ISO 9001:2015 Certified
Live Customer Support
4.5/5 on Trustpilot
100% Quality Guarantee

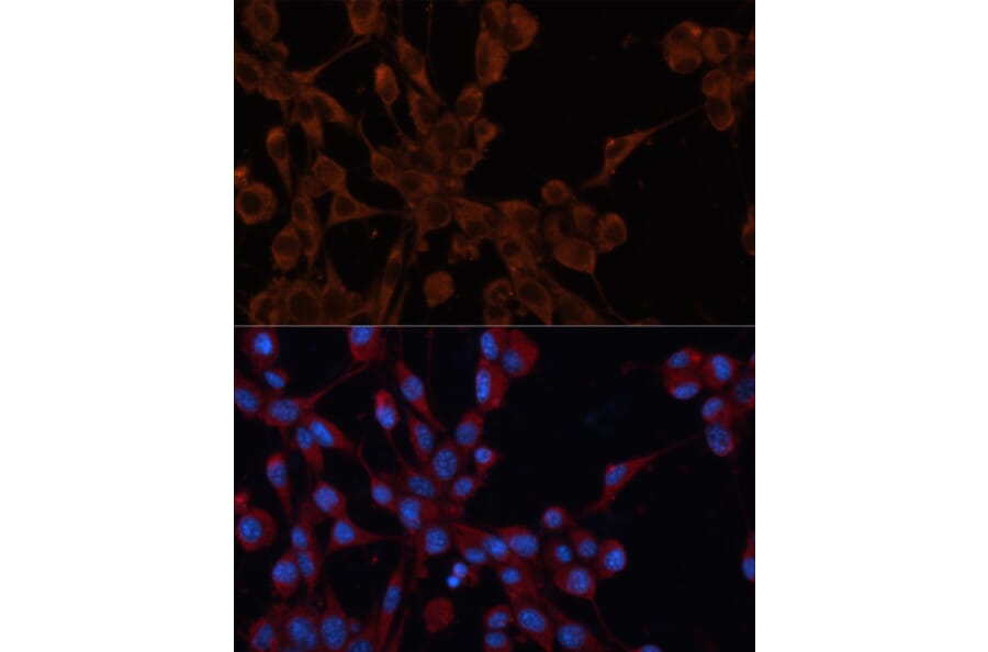
Anti-M6PR (cation independent) Antibody (A89200)

Rabbit polyclonal antibody to M6PR (cation independent) for WB and ICC/IF.

Shipping Information

$40
Dispatched from St. Louis, MO.
Lead Time: 7-10 business days.
Name
Anti-M6PR (cation independent) Antibody
Description
Rabbit polyclonal antibody to M6PR (cation independent).
Applications
WB, ICC/IF
Dilutions
WB: 1:500-1:1,000, ICC/IF: 1:50-1:200
Reactivity
Human, Mouse, Rat
Immunogen
Recombinant fusion protein containing a sequence corresponding to amino acids 2327-2491 of human Cation-independent M6PR (Cation-independent M6PR (IGF2R)) (NP_000867.2).
Sequence
YKKERRETVISKLTTCCRRSSNVSYKYSKVNKEEETDENETEWLMEEIQLPPPRQGKEGQENGHITTKSVKALSSLHGDDQDSEDEVLTIPEVKVHSGRGAGAESSHPVRNAQSNALQEREDDRVGLVRGEKARKGKSSSAQQKTVSSTKLVSFHDDSDEDLLHI
Host
Rabbit
Clonality
Polyclonal
Isotype
IgG
Conjugate

Unconjugated

Purification
Affinity purification.
Concentration
Lot Specific
Molecular Weight
274 kDa
Product Form
Liquid
Formulation
Supplied in Phosphate Buffered Saline, pH 7.3, with 50% Glycerol and 0.01% Thiomersal.
Storage
Shipped at 4°C. Upon delivery aliquot and store at -20°C. Avoid freeze/thaw cycles.
Synonyms
300 kDa mannose 6 phosphate receptor, 300 kDa mannose 6-phosphate receptor, Cation independent mannose 6 phosphate receptor, Cation-independent mannose-6-phosphate receptor, CD222, CD222 antigen, CI Man 6 P receptor, CI Man-6-P receptor, CI MPR, CI-M6PR, CI-MPR, CIMPR, IGF 2 receptor, IGF 2R, IGF II receptor, IGF-II receptor, IGF2 receptor, Igf2r, Insulin like growth factor 2 receptor, Insulin like growth factor II receptor, Insulin-like growth factor 2 receptor, Insulin-like growth factor II receptor, M6P R, M6P/IGF2 receptor, M6P/IGF2R, M6PR, mannose 6 phosphate receptor, mannose 6 phosphate receptor, cation independent, MPR 300, MPR300, MPRI, MPRI_HUMAN
Disclaimer
This product is for research use only. It is not intended for diagnostic or therapeutic use.
Publishing research using Anti-M6PR (cation independent) Antibody (A89200)? Please let us know so that we can list the citation on this page.

Alternative products to Anti-M6PR (cation independent) Antibody (A89200)