Primary Antibodies
Secondary Antibodies
Proteins & Peptides
ELISA Kits
About Us
Contact Us
Sign In/Register
0
ISO 9001:2015 Certified
Live Customer Support
4.5/5 on Trustpilot
100% Quality Guarantee
Home
Primary Antibodies
LRPAP1 Antibodies
Anti-LRPAP1 Antibody (A37255)
Anti-LRPAP1 Antibody (A37255)
Overview
Specifications
Images
Enlarge Image
Enlarge Image
$405
Rabbit polyclonal antibody to LRPAP1 for WB and IHC.
100% Guarantee
Price Match Guarantee
Product Size:
100µl
Quantity:
1
2
3
4
5
6
7
8
9
10
Add To Cart
Request a Quotation
Custom or Bulk Request
Shipping Information
Freight/Packing Charges:
$40
Dispatched from St. Louis, MO.
Lead Time: 6-9 business days.
Specifications
Name
Anti-LRPAP1 Antibody
Description
Rabbit polyclonal antibody to LRPAP1
Specificity
The antibody detects endogenous levels of total LRPAP1 protein.
Applications
WB
,
IHC
Reactivity
Human
Immunogen
Synthetic peptide corresponding to residues near the C terminal of human low density lipoprotein receptor-related protein associated protein 1
Host
Rabbit
Clonality
Polyclonal
Conjugate
Unconjugated
Purification
Antigen affinity purification.
Concentration
3.2 mg/ml
Formulation
Rabbit IgG in pH7.3 PBS, 0.05% NaN3, 50% Glycerol.
Storage
Store at -20˚C
Synonyms
A2MRAP, Alpha-2-macroglobulin receptor-associated protein, Alpha-2-MRAP, Low density lipoprotein receptor-related protein-associated protein 1, RAP
Suitable Secondaries
Goat Anti-Rabbit IgG H&L Antibody (AP) (A294874)
Goat Anti-Rabbit IgG H&L Antibody (Biotin) (A294795)
Goat Anti-Rabbit IgG H&L Antibody (FITC) (A294887)
Goat Anti-Rabbit IgG H&L Antibody (HRP) (A294888)
See all Anti-Rabbit IgG Secondaries →
Disclaimer
This product is for research use only. It is not intended for diagnostic or therapeutic use.
Scientific Validation Data
Validation Data
(2)
Enlarge Image
Anti-LRPAP1 Antibody (A37255)
Gel: 10% SDS-PAGE Lysates (from left to right): 293T cell and fetal kidney tissue Amount of lysate: 40ug per lane Primary antibody: 1/1600 dilution Secondary antibody dilution: 1/8000 Exposure time: 2 minutes
Enlarge Image
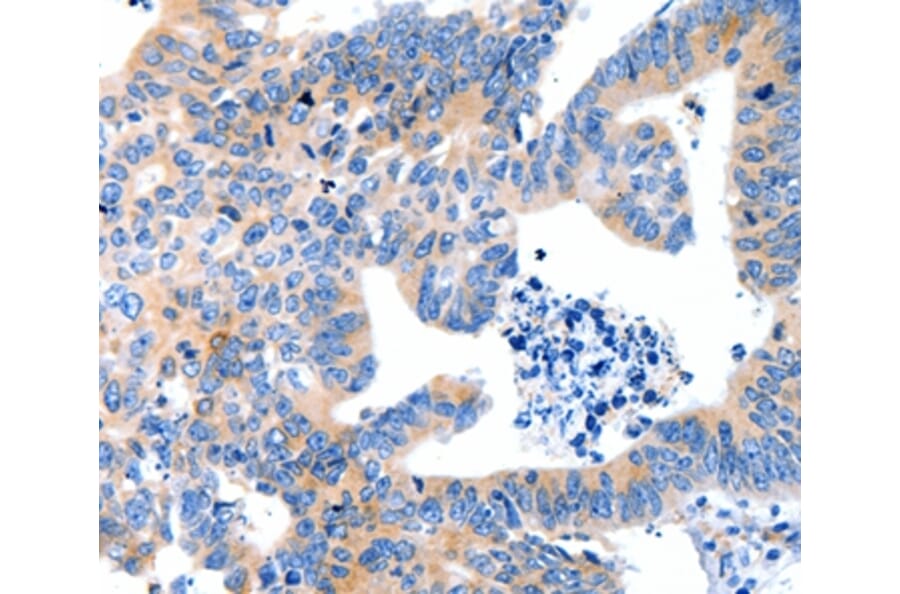
Immunohistochemistry - Anti-LRPAP1 Antibody (A37255)
Immunohistochemical analysis of paraffin-embedded Human colon cancer tissue using #36959 at dilution 1/100.
Publishing research using Anti-LRPAP1 Antibody (A37255)? Please
let us know
so that we can list the citation on this page.
Alternative products to Anti-LRPAP1 Antibody (A37255)
(5)
A14301
Anti-LRPAP1 Antibody
Rabbit polyclonal antibody to LRPAP1 for WB, IHC and ICC/IF.
(2)
A89845
Anti-LRPAP1 Antibody
Rabbit polyclonal antibody to LRPAP1 for WB, IHC-P, ICC/IF and ELISA.
(3)
A37332
Anti-LRPAP1 Antibody
Rabbit polyclonal antibody to LRPAP1 for WB and IHC.
(2)
A30670
Anti-LRPAP1 Antibody
Rabbit polyclonal antibody to LRPAP1 for WB and IHC.
A58131
Anti-LRPAP1 Antibody [PAT8G8AT]
Mouse monoclonal [PAT8G8AT] antibody to LRPAP1 for ELISA and WB.
(5)
A14301
Anti-LRPAP1 Antibody
Rabbit polyclonal antibody to LRPAP1 for WB, IHC and ICC/IF.
(2)
A89845
Anti-LRPAP1 Antibody
Rabbit polyclonal antibody to LRPAP1 for WB, IHC-P, ICC/IF and ELISA.
(3)
A37332
Anti-LRPAP1 Antibody
Rabbit polyclonal antibody to LRPAP1 for WB and IHC.
(2)
A30670
Anti-LRPAP1 Antibody
Rabbit polyclonal antibody to LRPAP1 for WB and IHC.
A58131
Anti-LRPAP1 Antibody [PAT8G8AT]
Mouse monoclonal [PAT8G8AT] antibody to LRPAP1 for ELISA and WB.
See all LRPAP1 Antibodies
Proteins predicted to interact with LRPAP1
Predicted protein interactions based upon String database. Revelancy score correlates with probability of interaction.
LRP1 Antibodies
99.7% Relevancy Score
RalGDS Antibodies
99.6% Relevancy Score
LRP2 Antibodies
99.4% Relevancy Score
EPAC2 Antibodies
95% Relevancy Score
SorLA Antibodies
91.1% Relevancy Score
EPAC1 Antibodies
90.1% Relevancy Score
ApoER2 Antibodies
89.7% Relevancy Score
RALA Antibodies
88.1% Relevancy Score
VLDLR Antibodies
84.6% Relevancy Score
Top