ISO 9001:2015 Certified
Live Customer Support
4.5/5 on Trustpilot
100% Quality Guarantee

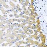
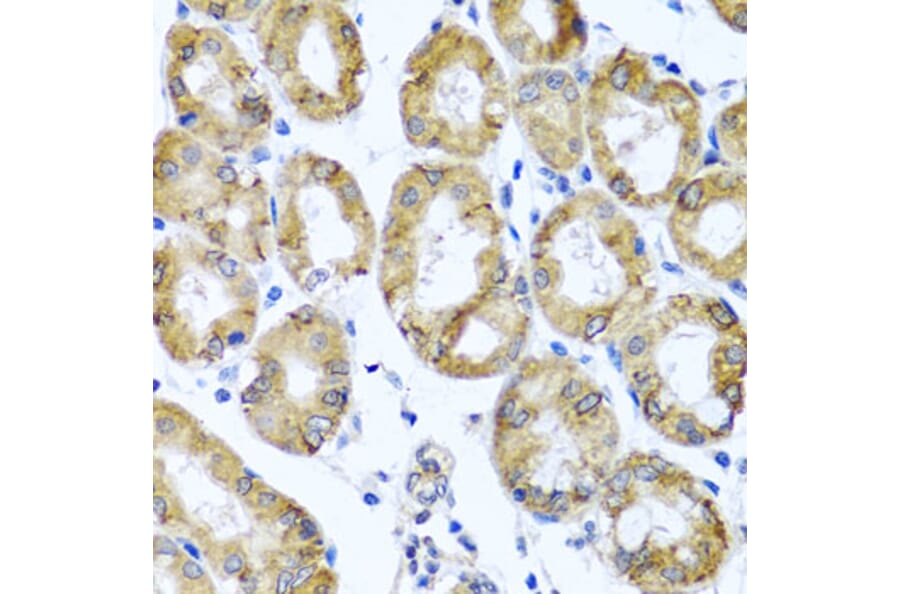
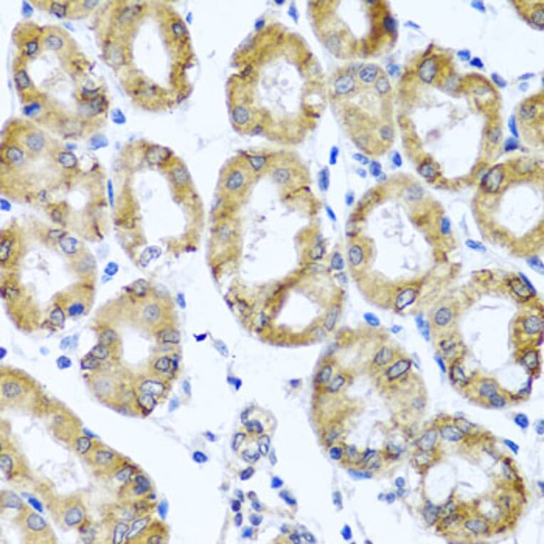
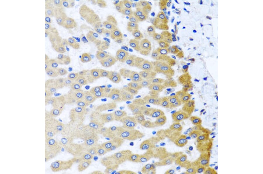
Anti-M6PR Antibody (A11950)

This product is discontinued

Anti-M6PR Antibody (A11950) has been discontinued and is no longer available.

View all M6PR Antibodies.

Name
Anti-M6PR Antibody
Description
Rabbit polyclonal antibody to M6PR.
Applications
WB, IHC
Dilutions
WB: 1:500-1:2000, IHC: 1:50-1:200
Reactivity
Human, Mouse
Immunogen
Recombinant fusion protein containing a sequence corresponding to amino acids 27-185 of human M6PR (NP_002346.1).
Sequence
TEEKTCDLVGEKGKESEKELALVKRLKPLFNKSFESTVGQGSDTYIYIFRVCREAGNHTSGAGLVQINKSNGKETVVGRLNETHIFNGSNWIMLIYKGGDEYDNHCGKEQRRAVVMISCNRHTLADNFNPVSEERGKVQDCFYLFEMDSSLACSPEISH
Host
Rabbit
Clonality
Polyclonal
Isotype
IgG
Conjugate

Unconjugated

Purification
Affinity purification.
Molecular Weight
31kDa
Formulation
Supplied in Phosphate Buffered Saline, pH 7.30, with 0.02% Sodium Azide and 50% Glycerol.
Storage
Shipped at 4°C. Upon delivery aliquot and store at -20°C. Avoid freeze / thaw cycles.
Synonyms
300 kDa mannose 6-phosphate receptor, Cation-independent mannose-6-phosphate receptor, CD222, CI Man-6-P receptor, CI-MPR, IGF-II receptor, Insulin-like growth factor 2 receptor, Insulin-like growth factor II receptor, M6P/IGF2 receptor, M6P/IGF2R, MPR 300, MPRI
Disclaimer
This product is for research use only. It is not intended for diagnostic or therapeutic use.

Alternative products to Anti-M6PR Antibody (A11950)

Proteins predicted to interact with IGF2R

Predicted protein interactions based upon String database. Revelancy score correlates with probability of interaction.
99.9% Relevancy Score
99.6% Relevancy Score
99.5% Relevancy Score
99.4% Relevancy Score
98.9% Relevancy Score
98.6% Relevancy Score
98.5% Relevancy Score
94.5% Relevancy Score
91.4% Relevancy Score