Western blot analysis of PC-12, using Anti-LYRIC/AEG1 Antibody (A15037) at 1:1,000 dilution. The secondary antibody was Goat Anti-Rabbit IgG H&L Antibody (HRP) at 1:10,000 dilution. Lysates/proteins were present at 25µg per lane. The blocking buffer used was 3% non-fat dry milk in TBST. Detection was with a ECL Basic Kit. Exposure time: 7s.
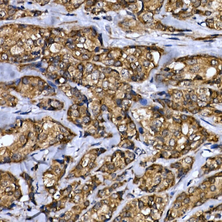
Immunohistochemistry analysis of paraffin-embedded human breast cancer tissue using Anti-LYRIC/AEG1 Antibody (A15037) at a dilution of 1:200 (40x lens). Perform high pressure antigen retrieval with 10 mM citrate buffer pH 6.0 before commencing with IHC staining protocol.
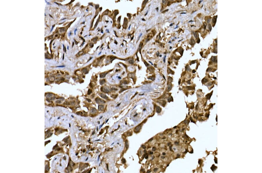
Immunohistochemistry analysis of paraffin-embedded human lung cancer using Anti-LYRIC/AEG1 Antibody (A15037) at a dilution of 1:200 (40x lens). Perform high pressure antigen retrieval with 10 mM citrate buffer pH 6.0 before commencing with IHC staining protocol.
Immunohistochemistry analysis of paraffin-embedded mouse spinal cord using Anti-LYRIC/AEG1 Antibody (A15037) at a dilution of 1:200 (40x lens). Perform high pressure antigen retrieval with 10 mM citrate buffer pH 6.0 before commencing with IHC staining protocol.
Immunohistochemistry analysis of paraffin-embedded rat brain using Anti-LYRIC/AEG1 Antibody (A15037) at a dilution of 1:200 (40x lens). Perform high pressure antigen retrieval with 10 mM citrate buffer pH 6.0 before commencing with IHC staining protocol.
Immunofluorescence analysis of U2OS cells using Anti-LYRIC/AEG1 Antibody (A15037) at a dilution of 1:100. DAPI was used to stain the cell nuclei (blue).