ISO 9001:2015 Certified
Live Customer Support
4.5/5 on Trustpilot
100% Quality Guarantee

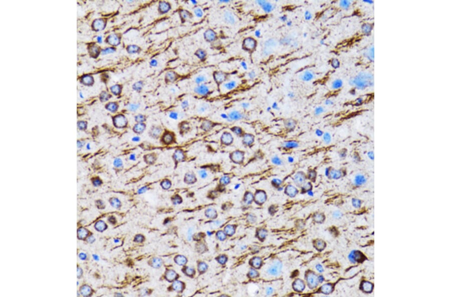
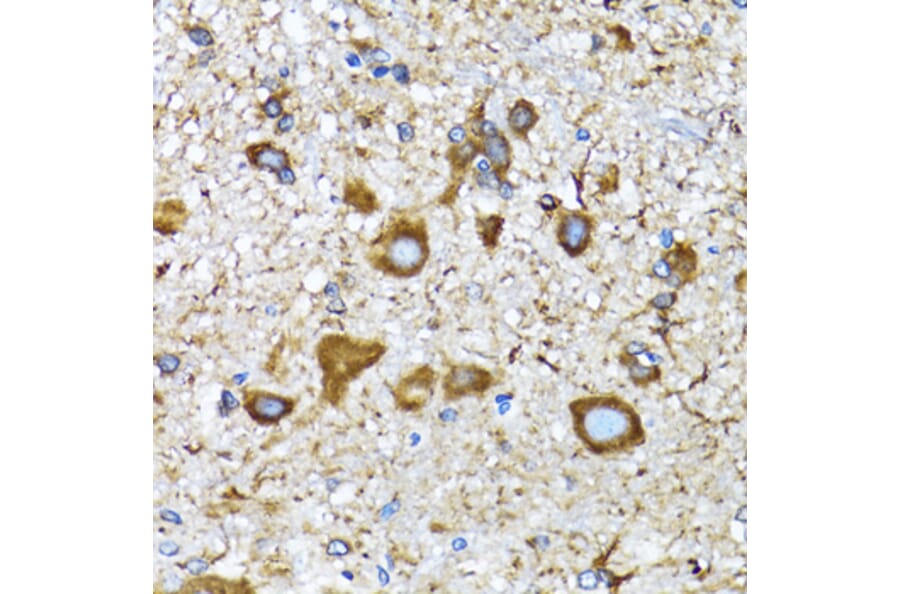
Anti-MAP1LC3A Antibody (A80492)

Rabbit polyclonal antibody to MAP1LC3A for WB and IHC.

Shipping Information

$40
Dispatched from St. Louis, MO.
Lead Time: 7-10 business days.
Name
Anti-MAP1LC3A Antibody
Description
Rabbit polyclonal antibody to MAP1LC3A.
Applications
WB, IHC
Dilutions
WB: 1:500-1:2,000, IHC: 1:50-1:200
Reactivity
Mouse, Rat
Immunogen
A synthetic peptide corresponding to a sequence within amino acids 1-100 of human MAP1LC3A (NP_115903.1).
Sequence
MPSDRPFKQRRSFADRCKEVQQIRDQHPSKIPVIIERYKGEKQLPVLDKTKFLVPDHVNMSELVKIIRRRLQLNPTQAFFLLVNQHSMVSVSTPIADIYE
Host
Rabbit
Clonality
Polyclonal
Isotype
IgG
Conjugate

Unconjugated

Purification
Affinity purification.
Concentration
Lot Specific
Molecular Weight
18 kDa
Product Form
Liquid
Formulation
Supplied in Phosphate Buffered Saline, pH 7.3, with 50% Glycerol and 0.02% Sodium Azide.
Storage
Shipped at 4°C. Upon delivery aliquot and store at -20°C. Avoid freeze/thaw cycles.
Synonyms
Autophagy-related protein LC3 A, Autophagy-related ubiquitin-like modifier LC3 A, MAP1 light chain 3-like protein 1, MAP1A/MAP1B LC3 A, MAP1A/MAP1B light chain 3 A, Microtubule-associated protein 1 light chain 3 alpha, Microtubule-associated proteins 1A/1B light chain 3A
Disclaimer
This product is for research use only. It is not intended for diagnostic or therapeutic use.
Publishing research using Anti-MAP1LC3A Antibody (A80492)? Please let us know so that we can list the citation on this page.

Alternative products to Anti-MAP1LC3A Antibody (A80492)

Proteins predicted to interact with LC3A

Predicted protein interactions based upon String database. Revelancy score correlates with probability of interaction.
99.9% Relevancy Score
99.8% Relevancy Score
99.7% Relevancy Score
99.3% Relevancy Score
98.9% Relevancy Score
98.7% Relevancy Score
98% Relevancy Score
97.7% Relevancy Score
97% Relevancy Score