Western Blot - Anti-Mad2L2/REV7 Antibody [ARC1126] (A305858)
Western blot analysis of extracts of various cell lines, using Anti-Mad2L2/REV7 Antibody [ARC1126] (A305858) at 1:1,000 dilution. The secondary antibody was Goat Anti-Rabbit IgG H&L Antibody (HRP) at 1:10,000 dilution. Lysates/proteins were present at 25µg per lane. The blocking buffer used was 3% non-fat dry milk in TBST. Detection was with a ECL Basic Kit. Exposure time: 90s.
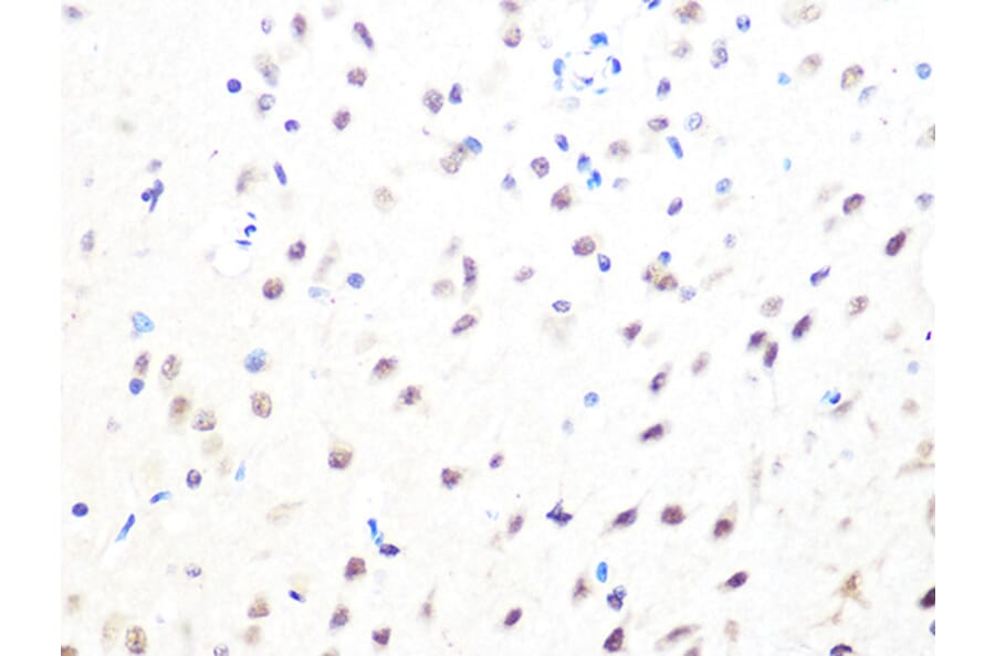
Immunohistochemistry analysis of paraffin-embedded rat brain using Anti-Mad2L2/REV7 Antibody [ARC1126] (A305858) at a dilution of 1:100 (40x lens). Perform microwave antigen retrieval with 10 mM PBS buffer pH 7.2 before commencing with IHC staining protocol.
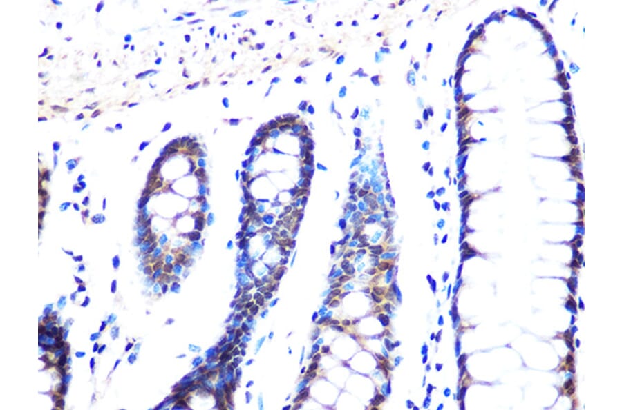
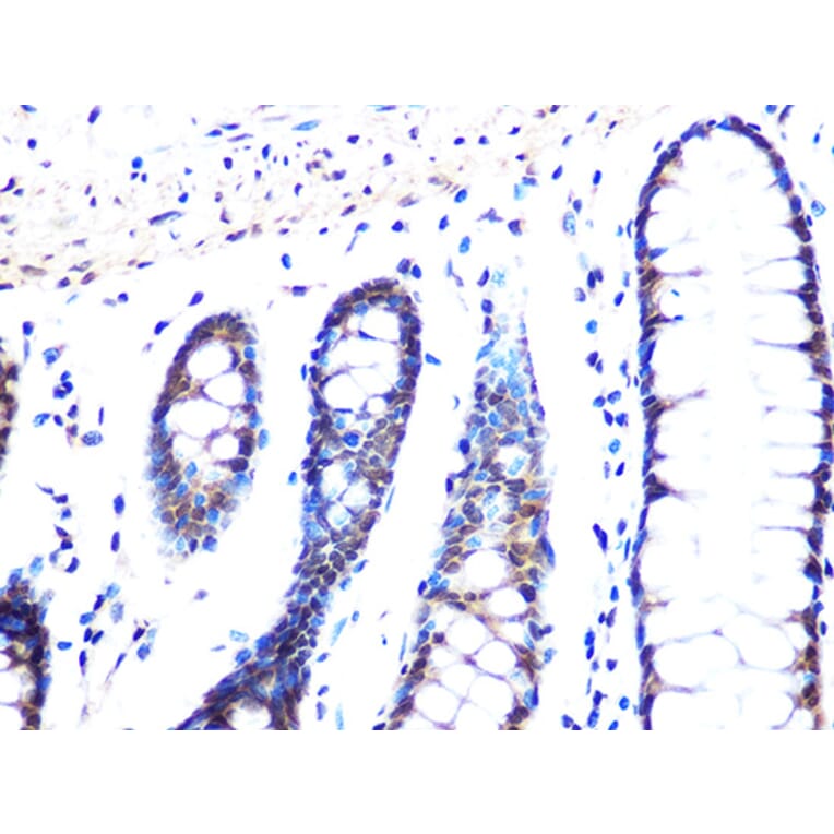
Immunohistochemistry analysis of paraffin-embedded human colon tissue using Anti-Mad2L2/REV7 Antibody [ARC1126] (A305858) at a dilution of 1:100 (40x lens). Perform microwave antigen retrieval with 10 mM PBS buffer pH 7.2 before commencing with IHC staining protocol.
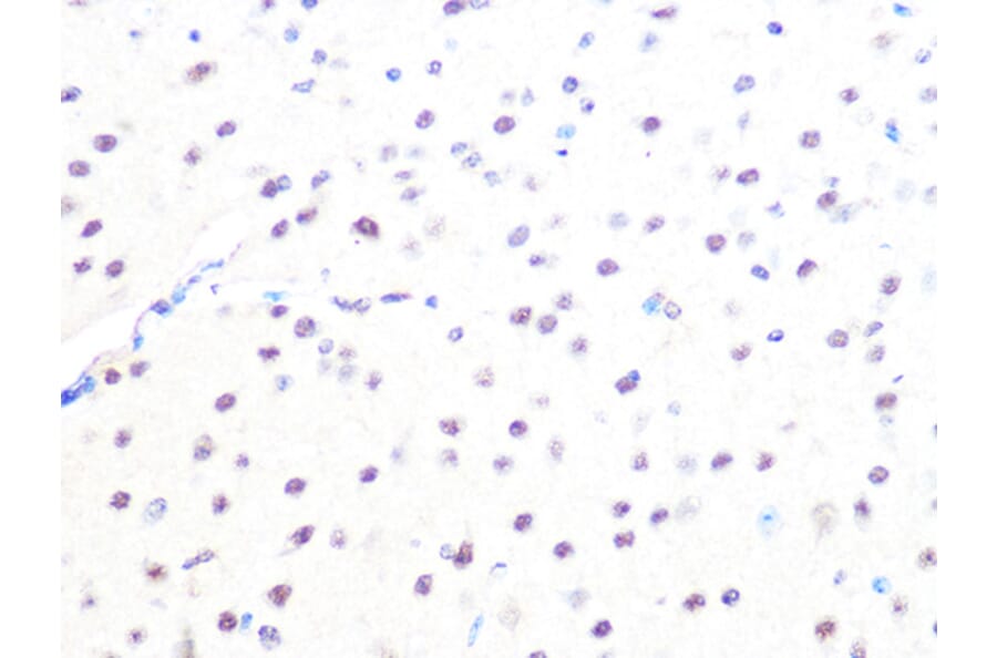
Immunohistochemistry analysis of paraffin-embedded mouse brain using Anti-Mad2L2/REV7 Antibody [ARC1126] (A305858) at a dilution of 1:100 (40x lens). Perform microwave antigen retrieval with 10 mM PBS buffer pH 7.2 before commencing with IHC staining protocol.
Immunofluorescence analysis of C6 cells using Anti-Mad2L2/REV7 Antibody [ARC1126] (A305858) at a dilution of 1:100 (40x lens). DAPI was used to stain the cell nuclei (blue).
Immunofluorescence analysis of NIH-3T3 cells using Anti-Mad2L2/REV7 Antibody [ARC1126] (A305858) at a dilution of 1:100 (40x lens). DAPI was used to stain the cell nuclei (blue).