ISO 9001:2015 Certified
Live Customer Support
4.5/5 on Trustpilot
100% Quality Guarantee

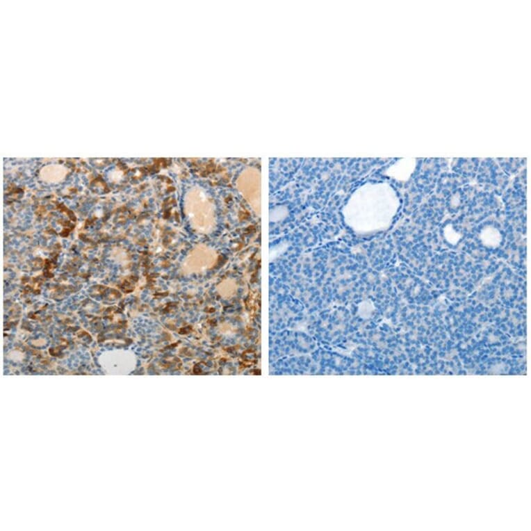
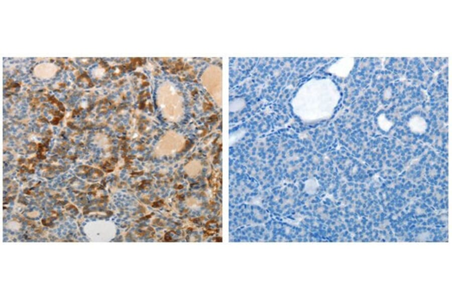
Anti-MAD2L1 Antibody (A47675)

Rabbit polyclonal antibody to MAD2L1 for ELISA, WB and IHC.

Shipping Information

$40
Dispatched from St. Louis, MO.
Lead Time: 6-9 business days.
Name
Anti-MAD2L1 Antibody
Description
Rabbit polyclonal antibody to MAD2L1
Specificity
The antibody detects endogenous level of total MAD2L1 protein.
Applications
ELISA, WB, IHC
Dilutions
ELISA: 1:1000-1:2000 Western blotting: 1:200-1:1000 Immunohistochemistry: 1:25-1:100
Reactivity
Human
Immunogen
Full length fusion protein
Host
Rabbit
Clonality
Polyclonal
Conjugate

Unconjugated

Predicted MW
24kd
Formulation
Supplied in phosphate-buffered saline (without Mg²? and Ca²?), pH 7.3, containing 150 mM NaCl, 0.05% sodium azide, and 50% glycerol.
Storage
Shipped at 4°C. Upon delivery aliquot and store at -20°C. Avoid freeze/thaw cycles.
Synonyms
HsMAD2, MAD2, MAD2-like protein 1, Mitotic arrest deficient 2-like protein 1, Mitotic spindle assembly checkpoint protein MAD2A
Disclaimer
This product is for research use only. It is not intended for diagnostic or therapeutic use.
Publishing research using Anti-MAD2L1 Antibody (A47675)? Please let us know so that we can list the citation on this page.

Alternative products to Anti-MAD2L1 Antibody (A47675)

Proteins predicted to interact with MAD2L1

Predicted protein interactions based upon String database. Revelancy score correlates with probability of interaction.
99.9% Relevancy Score
99.9% Relevancy Score
99.9% Relevancy Score
99.9% Relevancy Score
99.9% Relevancy Score
99.9% Relevancy Score
99.9% Relevancy Score
99.9% Relevancy Score
99.9% Relevancy Score