ISO 9001:2015 Certified
Live Customer Support
4.5/5 on Trustpilot
100% Quality Guarantee

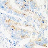
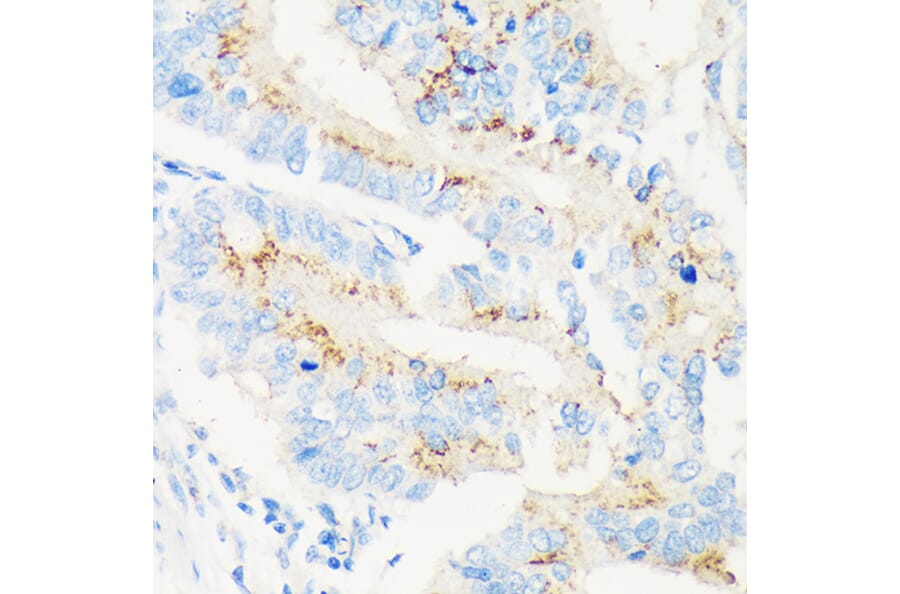
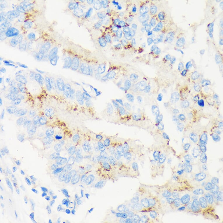
Anti-MAN1A2 Antibody (A91277)

Rabbit polyclonal antibody to MAN1A2 for WB and IHC.

Shipping Information

$40
Dispatched from St. Louis, MO.
Lead Time: 7-10 business days.
Name
Anti-MAN1A2 Antibody
Description
Rabbit polyclonal antibody to MAN1A2.
Applications
WB, IHC
Dilutions
WB: 1:500-1:2,000, IHC: 1:50-1:200
Reactivity
Human, Mouse
Immunogen
Recombinant fusion protein containing a sequence corresponding to amino acids 60-180 of human MAN1A2 (NP_006690.1).
Sequence
SSKHKRFDLGLEDVLIPHVDAGKGAKNPGVFLIHGPDEHRHREEEERLRNKIRADHEKALEEAKEKLRKSREEIRAEIQTEKNKVVQEMKIKENKPLPPVPIPNLVGIRGGDPEDNDIREK
Host
Rabbit
Clonality
Polyclonal
Isotype
IgG
Conjugate

Unconjugated

Purification
Affinity purification.
Concentration
Lot Specific
Molecular Weight
73 kDa
Product Form
Liquid
Formulation
Supplied in Phosphate Buffered Saline, pH 7.3, with 50% Glycerol and 0.01% Thiomersal.
Storage
Shipped at 4°C. Upon delivery aliquot and store at -20°C. Avoid freeze/thaw cycles.
Synonyms
Alpha-1,2-mannosidase IB, MAN1B, Mannosidase alpha class 1A member 2, Mannosyl-oligosaccharide 1,2-alpha-mannosidase IB, Processing alpha-1,2-mannosidase IB
Disclaimer
This product is for research use only. It is not intended for diagnostic or therapeutic use.
Publishing research using Anti-MAN1A2 Antibody (A91277)? Please let us know so that we can list the citation on this page.

Proteins predicted to interact with MAN1A2

Predicted protein interactions based upon String database. Revelancy score correlates with probability of interaction.
95% Relevancy Score
94.4% Relevancy Score
90.6% Relevancy Score
63.3% Relevancy Score
61.8% Relevancy Score
58% Relevancy Score
57.8% Relevancy Score
56.8% Relevancy Score
54.6% Relevancy Score