ISO 9001:2015 Certified
Live Customer Support
4.5/5 on Trustpilot
100% Quality Guarantee

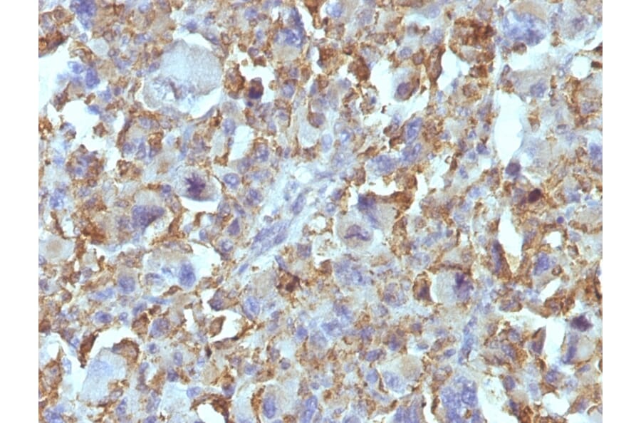
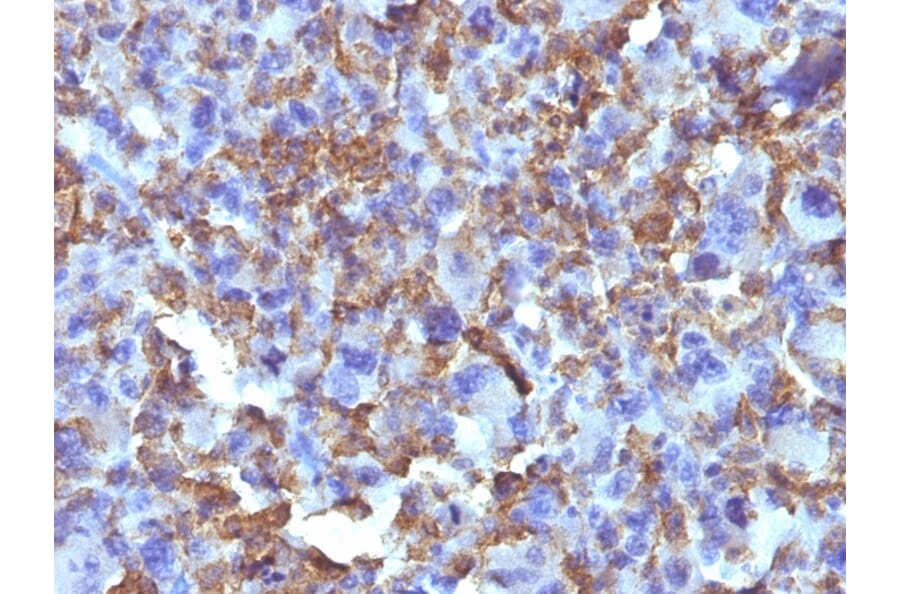
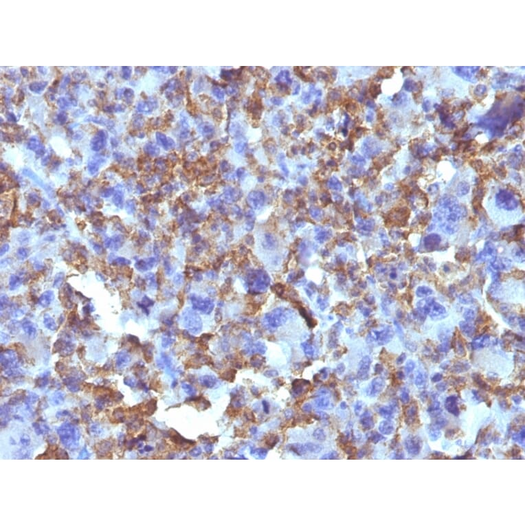
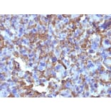
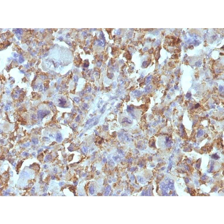
Anti-Macrophage + Histiocytoma Antibody [D11] - BSA and Azide free (A254106)

Mouse monoclonal [D11] antibody to Macrophage + Histiocytoma for IHC-P.

Alternative Formats and ConjugatesAlternative Formats

Shipping Information

$40
Dispatched from St. Louis, MO.
Lead Time: 5-8 business days.
Name
Anti-Macrophage + Histiocytoma Antibody [D11] - BSA and Azide free
Description
Mouse monoclonal [D11] antibody to Macrophage + Histiocytoma.
Specificity
In western blotting, this antibody detects an antigen of 125kDa in human liver and 135kDa in tumors of histiocytic origin. Its antigen in all macrophage types studied is located on the plasma membrane and within cytoplasmic structures including lysosomes. This antibody shows a restricted reactivity to cells of the monocyte/macrophage system. It specifically reacts with blood monocytes and stains resident macrophages in a wide variety of human tissues. This antibody does not stain antigen-presenting cells, i.e. Langerhans cells, and reportedly, its reactivity is restricted to histiocytes and macrophages.
Applications
IHC-P
Dilutions
IHC-P: 1-2 µg/ml
Reactivity
Human
Cross Reactivity
This antibody does not cross react with Mouse, Rat, or Porcine.
Immunogen
Membrane preparation from human hepatocytes.
Host
Mouse
Clonality
Monoclonal
Clone ID
D11
Isotype
IgG1
Light Chains
kappa
Conjugate

Unconjugated

Purification
Protein A/G chromatography.
Concentration
1 mg/ml
Molecular Weight
125 kDa-135 kDa
Product Form
Liquid
Formulation
Supplied in 10mM Phosphate Buffered Saline; without Sodium Azide and carrier free.
Storage
Shipped at 4°C. Upon delivery aliquot and store at -20°C. Avoid freeze / thaw cycles.
General Notes
This monoclonal antibody is also available in a different formulation with BSA and Sodium Azide - Anti-Macrophage + Histiocytoma Antibody [D11] (A250926).
Disclaimer
This product is for research use only. It is not intended for diagnostic or therapeutic use.
Publishing research using Anti-Macrophage + Histiocytoma Antibody [D11] - BSA and Azide free (A254106)? Please let us know so that we can list the citation on this page.