Western Blot - Anti-LRPPRC/GP130 Antibody (A14432)
Western blot analysis of various lysates, using Anti-LRPPRC/GP130 Antibody (A14432) at 1:2,000 dilution. The secondary antibody was Goat Anti-Rabbit IgG H&L Antibody (HRP) at 1:10,000 dilution. Lysates/proteins were present at 25µg per lane. The blocking buffer used was 3% non-fat dry milk in TBST. Detection was with a ECL Basic Kit. Exposure time: 0.5s.
Western Blot - Anti-LRPPRC/GP130 Antibody (A14432)
Western blot analysis of various lysates, using Anti-LRPPRC/GP130 Antibody (A14432) at 1:2,000 dilution. The secondary antibody was Goat Anti-Rabbit IgG H&L Antibody (HRP) at 1:10,000 dilution. Lysates/proteins were present at 25µg per lane. The blocking buffer used was 3% non-fat dry milk in TBST. Detection was with a ECL Basic Kit. Exposure time: 10s.
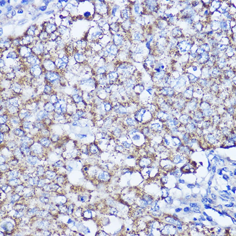
Immunohistochemistry analysis of paraffin-embedded human breast cancer tissue using Anti-LRPPRC/GP130 Antibody (A14432) at a dilution of 1:200 (40x lens). Perform microwave antigen retrieval with 10 mM PBS buffer pH 7.2 before commencing with IHC staining protocol.
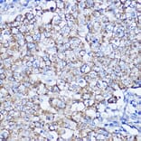
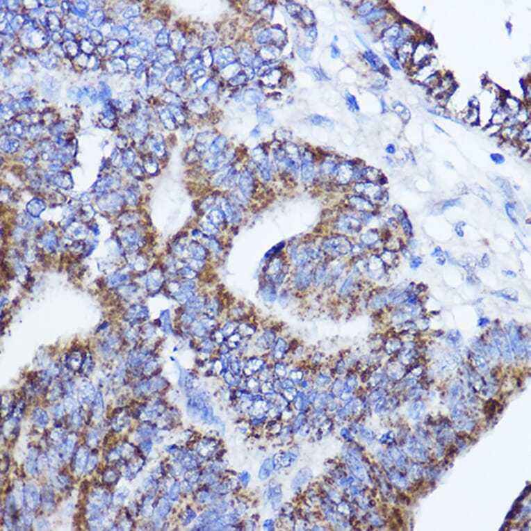
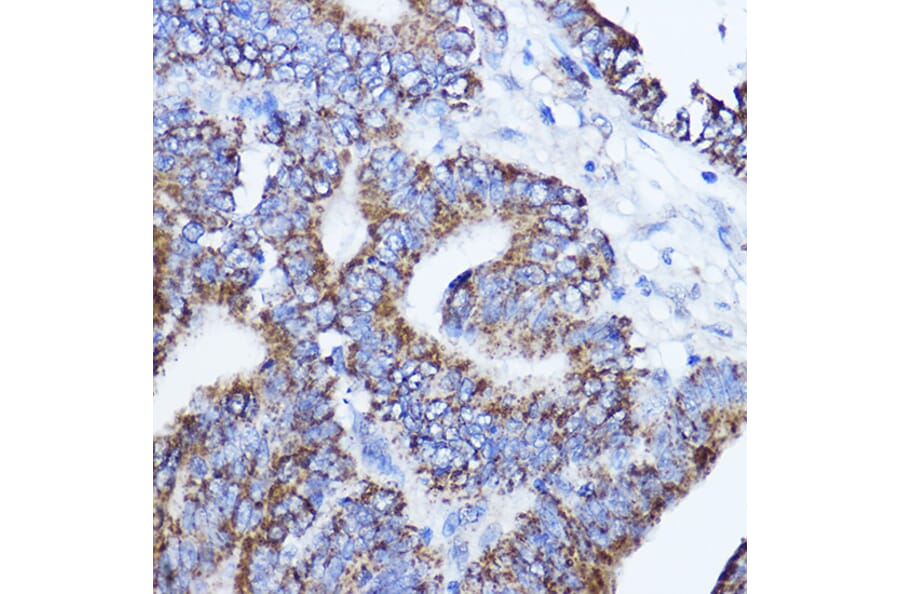
Immunohistochemistry analysis of paraffin-embedded human colon carcinoma tissue using Anti-LRPPRC/GP130 Antibody (A14432) at a dilution of 1:200 (40x lens). Perform microwave antigen retrieval with 10 mM PBS buffer pH 7.2 before commencing with IHC staining protocol.
Confocal immunofluorescence analysis of Hela cells using Anti-LRPPRC/GP130 Antibody (A14432) at a dilution of 1:400. DAPI was used to stain the cell nuclei (blue).
Immunofluorescence analysis of A-549 cells using Anti-LRPPRC/GP130 Antibody (A14432) at a dilution of 1:100 (40x lens). DAPI was used to stain the cell nuclei (blue).
Immunofluorescence analysis of HepG2 cells using Anti-LRPPRC/GP130 Antibody (A14432) at a dilution of 1:100 (40x lens). DAPI was used to stain the cell nuclei (blue).
Immunofluorescence analysis of NIH/3T3 cells using Anti-LRPPRC/GP130 Antibody (A14432) at a dilution of 1:100 (40x lens). DAPI was used to stain the cell nuclei (blue).