Primary Antibodies
Secondary Antibodies
Proteins & Peptides
ELISA Kits
About Us
Contact Us
Sign In/Register
0
ISO 9001:2015 Certified
Live Customer Support
4.5/5 on Trustpilot
100% Quality Guarantee
Home
Primary Antibodies
MAP1B Antibodies
Anti-MAP1B Antibody (A45532)
Anti-MAP1B Antibody (A45532)
Overview
Specifications
Images
Enlarge Image
Enlarge Image
$430
Rabbit polyclonal antibody to MAP1B for IHC.
100% Guarantee
Price Match Guarantee
Product Size:
100µl
Quantity:
1
2
3
4
5
6
7
8
9
10
Add To Cart
Request a Quotation
Custom or Bulk Request
Shipping Information
Freight/Packing Charges:
$40
Dispatched from St. Louis, MO.
Lead Time: 6-9 business days.
Specifications
Name
Anti-MAP1B Antibody
Description
Rabbit polyclonal antibody to MAP1B
Specificity
The antibody detects endogenous levels of total MAP1B protein.
Applications
IHC
Reactivity
Human
Immunogen
Synthetic peptide corresponding to a region derived from internal residues of human microtubule-associated protein 1B
Host
Rabbit
Clonality
Polyclonal
Conjugate
Unconjugated
Purification
Antigen affinity purification.
Concentration
2.2 mg/ml
Formulation
Rabbit IgG in pH7.3 PBS, 0.05% NaN3, 50% Glycerol.
Storage
Store at -20˚C
Synonyms
MAP-1B, Microtubule-associated protein 1B
Suitable Secondaries
Goat Anti-Rabbit IgG H&L Antibody (AP) (A294874)
Goat Anti-Rabbit IgG H&L Antibody (Biotin) (A294795)
Goat Anti-Rabbit IgG H&L Antibody (FITC) (A294887)
Goat Anti-Rabbit IgG H&L Antibody (HRP) (A294888)
See all Anti-Rabbit IgG Secondaries →
Disclaimer
This product is for research use only. It is not intended for diagnostic or therapeutic use.
Scientific Validation Data
Validation Data
(2)
Enlarge Image
Immunohistochemistry - Anti-MAP1B Antibody (A45532)
Immunohistochemical analysis of paraffin-embedded Human brain tissue using #37266 at dilution 1/60.
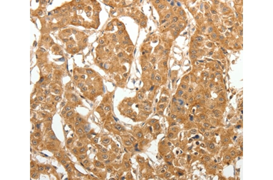
Enlarge Image
Immunohistochemistry - Anti-MAP1B Antibody (A45532)
Immunohistochemical analysis of paraffin-embedded Human lung cancer tissue using #37266 at dilution 1/60.
Publishing research using Anti-MAP1B Antibody (A45532)? Please
let us know
so that we can list the citation on this page.
Alternative products to Anti-MAP1B Antibody (A45532)
(4)
A14425
Anti-MAP1B Antibody
Rabbit polyclonal antibody to MAP1B for WB, IHC and ICC/IF.
(4)
A14425
Anti-MAP1B Antibody
Rabbit polyclonal antibody to MAP1B for WB, IHC and ICC/IF.
Proteins predicted to interact with MAP1B
Predicted protein interactions based upon String database. Revelancy score correlates with probability of interaction.
LC3B Antibodies
97.1% Relevancy Score
SQSTM1 Antibodies
97% Relevancy Score
FMRP Antibodies
95.7% Relevancy Score
ATG12 Antibodies
92.5% Relevancy Score
Beclin 1 Antibodies
92.4% Relevancy Score
LC3A Antibodies
91.4% Relevancy Score
GABARAPL2 Antibodies
90.5% Relevancy Score
GABARAPL1 Antibodies
90.3% Relevancy Score
DNAL1 Antibodies
87.2% Relevancy Score
Top