ISO 9001:2015 Certified
Live Customer Support
4.5/5 on Trustpilot
100% Quality Guarantee

Anti-Lysozyme Antibody [LYZ/3944] - BSA and Azide free (A278289)

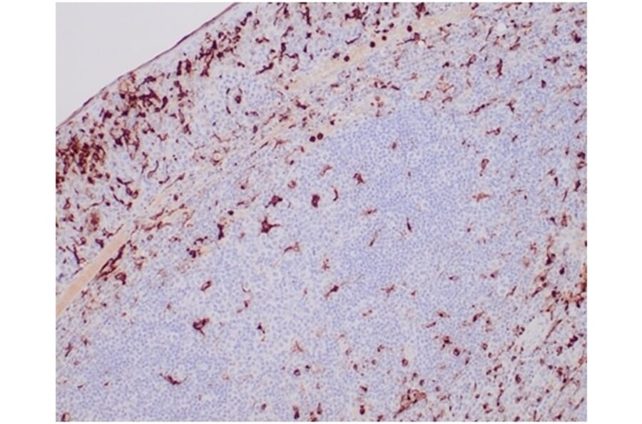
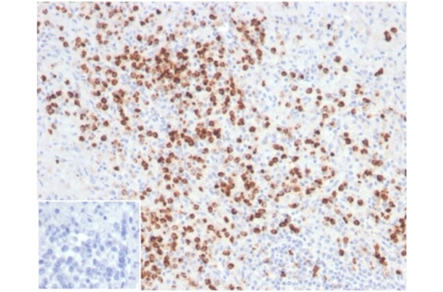
Mouse monoclonal [LYZ/3944] antibody to Lysozyme for WB and IHC-P.

Alternative Formats and ConjugatesAlternative Formats

Shipping Information

$40
Dispatched from St. Louis, MO.
Lead Time: 5-8 business days.
Name
Anti-Lysozyme Antibody [LYZ/3944] - BSA and Azide free
Description
Mouse monoclonal [LYZ/3944] antibody to Lysozyme.
Specificity
Lysozyme is an enzyme, commonly referred to as the body s own antibiotic since it kills bacteria.Natural substrate of lysozyme is the bacterial cell wall peptidoglycan (cleaving the beta[1-4]glycosidic linkages between N-acetylmuramic acid and N-acetylglucosamine). Lysozyme is one of the antimicrobial agents found in human milk, and is also present in spleen, lung, kidney, white blood cells, plasma, saliva, and tears. The protein has antibacterial activity against a number of bacterial species.Lysozyme is synthesized predominantly in reactive histiocytes rather than in resting, unstimulated phagocytes. This antibody labels myeloid cells, histiocytes, granulocytes, macrophages and monocytes. It is helpful in the identification of myeloid or monocytic nature of acute leukemia.
Applications
WB, IHC-P
Dilutions
WB: 1-2 µg/ml, IHC-P: 1-2 µg/ml
Reactivity
Human
Immunogen
Recombinant fragment, around amino acids 18-147, of human Lysozyme protein. The exact sequence is proprietary.
Host
Mouse
Clonality
Monoclonal
Clone ID
LYZ/3944
Isotype
IgG2b
Light Chains
kappa
Conjugate

Unconjugated

Purification
Protein A/G chromatography.
Concentration
1 mg/ml
Molecular Weight
17 kDa
Product Form
Liquid
Formulation
Supplied in 10mM Phosphate Buffered Saline; without Sodium Azide and carrier free.
Storage
Shipped at 4°C. Upon delivery aliquot and store at -20°C. Avoid freeze / thaw cycles.
General Notes
This monoclonal antibody is also available in a different formulation with BSA and Sodium Azide - Anti-Lysozyme Antibody [LYZ/3944] (A277701).
Synonyms
1,4-beta-N-acetylmuramidase C, Lysozyme C, LYZ, LZM
Disclaimer
This product is for research use only. It is not intended for diagnostic or therapeutic use.
Publishing research using Anti-Lysozyme Antibody [LYZ/3944] - BSA and Azide free (A278289)? Please let us know so that we can list the citation on this page.

Alternative products to Anti-Lysozyme Antibody [LYZ/3944] - BSA and Azide free (A278289)

Proteins predicted to interact with Lysozyme

Predicted protein interactions based upon String database. Revelancy score correlates with probability of interaction.
91.8% Relevancy Score
90.7% Relevancy Score
90.6% Relevancy Score
90.1% Relevancy Score
83.8% Relevancy Score
83.6% Relevancy Score
79.9% Relevancy Score
74.9% Relevancy Score