ISO 9001:2015 Certified
Live Customer Support
4.5/5 on Trustpilot
100% Quality Guarantee

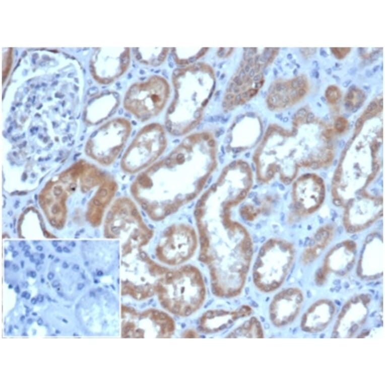
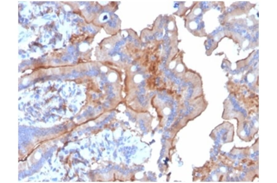
Anti-LY75 Antibody [CD205/3720] - BSA and Azide free (A278285)

Mouse monoclonal [CD205/3720] antibody to LY75 for IHC-P.

Alternative Formats and ConjugatesAlternative Formats

Shipping Information

$40
Dispatched from St. Louis, MO.
Lead Time: 5-8 business days.
Name
Anti-LY75 Antibody [CD205/3720] - BSA and Azide free
Description
Mouse monoclonal [CD205/3720] antibody to LY75.
Specificity
DEC-205 (LY75, lymphocyte antigen 75, GP200-MR6) is a 1,695 residue (mature form) multi-lectin receptor that belongs to the MMR (macrophage mannose receptor) family of multidomain molecules. MMR family molecules mediate membrane receptor targeting to endosomes or lysosomes rich in major histocompatibility complex class II (MHC II) products. Expressed in mature dendritic cells (DC), DEC-205 contains an extracellular N-terminal cysteine-rich domain, a fibronectin type II domain, ten C-type carbohydrate recognition domains, a single transmembrane region and a small cytoplasmic C-terminal domain (31 amino acids) containing a tyrosine at 1679. DEC-205 elicits either an agonistic or antagonistic effect on IL-4 function, which is demonstrated by the ability of DEC-205 to imitate IL-4-induced maturation of epithelium or to inhibit IL-4-induced proliferation of T cells, respectively. Acts as an endocytic receptor to direct captured antigens from the extracellular space to a specialized antigen-processing compartment (By similarity). Causes reduced proliferation of B-lymphocytes.
Applications
IHC-P
Dilutions
IHC-P: 1-2 µg/ml
Reactivity
Human
Immunogen
Recombinant fragment, around amino acids 1,006-1,130, of human LY75 protein. The exact sequence is proprietary.
Host
Mouse
Clonality
Monoclonal
Clone ID
CD205/3720
Isotype
IgG2b
Light Chains
kappa
Conjugate

Unconjugated

Purification
Protein A/G chromatography.
Concentration
1 mg/ml
Molecular Weight
198 kDa
Product Form
Liquid
Formulation
Supplied in 10mM Phosphate Buffered Saline; without Sodium Azide and carrier free.
Storage
Shipped at 4°C. Upon delivery aliquot and store at -20°C. Avoid freeze / thaw cycles.
General Notes
This monoclonal antibody is also available in a different formulation with BSA and Sodium Azide - Anti-LY75 Antibody [CD205/3720] (A277697).
Synonyms
C-type lectin domain family 13 member B, CD205, CLEC13B, gp200-MR6, Ly-75, Lymphocyte antigen 75
Disclaimer
This product is for research use only. It is not intended for diagnostic or therapeutic use.
Publishing research using Anti-LY75 Antibody [CD205/3720] - BSA and Azide free (A278285)? Please let us know so that we can list the citation on this page.

Alternative products to Anti-LY75 Antibody [CD205/3720] - BSA and Azide free (A278285)

Proteins predicted to interact with DEC-205

Predicted protein interactions based upon String database. Revelancy score correlates with probability of interaction.
87.7% Relevancy Score
86.8% Relevancy Score
79.2% Relevancy Score
79.1% Relevancy Score
78.7% Relevancy Score
74.8% Relevancy Score
74.4% Relevancy Score
74% Relevancy Score
73.9% Relevancy Score