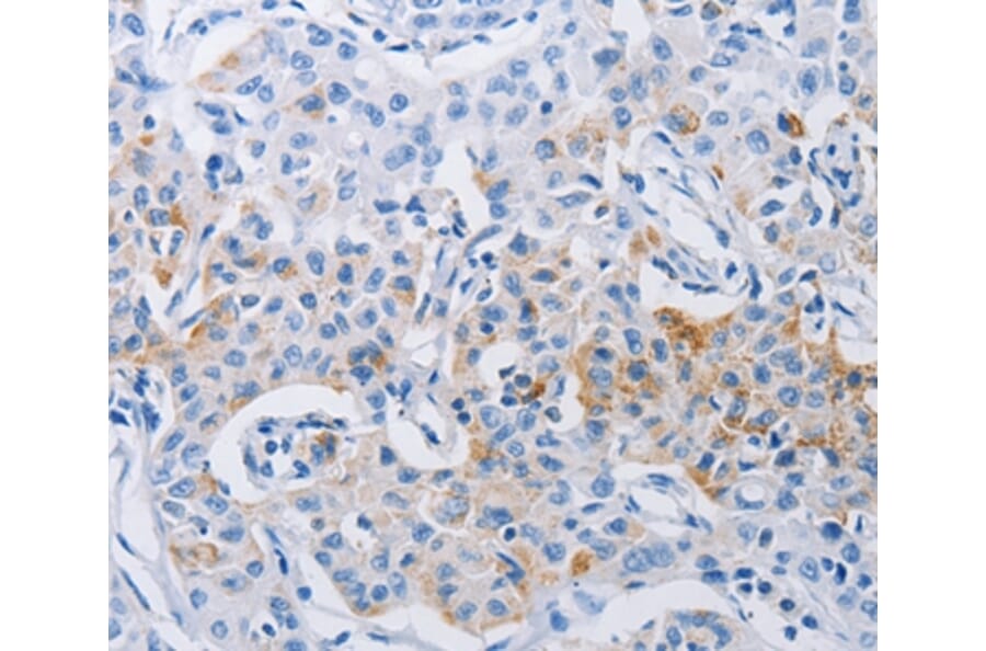
Immunohistochemistry - Anti-LRIG1 Antibody (A46098)
Immunohistochemical analysis of paraffin-embedded Human lung cancer tissue using #36954 at dilution 1/120.
Publishing research using Anti-LRIG1 Antibody (A46098)? Please
let us know
so that we can list the citation on this page.
Alternative products to Anti-LRIG1 Antibody (A46098)
A11278
Anti-LRIG1 Antibody
Rabbit polyclonal antibody to LRIG1 for WB.
A11278
Anti-LRIG1 Antibody
Rabbit polyclonal antibody to LRIG1 for WB.
Proteins predicted to interact with LRIG1
Predicted protein interactions based upon String database. Revelancy score correlates with probability of interaction.
c-Met Antibodies
97.6% Relevancy Score
EGFR Antibodies
97.5% Relevancy Score
CBL Antibodies
84.4% Relevancy Score
ErbB2 Antibodies
82.8% Relevancy Score
LRIG3 Antibodies
79.9% Relevancy Score
EGF Antibodies
77.6% Relevancy Score
LRIG2 Antibodies
76% Relevancy Score
ErbB4 Antibodies
74.5% Relevancy Score
Ret Antibodies
71.9% Relevancy Score
Top