Primary Antibodies
Secondary Antibodies
Proteins & Peptides
ELISA Kits
About Us
Contact Us
Sign In/Register
0
ISO 9001:2015 Certified
Live Customer Support
4.5/5 on Trustpilot
100% Quality Guarantee
Home
Primary Antibodies
LZTR1 Antibodies
Anti-LZTR1 Antibody (A48031)
Anti-LZTR1 Antibody (A48031)
Overview
Specifications
Images
Enlarge Image
Enlarge Image
$780
Product Datasheet
Rabbit polyclonal antibody to LZTR1 for ELISA, WB and IHC.
100% Guarantee
Price Match Guarantee
Product Size:
100µl
Quantity:
1
2
3
4
5
6
7
8
9
10
Add To Cart
Request a Quotation
Custom or Bulk Request
Shipping Information
Freight/Packing Charges:
$40
Dispatched from St. Louis, MO.
Lead Time: 6-9 business days.
Specifications
Name
Anti-LZTR1 Antibody
Description
Rabbit polyclonal antibody to LZTR1
Applications
ELISA
,
WB
,
IHC
Reactivity
Human, Mouse, Rat
Immunogen
Raised against a 14 amino acid peptide near the amino terminus of human LZTR1.
Host
Rabbit
Clonality
Polyclonal
Conjugate
Unconjugated
Purification
Affinity chromatography purified via peptide column
Formulation
Supplied in phosphate-buffered saline with 0.02% Sodium Azide.
Storage
Shipped at 4°C. Upon delivery aliquot and store at -20°C. Avoid freeze/thaw cycles.
Synonyms
Leucine-zipper-like transcriptional regulator 1, LZTR-1, TCFL2
Suitable Secondaries
Goat Anti-Rabbit IgG H&L Antibody (AP) (A294874)
Goat Anti-Rabbit IgG H&L Antibody (Biotin) (A294795)
Goat Anti-Rabbit IgG H&L Antibody (FITC) (A294887)
Goat Anti-Rabbit IgG H&L Antibody (HRP) (A294888)
See all Anti-Rabbit IgG Secondaries →
Disclaimer
This product is for research use only. It is not intended for diagnostic or therapeutic use.
Scientific Validation Data
Validation Data
(2)
Enlarge Image
Anti-LZTR1 Antibody (A48031)
Western blot analysis of LZTR1 in human heart tissue lysate with LZTR1 antibody at (A) 1 and (B) 2 µg/mL.
Enlarge Image
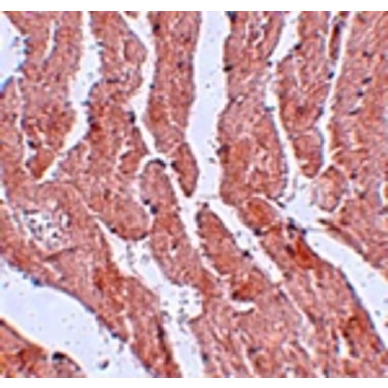
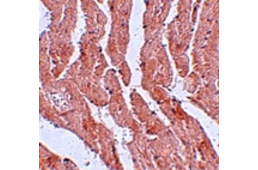
Immunohistochemistry - Anti-LZTR1 Antibody (A48031)
Immunohistochemistry of LZTR1 in mouse heart tissue with LZTR1 antibody at 5 µg/mL.
Publishing research using Anti-LZTR1 Antibody (A48031)? Please
let us know
so that we can list the citation on this page.
Alternative products to Anti-LZTR1 Antibody (A48031)
A28468
Anti-LZTR1 Antibody
Rabbit polyclonal antibody to LZTR1 for WB.
A32018
Anti-LZTR1 Antibody
Rabbit polyclonal antibody to LZTR1 for WB and IHC.
A15658
Anti-LZTR1 Antibody
Rabbit polyclonal antibody to LZTR1 for WB.
A28468
Anti-LZTR1 Antibody
Rabbit polyclonal antibody to LZTR1 for WB.
A32018
Anti-LZTR1 Antibody
Rabbit polyclonal antibody to LZTR1 for WB and IHC.
A15658
Anti-LZTR1 Antibody
Rabbit polyclonal antibody to LZTR1 for WB.
Proteins predicted to interact with LZTR1
Predicted protein interactions based upon String database. Revelancy score correlates with probability of interaction.
CUL3 Antibodies
99.8% Relevancy Score
KRAS Antibodies
92.1% Relevancy Score
KLHL3 Antibodies
92.1% Relevancy Score
KLHL8 Antibodies
91.2% Relevancy Score
KBTBD8 Antibodies
91.2% Relevancy Score
SPOP Antibodies
90.9% Relevancy Score
Keap1 Antibodies
90.9% Relevancy Score
KLHL25 Antibodies
90.6% Relevancy Score
RBX1 Antibodies
90.6% Relevancy Score
Top