Western Blot - Anti-Mannan Binding Lectin/MBL Antibody (A15000)
Western blot analysis of Mouse serum, using Anti-Mannan Binding Lectin/MBL Antibody (A15000) at 1:500 dilution. The secondary antibody was Goat Anti-Rabbit IgG H&L Antibody (HRP) at 1:10,000 dilution. Lysates/proteins were present at 25µg per lane. The blocking buffer used was 3% non-fat dry milk in TBST. Detection was with a ECL Basic Kit. Exposure time: 180s.
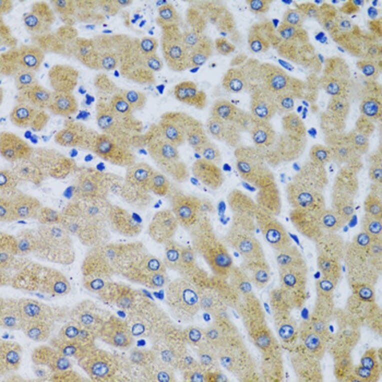
Immunohistochemistry analysis of paraffin-embedded human liver using Anti-Mannan Binding Lectin/MBL Antibody (A15000) at a dilution of 1:100 (40x lens). Perform microwave antigen retrieval with 10 mM PBS buffer pH 7.2 before commencing with IHC staining protocol
Immunohistochemistry analysis of paraffin-embedded human esophageal cancer using Anti-Mannan Binding Lectin/MBL Antibody (A15000) at a dilution of 1:100 (40x lens). Perform microwave antigen retrieval with 10 mM PBS buffer pH 7.2 before commencing with IHC staining protocol
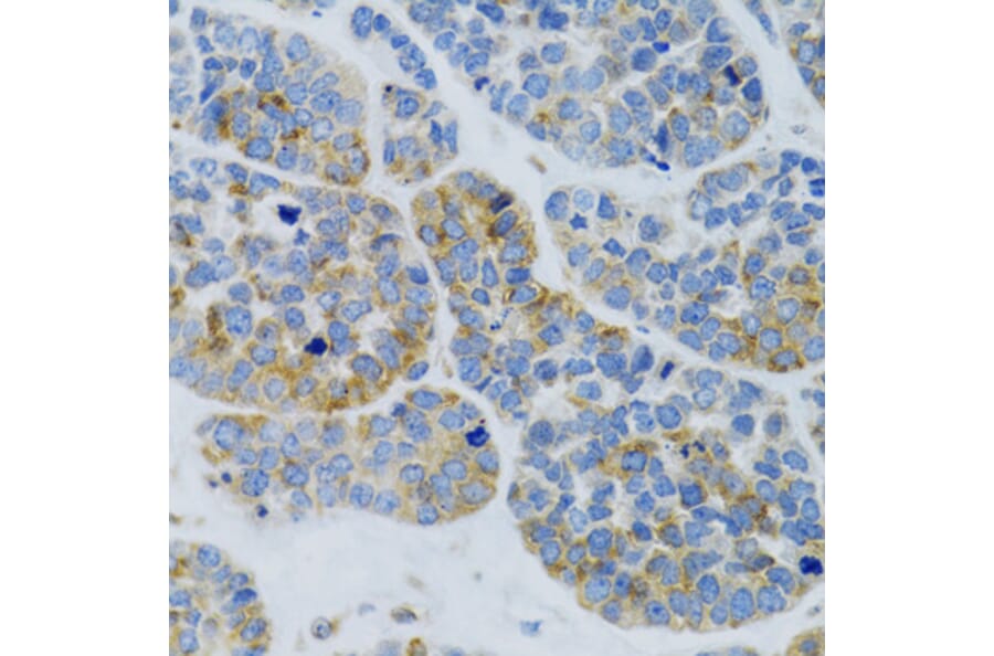
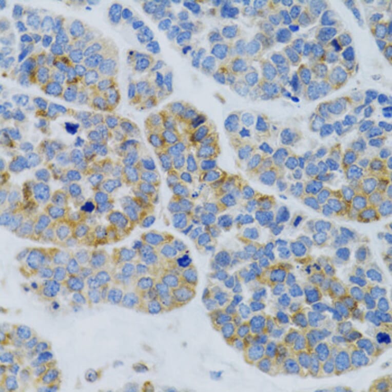
Immunohistochemistry analysis of paraffin-embedded human gastric carcinoma using Anti-Mannan Binding Lectin/MBL Antibody (A15000) at a dilution of 1:100 (40x lens). Perform microwave antigen retrieval with 10 mM PBS buffer pH 7.2 before commencing with IHC staining protocol
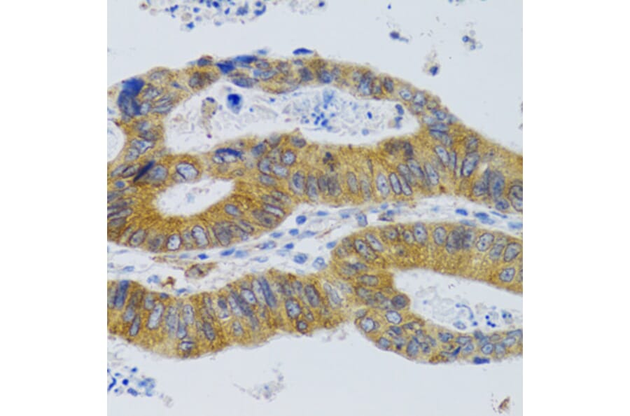
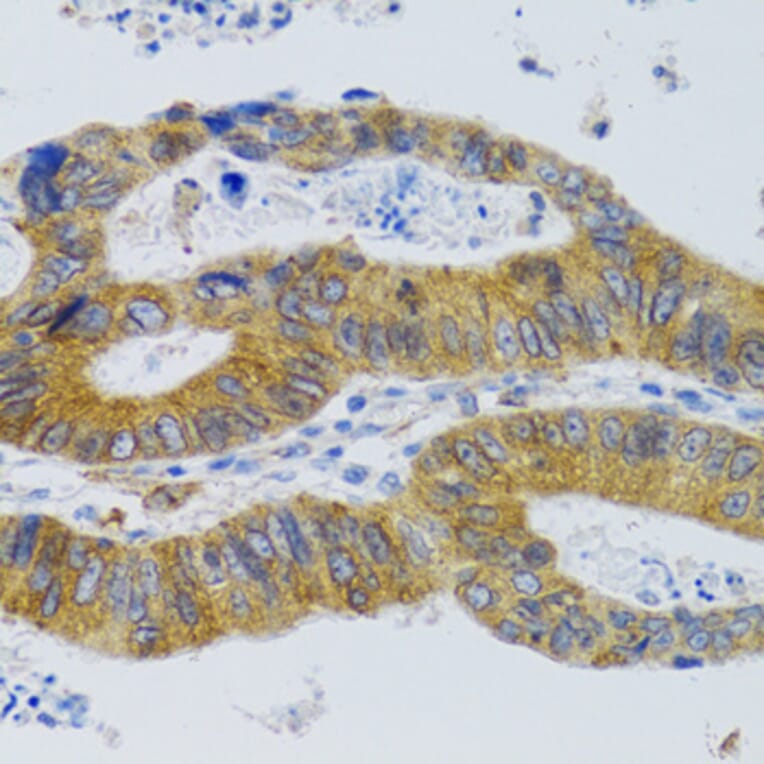
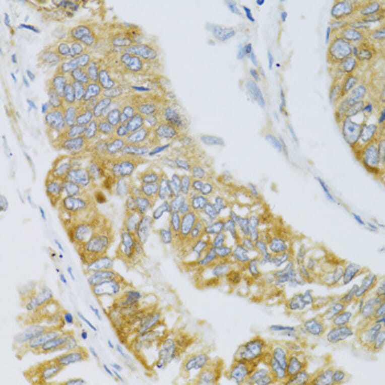
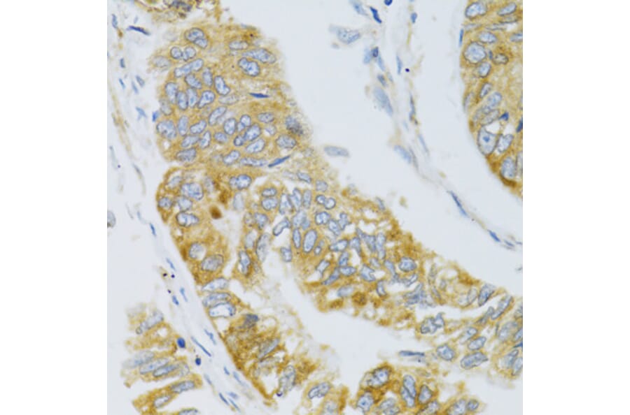
Immunohistochemistry analysis of paraffin-embedded human colorectal cancer using Anti-Mannan Binding Lectin/MBL Antibody (A15000) at a dilution of 1:100 (40x lens). Perform microwave antigen retrieval with 10 mM PBS buffer pH 7.2 before commencing with IHC staining protocol