Primary Antibodies
Secondary Antibodies
Proteins & Peptides
ELISA Kits
About Us
Contact Us
Sign In/Register
0
ISO 9001:2015 Certified
Live Customer Support
4.5/5 on Trustpilot
100% Quality Guarantee
Home
Primary Antibodies
MAGEB10 Antibodies
Anti-MAGEB10 Antibody (A45139)
Anti-MAGEB10 Antibody (A45139)
Overview
Specifications
Images
Enlarge Image
Enlarge Image
$430
Product Datasheet
Rabbit polyclonal antibody to MAGEB10 for IHC.
100% Guarantee
Price Match Guarantee
Product Size:
100µl
Quantity:
1
2
3
4
5
6
7
8
9
10
Add To Cart
Request a Quotation
Custom or Bulk Request
Shipping Information
Freight/Packing Charges:
$40
Dispatched from St. Louis, MO.
Lead Time: 6-9 business days.
Specifications
Name
Anti-MAGEB10 Antibody
Description
Rabbit polyclonal antibody to MAGEB10
Specificity
The antibody detects endogenous levels of total MAGEB10 protein.
Applications
IHC
Reactivity
Human
Immunogen
Fusion protein corresponding to a region derived from internal residues of human melanoma antigen family B, 10
Host
Rabbit
Clonality
Polyclonal
Conjugate
Unconjugated
Purification
Antigen affinity purification.
Concentration
2.7 mg/mL
Formulation
Supplied in PBS, pH 7.3, containing 0.05% sodium azide and 50% glycerol.
Storage
Shipped at 4°C. Upon delivery aliquot and store at -20°C. Avoid freeze/thaw cycles.
Synonyms
MAGE-B10 antigen, Melanoma-associated antigen B10
Suitable Secondaries
Goat Anti-Rabbit IgG H&L Antibody (AP) (A294874)
Goat Anti-Rabbit IgG H&L Antibody (Biotin) (A294795)
Goat Anti-Rabbit IgG H&L Antibody (FITC) (A294887)
Goat Anti-Rabbit IgG H&L Antibody (HRP) (A294888)
See all Anti-Rabbit IgG Secondaries →
Disclaimer
This product is for research use only. It is not intended for diagnostic or therapeutic use.
Scientific Validation Data
Validation Data
(2)
Enlarge Image
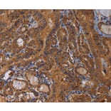
Immunohistochemistry - Anti-MAGEB10 Antibody (A45139)
Immunohistochemical analysis of paraffin-embedded Human thyroid cancer tissue using #36596 at dilution 1/60.
Enlarge Image
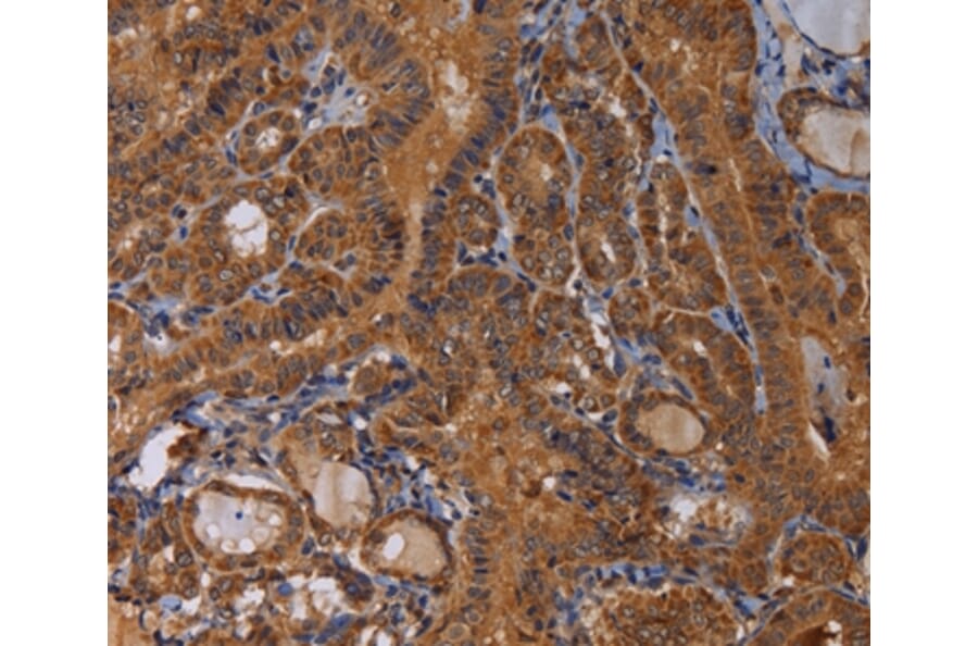
Immunohistochemistry - Anti-MAGEB10 Antibody (A45139)
Immunohistochemical analysis of paraffin-embedded Human brain tissue using #36596 at dilution 1/60.
Publishing research using Anti-MAGEB10 Antibody (A45139)? Please
let us know
so that we can list the citation on this page.
Proteins predicted to interact with MAGEB10
Predicted protein interactions based upon String database. Revelancy score correlates with probability of interaction.
MRFAP1L1 Antibodies
50.5% Relevancy Score
NSMCE1 Antibodies
49.2% Relevancy Score
KLF12 Antibodies
47.3% Relevancy Score
NeuroD2 Antibodies
46.5% Relevancy Score
MAGEC2 Antibodies
42.3% Relevancy Score
SPATA3 Antibodies
42.1% Relevancy Score
LYAR Antibodies
42% Relevancy Score
RPL12 Antibodies
42% Relevancy Score
MAGEB4 Antibodies
38.4% Relevancy Score
Top