ISO 9001:2015 Certified
Live Customer Support
4.5/5 on Trustpilot
100% Quality Guarantee

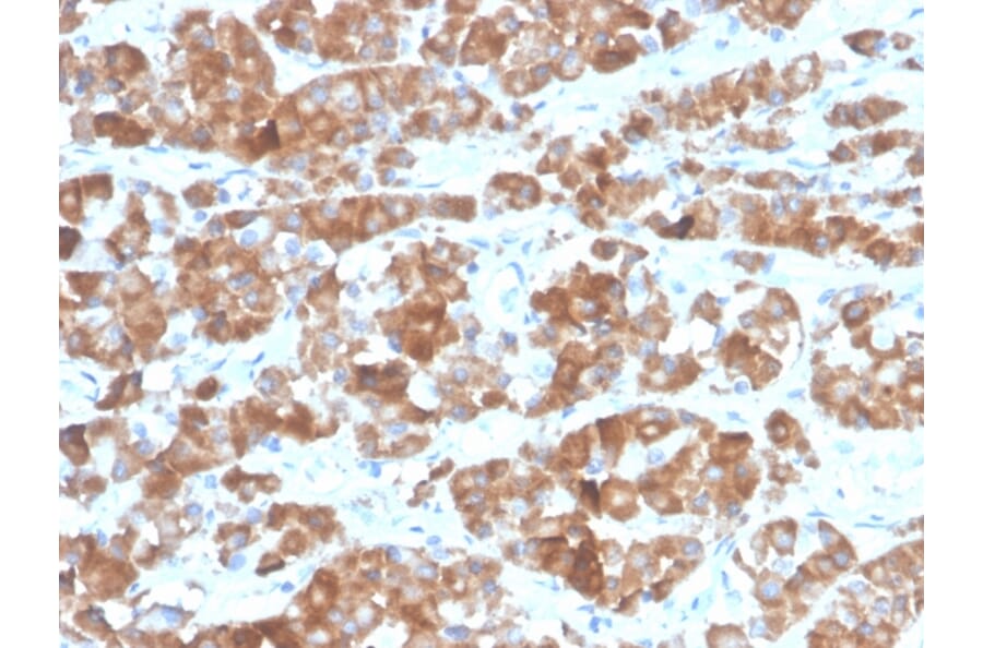
Recombinant Anti-Luteinizing Hormone beta Antibody [LHb/1612R] (A278022)

Recombinant rabbit monoclonal [LHb/1612R] antibody to Luteinizing Hormone beta for IHC-P.

Alternative Formats and ConjugatesAlternative Formats

Shipping Information

$40
Dispatched from St. Louis, MO.
Lead Time: 5-8 business days.
Name
Anti-Luteinizing Hormone beta Antibody [LHb/1612R]
Description
Recombinant rabbit monoclonal [LHb/1612R] antibody to Luteinizing Hormone beta.
Specificity
LH has a beta subunit of 121 amino acids (LHB) that confers its specific biologic action and is responsible for interaction with the LH receptor. This beta subunit contains the same amino acids in sequence as the beta subunit of hCG and both stimulate the same receptor; however, the hCG beta subunit contains an additional 24 amino acids and the hormones differ in the composition of their sugar moieties.LH is synthesized and secreted by gonadotrophs in the anterior lobe of the pituitary gland. In concert with the other pituitary gonadotropin follicle-stimulating hormone (FSH), it is necessary for proper reproductive function. In the female, an acute rise of LH levels triggers ovulation. In the male, where LH has also been called Interstitial Cell-Stimulating Hormone (ICSH), it stimulates Leydig cell production of testosterone. LH is a useful marker in classification of pituitary tumors and the study of pituitary disease.
Applications
IHC-P
Dilutions
IHC-P: 1-2 µg/ml
Reactivity
Human
Immunogen
Recombinant full-length human Luteinizing Hormone beta.
Host
Rabbit
Clonality
Monoclonal
Clone ID
LHb/1612R
Isotype
IgG
Conjugate

Unconjugated

Purification
Protein A/G chromatography.
Concentration
200 µg/ml
Molecular Weight
22 kDa
Product Form
Liquid
Formulation
Supplied in 10mM Phosphate Buffered Saline with 0.05% BSA and 0.05% Sodium Azide.
Storage
Shipped at 4°C. Upon delivery aliquot and store at -20°C. Avoid freeze / thaw cycles.
General Notes
This monoclonal antibody is also available in a different formulation without BSA and Sodium Azide - Anti-Luteinizing Hormone beta Antibody [LHb/1612R] - BSA and Azide free (A278610).
Disclaimer
This product is for research use only. It is not intended for diagnostic or therapeutic use.
Publishing research using Recombinant Anti-Luteinizing Hormone beta Antibody [LHb/1612R] (A278022)? Please let us know so that we can list the citation on this page.

Alternative products to Anti-Luteinizing Hormone beta Antibody [LHb/1612R] (A278022)