Primary Antibodies
Secondary Antibodies
Proteins & Peptides
ELISA Kits
About Us
Contact Us
Sign In/Register
0
ISO 9001:2015 Certified
Live Customer Support
4.5/5 on Trustpilot
100% Quality Guarantee
Home
Primary Antibodies
LZTS2 Antibodies
Anti-LZTS2 Antibody (A49916)
Anti-LZTS2 Antibody (A49916)
Overview
Specifications
Images
Enlarge Image
$780
Product Datasheet
Rabbit polyclonal antibody to LZTS2 for ELISA and IHC.
100% Guarantee
Price Match Guarantee
Product Size:
100µl
Quantity:
1
2
3
4
5
6
7
8
9
10
Add To Cart
Request a Quotation
Custom or Bulk Request
Shipping Information
Freight/Packing Charges:
$40
Dispatched from St. Louis, MO.
Lead Time: 6-9 business days.
Specifications
Name
Anti-LZTS2 Antibody
Description
Rabbit polyclonal antibody to LZTS2
Specificity
LZTS2 antibody is predicted to not cross-react with other LZTS family members.
Applications
ELISA
,
IHC
Reactivity
Human
Immunogen
Raised against a 17 amino acid peptide near the carboxy terminus of human LZTS2.
Host
Rabbit
Clonality
Polyclonal
Conjugate
Unconjugated
Purification
Affinity chromatography purified via peptide column
Formulation
Supplied in phosphate-buffered saline with 0.02% Sodium Azide.
Storage
Shipped at 4°C. Upon delivery aliquot and store at -20°C. Avoid freeze/thaw cycles.
Synonyms
hLZTS2, KIAA1813, LAPSER1, Leucine zipper putative tumor suppressor 2, Protein LAPSER1
Suitable Secondaries
Goat Anti-Rabbit IgG H&L Antibody (AP) (A294874)
Goat Anti-Rabbit IgG H&L Antibody (Biotin) (A294795)
Goat Anti-Rabbit IgG H&L Antibody (FITC) (A294887)
Goat Anti-Rabbit IgG H&L Antibody (HRP) (A294888)
See all Anti-Rabbit IgG Secondaries →
Disclaimer
This product is for research use only. It is not intended for diagnostic or therapeutic use.
Scientific Validation Data
Validation Data
(1)
Enlarge Image
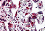
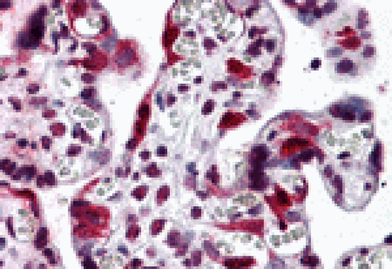
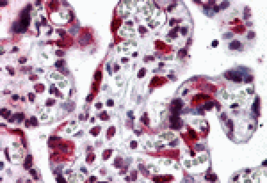
Immunohistochemistry - Anti-LZTS2 Antibody (A49916)
Immunohistochemistry of LZTS2 in human placenta tissue with LZTS2 antibody at 5 µg/mL.
Publishing research using Anti-LZTS2 Antibody (A49916)? Please
let us know
so that we can list the citation on this page.
Alternative products to Anti-LZTS2 Antibody (A49916)
A91154
Anti-LZTS2 Antibody
Rabbit polyclonal antibody to LZTS2 for WB.
A49492
Anti-LZTS2 Antibody
Rabbit polyclonal antibody to LZTS2 for ELISA and WB.
A91154
Anti-LZTS2 Antibody
Rabbit polyclonal antibody to LZTS2 for WB.
A49492
Anti-LZTS2 Antibody
Rabbit polyclonal antibody to LZTS2 for ELISA and WB.
Proteins predicted to interact with LZTS2
Predicted protein interactions based upon String database. Revelancy score correlates with probability of interaction.
KATNB1 Antibodies
89.8% Relevancy Score
SIPA1L1 Antibodies
88.5% Relevancy Score
LZTS1 Antibodies
83.8% Relevancy Score
KATNA1 Antibodies
83% Relevancy Score
SHANK3 Antibodies
80.9% Relevancy Score
DYRK1A Antibodies
73.5% Relevancy Score
beta Catenin Antibodies
67.7% Relevancy Score
MXI1 Antibodies
66.2% Relevancy Score
DYRK1B Antibodies
64.4% Relevancy Score
Top