Primary Antibodies
Secondary Antibodies
Proteins & Peptides
ELISA Kits
About Us
Contact Us
Sign In/Register
0
ISO 9001:2015 Certified
Live Customer Support
4.5/5 on Trustpilot
100% Quality Guarantee
Home
Primary Antibodies
MAP1A Antibodies
Anti-MAP1A Antibody (A46161)
Anti-MAP1A Antibody (A46161)
Overview
Specifications
Images
Enlarge Image
Enlarge Image
$430
Product Datasheet
Rabbit polyclonal antibody to MAP1A for IHC.
100% Guarantee
Price Match Guarantee
Product Size:
100µl
Quantity:
1
2
3
4
5
6
7
8
9
10
Add To Cart
Request a Quotation
Custom or Bulk Request
Shipping Information
Freight/Packing Charges:
$40
Dispatched from St. Louis, MO.
Lead Time: 6-9 business days.
Specifications
Name
Anti-MAP1A Antibody
Description
Rabbit polyclonal antibody to MAP1A
Specificity
The antibody detects endogenous levels of total MAP1A protein.
Applications
IHC
Reactivity
Human
Immunogen
Synthetic peptide corresponding to a region derived from internal residues of human microtubule-associated protein 1A
Host
Rabbit
Clonality
Polyclonal
Conjugate
Unconjugated
Purification
Antigen affinity purification.
Concentration
1.5 mg/mL
Formulation
Supplied in PBS, pH 7.3, containing 0.05% sodium azide and 50% glycerol.
Storage
Shipped at 4°C. Upon delivery aliquot and store at -20°C. Avoid freeze/thaw cycles.
Synonyms
MAP-1A, MAP1L, Microtubule-associated protein 1A, Proliferation-related protein p80
Suitable Secondaries
Goat Anti-Rabbit IgG H&L Antibody (AP) (A294874)
Goat Anti-Rabbit IgG H&L Antibody (Biotin) (A294795)
Goat Anti-Rabbit IgG H&L Antibody (FITC) (A294887)
Goat Anti-Rabbit IgG H&L Antibody (HRP) (A294888)
See all Anti-Rabbit IgG Secondaries →
Disclaimer
This product is for research use only. It is not intended for diagnostic or therapeutic use.
Scientific Validation Data
Validation Data
(2)
Enlarge Image
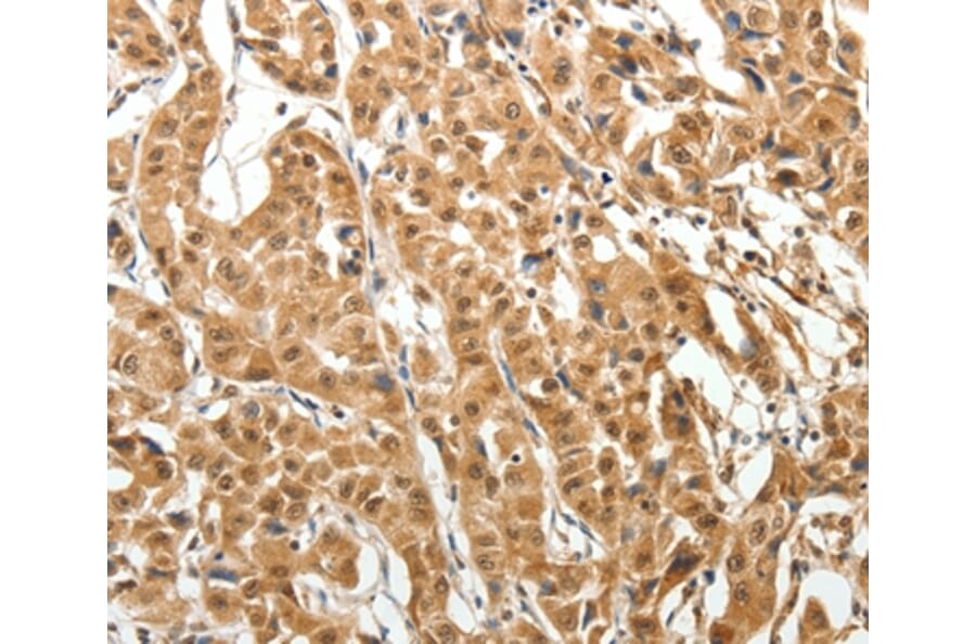
Immunohistochemistry - Anti-MAP1A Antibody (A46161)
Immunohistochemical analysis of paraffin-embedded Human thyroid cancer tissue using #37265 at dilution 1/40.
Enlarge Image
Immunohistochemistry - Anti-MAP1A Antibody (A46161)
Immunohistochemical analysis of paraffin-embedded Human lung cancer tissue using #37265 at dilution 1/40.
Publishing research using Anti-MAP1A Antibody (A46161)? Please
let us know
so that we can list the citation on this page.
Proteins predicted to interact with MAP1A
Predicted protein interactions based upon String database. Revelancy score correlates with probability of interaction.
SQSTM1 Antibodies
99.4% Relevancy Score
PSD95 Antibodies
97.9% Relevancy Score
LC3B Antibodies
96.8% Relevancy Score
Beclin 1 Antibodies
94.6% Relevancy Score
BNIP3L Antibodies
94% Relevancy Score
FUNDC1 Antibodies
93.6% Relevancy Score
BNIP3 Antibodies
93.5% Relevancy Score
ATG12 Antibodies
92.8% Relevancy Score
GABARAPL1 Antibodies
92.6% Relevancy Score
Top