Primary Antibodies
Secondary Antibodies
Proteins & Peptides
ELISA Kits
About Us
Contact Us
Sign In/Register
0
ISO 9001:2015 Certified
Live Customer Support
4.5/5 on Trustpilot
100% Quality Guarantee
Home
Primary Antibodies
LYRM1 Antibodies
Anti-LYRM1 Antibody (A48041)
Anti-LYRM1 Antibody (A48041)
Overview
Specifications
Images
Enlarge Image
Enlarge Image
$780
Product Datasheet
Rabbit polyclonal antibody to LYRM1 for ELISA, WB and IHC.
100% Guarantee
Price Match Guarantee
Product Size:
100µl
Quantity:
1
2
3
4
5
6
7
8
9
10
Add To Cart
Request a Quotation
Custom or Bulk Request
Shipping Information
Freight/Packing Charges:
$40
Dispatched from St. Louis, MO.
Lead Time: 6-9 business days.
Specifications
Name
Anti-LYRM1 Antibody
Description
Rabbit polyclonal antibody to LYRM1
Applications
ELISA
,
WB
,
IHC
Reactivity
Human, Mouse, Rat
Immunogen
Raised against a 17 amino acid peptide near the center of human LYRM1.
Host
Rabbit
Clonality
Polyclonal
Conjugate
Unconjugated
Purification
Affinity chromatography purified via peptide column
Formulation
Supplied in phosphate-buffered saline with 0.02% Sodium Azide.
Storage
Shipped at 4°C. Upon delivery aliquot and store at -20°C. Avoid freeze/thaw cycles.
Synonyms
LYR motif-containing protein 1
Suitable Secondaries
Goat Anti-Rabbit IgG H&L Antibody (AP) (A294874)
Goat Anti-Rabbit IgG H&L Antibody (Biotin) (A294795)
Goat Anti-Rabbit IgG H&L Antibody (FITC) (A294887)
Goat Anti-Rabbit IgG H&L Antibody (HRP) (A294888)
See all Anti-Rabbit IgG Secondaries →
Disclaimer
This product is for research use only. It is not intended for diagnostic or therapeutic use.
Scientific Validation Data
Validation Data
(2)
Enlarge Image
Anti-LYRM1 Antibody (A48041)
Western blot analysis of LYRM1 in human liver tissue lysate with LYRM1 antibody at (A) 1 and (B) 2 µg/mL.
Enlarge Image
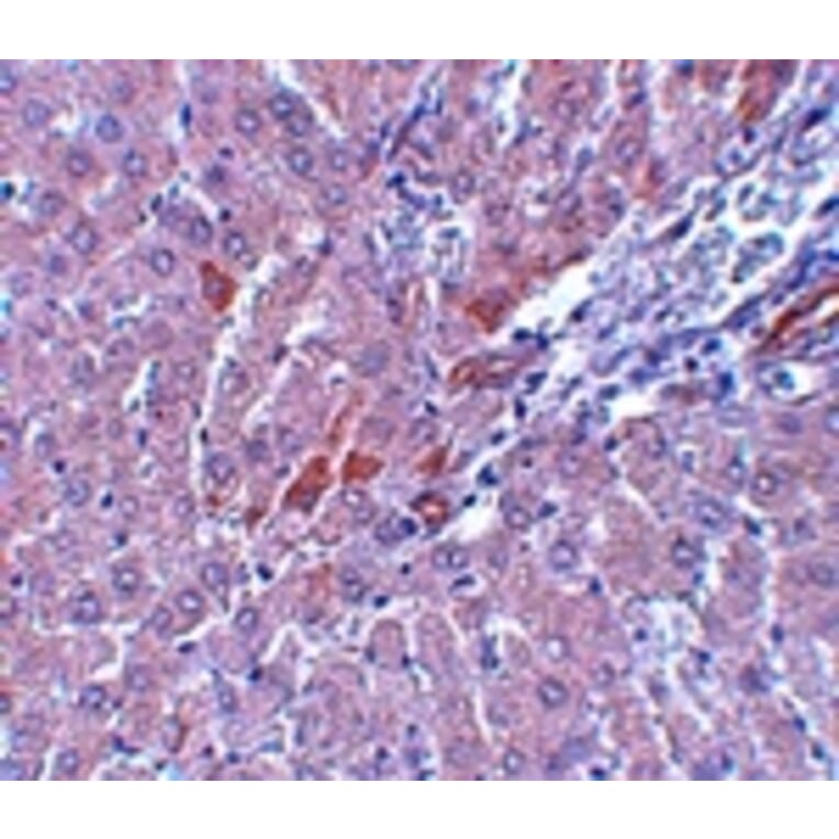
Immunohistochemistry - Anti-LYRM1 Antibody (A48041)
Immunohistochemistry of LYRM1 in rat liver tissue with LYRM1 antibody at 5 µg/mL.
Publishing research using Anti-LYRM1 Antibody (A48041)? Please
let us know
so that we can list the citation on this page.
Alternative products to Anti-LYRM1 Antibody (A48041)
A88293
Anti-LYRM1 Antibody
Rabbit polyclonal antibody to LYRM1 for WB.
A88293
Anti-LYRM1 Antibody
Rabbit polyclonal antibody to LYRM1 for WB.
Proteins predicted to interact with LYRM1
Predicted protein interactions based upon String database. Revelancy score correlates with probability of interaction.
LYRM5 Antibodies
82.1% Relevancy Score
LYRM2 Antibodies
78.9% Relevancy Score
ACN9 Antibodies
72.3% Relevancy Score
Kinetochore Antibodies
58.5% Relevancy Score
NDUFAB1 Antibodies
57.7% Relevancy Score
SDHAF1 Antibodies
52.8% Relevancy Score
NDUFB9 Antibodies
49.1% Relevancy Score
NDUFA6 Antibodies
46.8% Relevancy Score
IGF2BP2 Antibodies
39% Relevancy Score
Top