Primary Antibodies
Secondary Antibodies
Proteins & Peptides
ELISA Kits
About Us
Contact Us
Sign In/Register
0
ISO 9001:2015 Certified
Live Customer Support
4.5/5 on Trustpilot
100% Quality Guarantee
Home
Primary Antibodies
MAGEB4 Antibodies
Anti-MAGEB4 Antibody (A37161)
Anti-MAGEB4 Antibody (A37161)
Overview
Specifications
Images
Enlarge Image
Enlarge Image
$430
Product Datasheet
Rabbit polyclonal antibody to MAGEB4 for WB and IHC.
100% Guarantee
Price Match Guarantee
Product Size:
100µl
Quantity:
1
2
3
4
5
6
7
8
9
10
Add To Cart
Request a Quotation
Custom or Bulk Request
Shipping Information
Freight/Packing Charges:
$40
Dispatched from St. Louis, MO.
Lead Time: 6-9 business days.
Specifications
Name
Anti-MAGEB4 Antibody
Description
Rabbit polyclonal antibody to MAGEB4
Specificity
The antibody detects endogenous levels of total MAGEB4 protein.
Applications
WB
,
IHC
Reactivity
Human
Immunogen
Full length fusion protein
Host
Rabbit
Clonality
Polyclonal
Conjugate
Unconjugated
Purification
Antigen affinity purification.
Concentration
1.1 mg/mL
Formulation
Supplied in PBS, pH 7.3, containing 0.05% sodium azide and 50% glycerol.
Storage
Shipped at 4°C. Upon delivery aliquot and store at -20°C. Avoid freeze/thaw cycles.
Synonyms
MAGE-B4 antigen, Melanoma-associated antigen B4
Suitable Secondaries
Goat Anti-Rabbit IgG H&L Antibody (AP) (A294874)
Goat Anti-Rabbit IgG H&L Antibody (Biotin) (A294795)
Goat Anti-Rabbit IgG H&L Antibody (FITC) (A294887)
Goat Anti-Rabbit IgG H&L Antibody (HRP) (A294888)
See all Anti-Rabbit IgG Secondaries →
Disclaimer
This product is for research use only. It is not intended for diagnostic or therapeutic use.
Scientific Validation Data
Validation Data
(2)
Enlarge Image
Anti-MAGEB4 Antibody (A37161)
Gel: 10% SDS-PAGE Lysates (from left to right): Human brain glioma tissue Amount of lysate: 40ug per lane Primary antibody: 1/550 dilution Secondary antibody dilution: 1/8000 Exposure time: 2 minutes
Enlarge Image
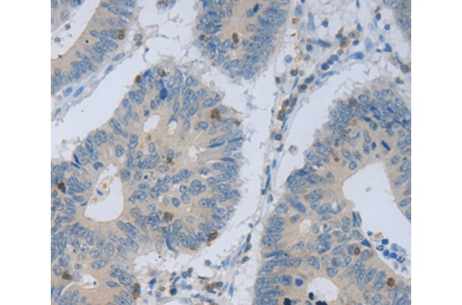
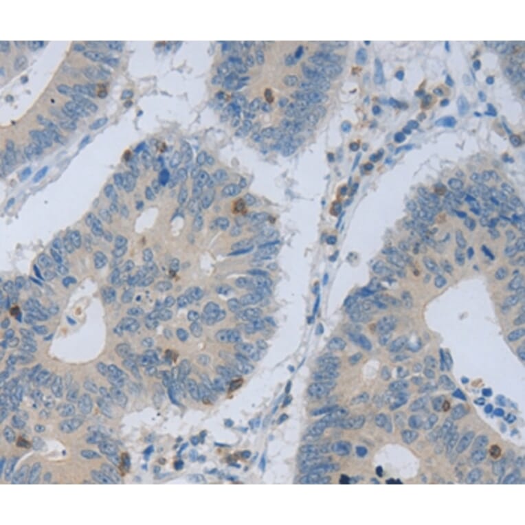
Immunohistochemistry - Anti-MAGEB4 Antibody (A37161)
Immunohistochemical analysis of paraffin-embedded Human colon cancer tissue using #35808 at dilution 1/40.
Publishing research using Anti-MAGEB4 Antibody (A37161)? Please
let us know
so that we can list the citation on this page.
Proteins predicted to interact with MAGEB4
Predicted protein interactions based upon String database. Revelancy score correlates with probability of interaction.
ROCK1 Antibodies
59.1% Relevancy Score
MAGEA1 Antibodies
49.9% Relevancy Score
DAX1 Antibodies
48.1% Relevancy Score
SYCE1 Antibodies
42.4% Relevancy Score
ACTL7A Antibodies
42.1% Relevancy Score
NSMCE1 Antibodies
40.5% Relevancy Score
SPT19 Antibodies
39.5% Relevancy Score
TDRD9 Antibodies
39% Relevancy Score
MAGEB10 Antibodies
38.4% Relevancy Score
Top