ISO 9001:2015 Certified
Live Customer Support
4.5/5 on Trustpilot
100% Quality Guarantee

Anti-Lunatic Fringe Antibody (A12119)

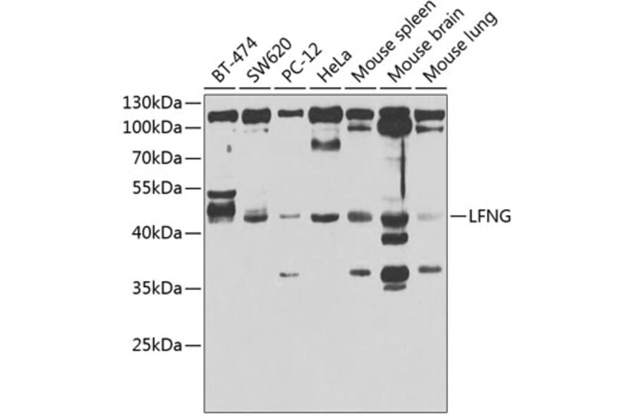
Rabbit polyclonal antibody to Lunatic Fringe for WB.

Shipping Information

$40
Dispatched from St. Louis, MO.
Lead Time: 7-10 business days.
Name
Anti-Lunatic Fringe Antibody
Description
Rabbit polyclonal antibody to Lunatic Fringe.
Applications
WB
Dilutions
WB: 1:500-1:2,000
Reactivity
Human, Mouse, Rat
Immunogen
Recombinant fusion protein containing a sequence corresponding to amino acids 1-250 of human LFNG (NP_002295.1).
Sequence
MTPGRCCLAADIQVETFIFTDGEDEALARHTGNVVITNCSAAHSRQALSCKMAVEYDRFIESGRKWFCHVDDDNYVNLRALLRLLASYPHTRDVYVGKPSLDRPIQAMERVSENKVRPVHFWFATGGAGFCISRGLALKMSPWASGGHFMNTAERIRLPDDCTIGYIVEALLGVPLIRSGLFHSHLENLQQVPTSELHEQVTLSYGMFENKRNAVHVKGPFSVEADPSRFRSIHCHLYPDTPWCPRTAIF
Host
Rabbit
Clonality
Polyclonal
Isotype
IgG
Conjugate

Unconjugated

Purification
Affinity purification.
Concentration
Lot Specific
Molecular Weight
42 kDa
Product Form
Liquid
Formulation
Supplied in Phosphate Buffered Saline, pH 7.3, with 50% Glycerol and 0.02% Sodium Azide.
Storage
Shipped at 4°C. Upon delivery aliquot and store at -20°C. Avoid freeze/thaw cycles.
Synonyms
Beta-1,3-N-acetylglucosaminyltransferase lunatic fringe, LFNG, O-fucosylpeptide 3-beta-N-acetylglucosaminyltransferase
Disclaimer
This product is for research use only. It is not intended for diagnostic or therapeutic use.
Publishing research using Anti-Lunatic Fringe Antibody (A12119)? Please let us know so that we can list the citation on this page.

Alternative products to Anti-Lunatic Fringe Antibody (A12119)

Proteins predicted to interact with Lunatic Fringe

Predicted protein interactions based upon String database. Revelancy score correlates with probability of interaction.
97.9% Relevancy Score
97.3% Relevancy Score
96.9% Relevancy Score
93.8% Relevancy Score
92.5% Relevancy Score
90.3% Relevancy Score
84.8% Relevancy Score
78.6% Relevancy Score
77% Relevancy Score