Primary Antibodies
Secondary Antibodies
Proteins & Peptides
ELISA Kits
About Us
Contact Us
Sign In/Register
0
ISO 9001:2015 Certified
Live Customer Support
4.5/5 on Trustpilot
100% Quality Guarantee
Home
Primary Antibodies
LRIG3 Antibodies
Anti-LRIG3 Antibody (A46099)
Anti-LRIG3 Antibody (A46099)
Overview
Specifications
Images
Enlarge Image
$430
Product Datasheet
Rabbit polyclonal antibody to LRIG3 for IHC.
100% Guarantee
Price Match Guarantee
Product Size:
100µl
Quantity:
1
2
3
4
5
6
7
8
9
10
Add To Cart
Request a Quotation
Custom or Bulk Request
Shipping Information
Freight/Packing Charges:
$40
Dispatched from St. Louis, MO.
Lead Time: 6-9 business days.
Specifications
Name
Anti-LRIG3 Antibody
Description
Rabbit polyclonal antibody to LRIG3
Specificity
The antibody detects endogenous levels of total LRIG3 protein.
Applications
IHC
Reactivity
Human
Immunogen
Synthetic peptide corresponding to residues near the C terminal of human leucine-rich repeats and immunoglobulin-like domains 3
Host
Rabbit
Clonality
Polyclonal
Conjugate
Unconjugated
Purification
Antigen affinity purification.
Concentration
1.9 mg/mL
Formulation
Supplied in PBS, pH 7.3, containing 0.05% sodium azide and 50% glycerol.
Storage
Shipped at 4°C. Upon delivery aliquot and store at -20°C. Avoid freeze/thaw cycles.
Synonyms
Leucine-rich repeats and immunoglobulin-like domains protein 3, LIG-3, LIG3
Suitable Secondaries
Goat Anti-Rabbit IgG H&L Antibody (AP) (A294874)
Goat Anti-Rabbit IgG H&L Antibody (Biotin) (A294795)
Goat Anti-Rabbit IgG H&L Antibody (FITC) (A294887)
Goat Anti-Rabbit IgG H&L Antibody (HRP) (A294888)
See all Anti-Rabbit IgG Secondaries →
Disclaimer
This product is for research use only. It is not intended for diagnostic or therapeutic use.
Scientific Validation Data
Validation Data
(1)
Enlarge Image
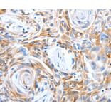
Immunohistochemistry - Anti-LRIG3 Antibody (A46099)
Immunohistochemical analysis of paraffin-embedded Human oesophagus cancer tissue using #36955 at dilution 1/50.
Publishing research using Anti-LRIG3 Antibody (A46099)? Please
let us know
so that we can list the citation on this page.
Proteins predicted to interact with LRIG3
Predicted protein interactions based upon String database. Revelancy score correlates with probability of interaction.
GAL3ST1 Antibodies
81.5% Relevancy Score
LRIG1 Antibodies
79.9% Relevancy Score
EGFR Antibodies
77.9% Relevancy Score
SLC34A2 Antibodies
74.5% Relevancy Score
ROS1 Antibodies
74% Relevancy Score
KDELR2 Antibodies
73.8% Relevancy Score
CCDC6 Antibodies
69.3% Relevancy Score
ErbB2 Antibodies
68.4% Relevancy Score
Syndecan 4 Antibodies
65.5% Relevancy Score
Top