Primary Antibodies
Secondary Antibodies
Proteins & Peptides
ELISA Kits
About Us
Contact Us
Sign In/Register
0
ISO 9001:2015 Certified
Live Customer Support
4.5/5 on Trustpilot
100% Quality Guarantee
Home
Primary Antibodies
MACC1 Antibodies
Anti-MACC1 Antibody (A47998)
Anti-MACC1 Antibody (A47998)
Overview
Specifications
Images
Enlarge Image
Enlarge Image
$780
Product Datasheet
Rabbit polyclonal antibody to MACC1 for ELISA, WB and IHC.
100% Guarantee
Price Match Guarantee
Product Size:
100µl
Quantity:
1
2
3
4
5
6
7
8
9
10
Add To Cart
Request a Quotation
Custom or Bulk Request
Shipping Information
Freight/Packing Charges:
$40
Dispatched from St. Louis, MO.
Lead Time: 6-9 business days.
Specifications
Name
Anti-MACC1 Antibody
Description
Rabbit polyclonal antibody to MACC1
Applications
ELISA
,
WB
,
IHC
Reactivity
Human, Mouse, Rat
Immunogen
Raised against a 17 amino acid peptide near the center of human MACC1.
Host
Rabbit
Clonality
Polyclonal
Conjugate
Unconjugated
Purification
Affinity chromatography purified via peptide column
Formulation
Supplied in phosphate-buffered saline with 0.02% Sodium Azide.
Storage
Shipped at 4°C. Upon delivery aliquot and store at -20°C. Avoid freeze/thaw cycles.
Synonyms
Metastasis-associated in colon cancer protein 1, SH3 domain-containing protein 7a5
Suitable Secondaries
Goat Anti-Rabbit IgG H&L Antibody (AP) (A294874)
Goat Anti-Rabbit IgG H&L Antibody (Biotin) (A294795)
Goat Anti-Rabbit IgG H&L Antibody (FITC) (A294887)
Goat Anti-Rabbit IgG H&L Antibody (HRP) (A294888)
See all Anti-Rabbit IgG Secondaries →
Disclaimer
This product is for research use only. It is not intended for diagnostic or therapeutic use.
Scientific Validation Data
Validation Data
(2)
Enlarge Image
Anti-MACC1 Antibody (A47998)
Western blot analysis of MACC1 in mouse liver tissue lysate with MACC1 antibody at (A) 1 and (B) 2 µg/mL.
Enlarge Image
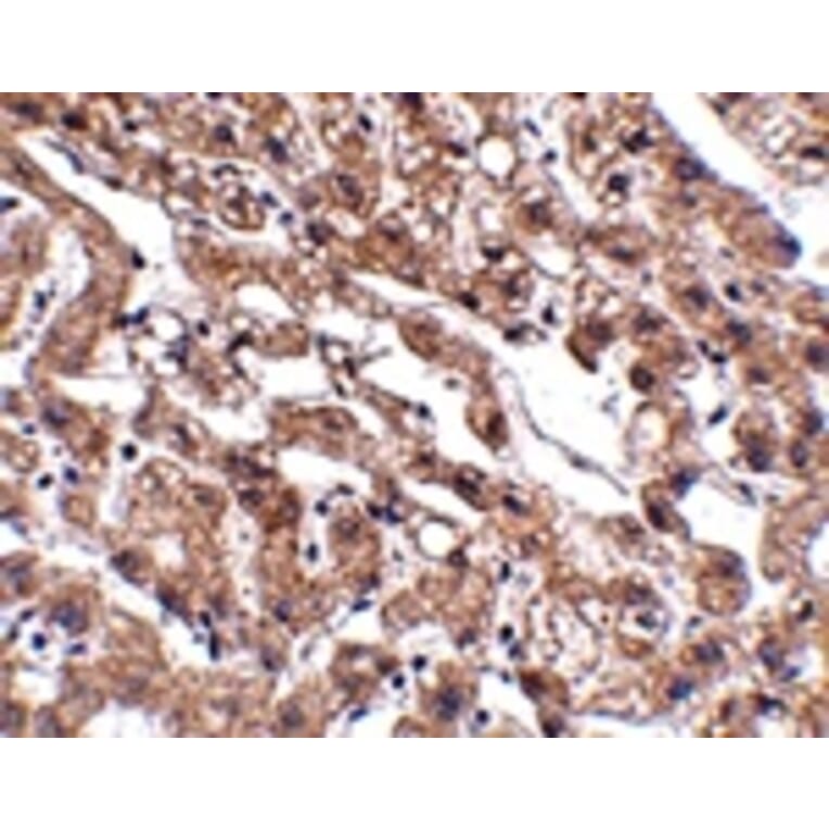
Immunohistochemistry - Anti-MACC1 Antibody (A47998)
Immunohistochemistry of MACC1 in human liver tissue with MACC1 antibody at 2.5 µg/mL.
Publishing research using Anti-MACC1 Antibody (A47998)? Please
let us know
so that we can list the citation on this page.
Alternative products to Anti-MACC1 Antibody (A47998)
(2)
A99050
Anti-MACC1 Antibody
Rabbit polyclonal antibody to MACC1 for WB and ELISA.
A40563
Anti-MACC1 Antibody
Rabbit polyclonal antibody to MACC1 for ELISA and WB.
A29066
Anti-MACC1 Antibody
Rabbit polyclonal antibody to MACC1 for WB.
A46469
Anti-MACC1 Antibody
Rabbit polyclonal antibody to MACC1 for IHC.
(2)
A99050
Anti-MACC1 Antibody
Rabbit polyclonal antibody to MACC1 for WB and ELISA.
A40563
Anti-MACC1 Antibody
Rabbit polyclonal antibody to MACC1 for ELISA and WB.
A29066
Anti-MACC1 Antibody
Rabbit polyclonal antibody to MACC1 for WB.
A46469
Anti-MACC1 Antibody
Rabbit polyclonal antibody to MACC1 for IHC.
Proteins predicted to interact with MACC1
Predicted protein interactions based upon String database. Revelancy score correlates with probability of interaction.
HGF Antibodies
82.7% Relevancy Score
c-Met Antibodies
81.1% Relevancy Score
EPS15 Antibodies
63.2% Relevancy Score
PDE8A Antibodies
62.2% Relevancy Score
E-Cadherin Antibodies
42.5% Relevancy Score
NXPH1 Antibodies
41.3% Relevancy Score
Claudin-7 Antibodies
37.9% Relevancy Score
RRS1 Antibodies
37.3% Relevancy Score
beta Catenin Antibodies
36.5% Relevancy Score
Top