ISO 9001:2015 Certified
Live Customer Support
4.5/5 on Trustpilot
100% Quality Guarantee

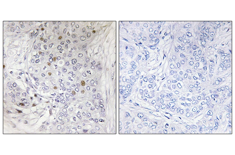
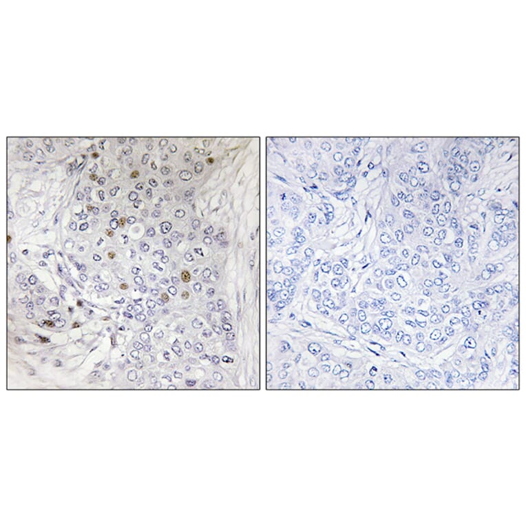
Anti-MAFF Antibody (A99210)

Rabbit polyclonal antibody to MAFF for IHC, IF and ELISA.

Shipping Information

$40
Dispatched from St. Louis, MO.
Lead Time: 6-8 business days.
Name
Anti-MAFF Antibody
Description
Rabbit polyclonal antibody to MAFF.
Applications
IHC, IF, ELISA
Dilutions
IHC: 1:50~1:100, ELISA: 1:10000
Reactivity
Human, Mouse
Cross Reactivity
No reported cross-reactivity.
Immunogen
Synthetic peptide derived from human MAFF (amino acids 51-100).
Host
Rabbit
Clonality
Polyclonal
Isotype
IgG
Conjugate

Unconjugated

Purification
Purified from rabbit serum by antigen affinity chromatography using the immunizing peptide.
Molecular Weight
17kDa
Product Form
Liquid
Formulation
Supplied in Phosphate Buffered Saline (without Mg2+ and Ca2+), pH 7.4, with 150mM NaCl, 0.02% Sodium Azide, and 50% Glycerol.
Storage
Shipped at 4°C. Upon delivery aliquot and store at -20°C. Avoid freeze / thaw cycles.
Synonyms
Transcription factor MafF, U-Maf, V-maf musculoaponeurotic fibrosarcoma oncogene homolog F
Disclaimer
This product is for research use only. It is not intended for diagnostic or therapeutic use.
Publishing research using Anti-MAFF Antibody (A99210)? Please let us know so that we can list the citation on this page.

Alternative products to Anti-MAFF Antibody (A99210)

Proteins predicted to interact with MAFF

Predicted protein interactions based upon String database. Revelancy score correlates with probability of interaction.
99.1% Relevancy Score
97.7% Relevancy Score
97.1% Relevancy Score
91.3% Relevancy Score
91% Relevancy Score
89.7% Relevancy Score
86.8% Relevancy Score
84.7% Relevancy Score