Primary Antibodies
Secondary Antibodies
Proteins & Peptides
ELISA Kits
About Us
Contact Us
Sign In/Register
0
ISO 9001:2015 Certified
Live Customer Support
4.5/5 on Trustpilot
100% Quality Guarantee
Home
Primary Antibodies
MAK10 Antibodies
Anti-MAK10 Antibody (A48008)
Anti-MAK10 Antibody (A48008)
Overview
Specifications
Images
Enlarge Image
Enlarge Image
$780
Product Datasheet
Rabbit polyclonal antibody to MAK10 for ELISA, WB and IHC.
100% Guarantee
Price Match Guarantee
Product Size:
100µl
Quantity:
1
2
3
4
5
6
7
8
9
10
Add To Cart
Request a Quotation
Custom or Bulk Request
Shipping Information
Freight/Packing Charges:
$40
Dispatched from St. Louis, MO.
Lead Time: 6-9 business days.
Specifications
Name
Anti-MAK10 Antibody
Description
Rabbit polyclonal antibody to MAK10
Applications
ELISA
,
WB
,
IHC
Reactivity
Human, Mouse, Rat
Immunogen
Raised against a 14 amino acid peptide near the center of human MAK10.
Host
Rabbit
Clonality
Polyclonal
Conjugate
Unconjugated
Purification
Affinity chromatography purified via peptide column
Formulation
Supplied in phosphate-buffered saline with 0.02% Sodium Azide.
Storage
Shipped at 4°C. Upon delivery aliquot and store at -20°C. Avoid freeze/thaw cycles.
Synonyms
EGAP, Embryonic growth-associated protein homolog, N-alpha-acetyltransferase 35, NatC auxiliary subunit, NAA35, Protein MAK10 homolog
Suitable Secondaries
Goat Anti-Rabbit IgG H&L Antibody (AP) (A294874)
Goat Anti-Rabbit IgG H&L Antibody (Biotin) (A294795)
Goat Anti-Rabbit IgG H&L Antibody (FITC) (A294887)
Goat Anti-Rabbit IgG H&L Antibody (HRP) (A294888)
See all Anti-Rabbit IgG Secondaries →
Disclaimer
This product is for research use only. It is not intended for diagnostic or therapeutic use.
Scientific Validation Data
Validation Data
(2)
Enlarge Image
Anti-MAK10 Antibody (A48008)
Western blot analysis of MAK10 in mouse heart tissue lysate with MAK10 antibody at (A) 1 and (B) 2 µg/mL.
Enlarge Image
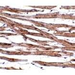
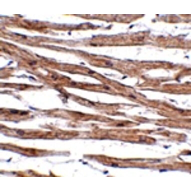
Immunohistochemistry - Anti-MAK10 Antibody (A48008)
Immunohistochemistry of MAK10 in human heart tissue with MAK10 antibody at 5 µg/mL.
Publishing research using Anti-MAK10 Antibody (A48008)? Please
let us know
so that we can list the citation on this page.
Alternative products to Anti-MAK10 Antibody (A48008)
(2)
A48007
Anti-MAK10 Antibody
Rabbit polyclonal antibody to MAK10 for ELISA, WB and IHC.
(2)
A48007
Anti-MAK10 Antibody
Rabbit polyclonal antibody to MAK10 for ELISA, WB and IHC.
Proteins predicted to interact with MAK10
Predicted protein interactions based upon String database. Revelancy score correlates with probability of interaction.
NARG1 Antibodies
97.9% Relevancy Score
ARD1A Antibodies
97.6% Relevancy Score
NAP1 Antibodies
93.8% Relevancy Score
NAT5 Antibodies
93.1% Relevancy Score
NAT13 Antibodies
92.1% Relevancy Score
SNRPE Antibodies
88.2% Relevancy Score
NAT8L Antibodies
80.9% Relevancy Score
NAT8 Antibodies
80.9% Relevancy Score
NAA40 Antibodies
72.9% Relevancy Score
Top