Western Blot - Anti-MADH7 / SMAD7 Antibody (A91556)
Western blot analysis of extracts of Mouse brain, using Anti-MADH7 / SMAD7 Antibody (A91556) at 1:1,000 dilution. The secondary antibody was Goat Anti-Rabbit IgG H&L Antibody (HRP) at 1:10,000 dilution. Lysates/proteins were present at 25µg per lane. The blocking buffer used was 3% non-fat dry milk in TBST. Detection was with a ECL Basic Kit. Exposure time: 30s.
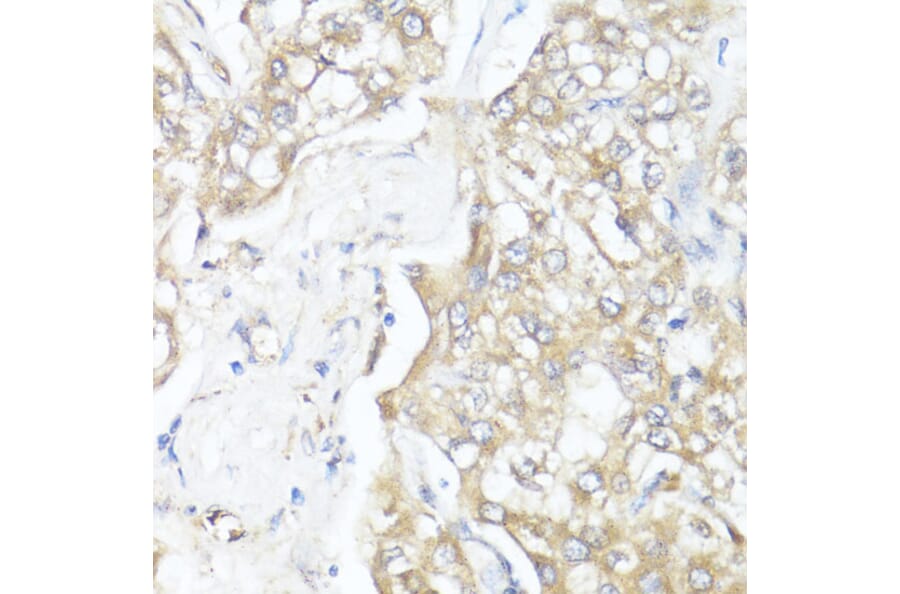
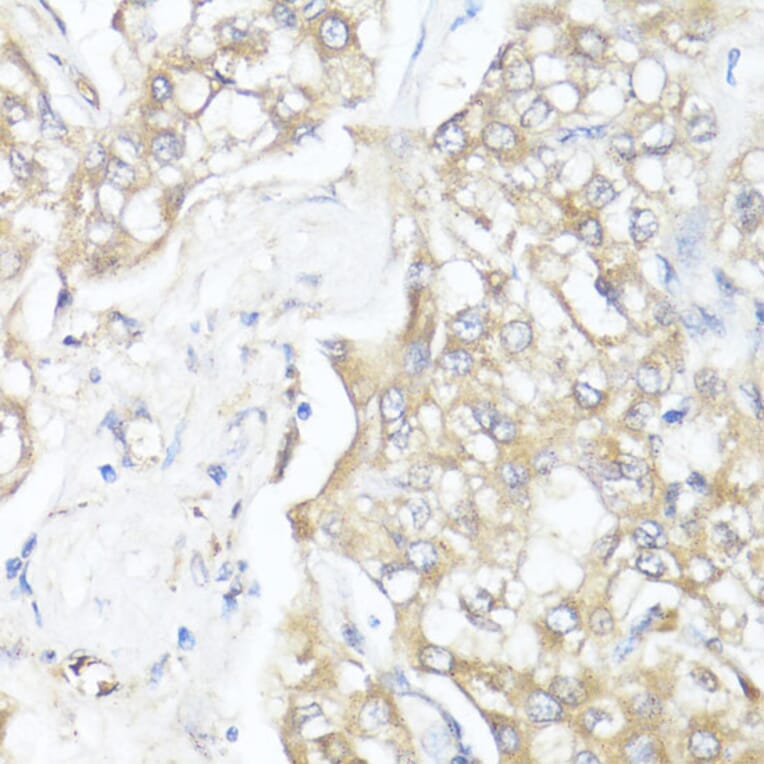
Immunohistochemistry analysis of paraffin-embedded human liver cancer using Anti-MADH7 / SMAD7 Antibody (A91556) at a dilution of 1:100 (40x lens). Perform microwave antigen retrieval with 10 mM PBS buffer pH 7.2 before commencing with IHC staining protocol.
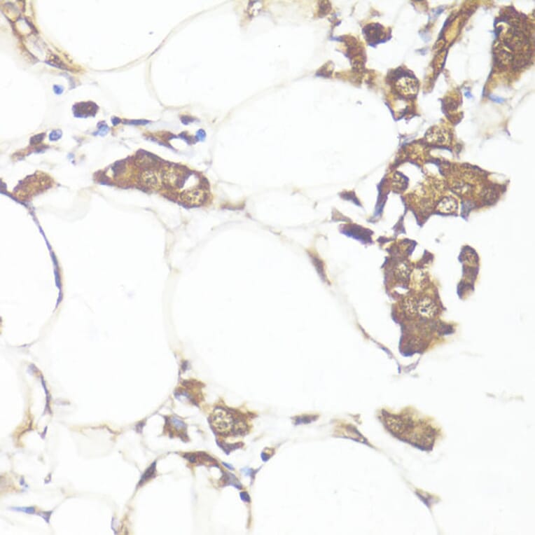
Immunohistochemistry analysis of paraffin-embedded human breast cancer tissue using Anti-MADH7 / SMAD7 Antibody (A91556) at a dilution of 1:100 (40x lens). Perform microwave antigen retrieval with 10 mM PBS buffer pH 7.2 before commencing with IHC staining protocol.
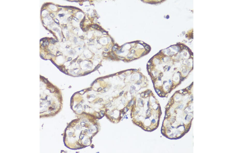
Immunohistochemistry analysis of paraffin-embedded human placenta using Anti-MADH7 / SMAD7 Antibody (A91556) at a dilution of 1:100 (40x lens). Perform microwave antigen retrieval with 10 mM PBS buffer pH 7.2 before commencing with IHC staining protocol.
Immunofluorescence analysis of C6 cells using Anti-MADH7 / SMAD7 Antibody (A91556) at a dilution of 1:100. DAPI was used to stain the cell nuclei (blue).