Primary Antibodies
Secondary Antibodies
Proteins & Peptides
ELISA Kits
About Us
Contact Us
Sign In/Register
0
ISO 9001:2015 Certified
Live Customer Support
4.5/5 on Trustpilot
100% Quality Guarantee
Home
Primary Antibodies
MEK1 Antibodies
Anti-MAP2K1 Antibody (A37004)
Anti-MAP2K1 Antibody (A37004)
Overview
Specifications
Images
Enlarge Image
Enlarge Image
Enlarge Image
$415
Product Datasheet
Rabbit polyclonal antibody to MAP2K1 for WB and ICC/IF.
100% Guarantee
Price Match Guarantee
Product Size:
50µl
100µl
Quantity:
1
2
3
4
5
6
7
8
9
10
Add To Cart
Request a Quotation
Custom or Bulk Request
Shipping Information
Freight/Packing Charges:
$40
Dispatched from St. Louis, MO.
Lead Time: 6-9 business days.
Specifications
Name
Anti-MAP2K1 Antibody
Description
Rabbit polyclonal antibody to MAP2K1
Specificity
The antibody detects endogenous level of total MAP2K1 protein.
Applications
WB
,
ICC/IF
Reactivity
Human, Mouse, Rat
Immunogen
A synthetic peptide of human MAP2K1.
Host
Rabbit
Clonality
Polyclonal
Conjugate
Unconjugated
Purification
Antibodies were purified by affinity purification using immunogen.
Concentration
1.0 mg/mL
Formulation
Supplied in phosphate-buffered saline (without Mg²? and Ca²?), pH 7.4, containing 150 mM NaCl, 0.02% sodium azide, and 50% glycerol.
Storage
Shipped at 4°C. Upon delivery aliquot and store at -20°C. Avoid freeze/thaw cycles.
Synonyms
Dual specificity mitogen-activated protein kinase kinase 1, ERK activator kinase 1, MAP kinase kinase 1, MAPK/ERK kinase 1, MAPKK 1, MEK 1, MKK1, PRKMK1
Suitable Secondaries
Goat Anti-Rabbit IgG H&L Antibody (AP) (A294874)
Goat Anti-Rabbit IgG H&L Antibody (Biotin) (A294795)
Goat Anti-Rabbit IgG H&L Antibody (FITC) (A294887)
Goat Anti-Rabbit IgG H&L Antibody (HRP) (A294888)
See all Anti-Rabbit IgG Secondaries →
Disclaimer
This product is for research use only. It is not intended for diagnostic or therapeutic use.
Scientific Validation Data
Validation Data
(3)
Enlarge Image
Anti-MAP2K1 Antibody (A37004)
Western blot analysis of extracts of various mouse tissues, using MAP2K1 antibody.
Enlarge Image
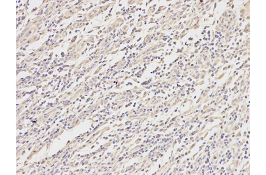
Immunohistochemistry - Anti-MAP2K1 Antibody (A37004)
Immunohistochemical analysis of paraffin-embedded human rectal cancer using MAP2K1 antibody at dilution of 1: 200 (200x lens).
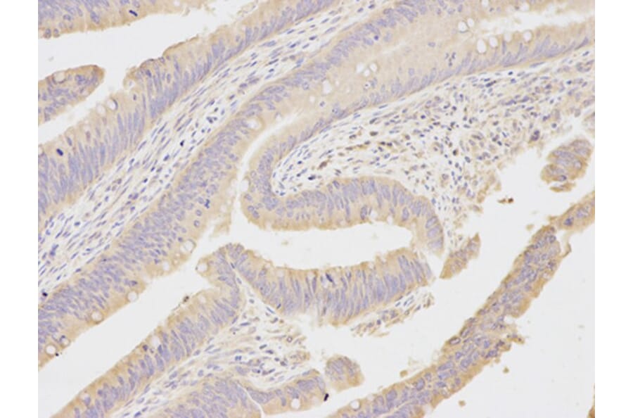
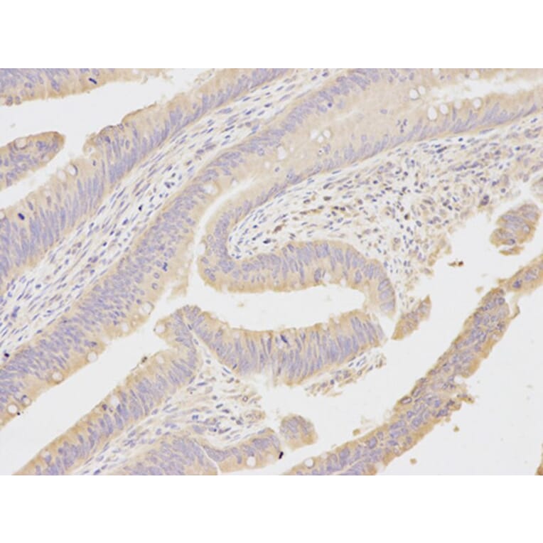
Enlarge Image
Immunohistochemistry - Anti-MAP2K1 Antibody (A37004)
Immunohistochemical analysis of paraffin-embedded human stomach cancer using MAP2K1 antibody at dilution of 1: 200 (200x lens).
Publishing research using Anti-MAP2K1 Antibody (A37004)? Please
let us know
so that we can list the citation on this page.
Alternative products to Anti-MAP2K1 Antibody (A37004)
(3)
A307613
Anti-MEK1 Antibody [ARC0044]
Rabbit monoclonal [ARC0044] antibody to MEK1 for WB, ICC/IF and IP.
(2)
A27687
Anti-MEK1/2 (phospho-S218/222) Antibody
Rabbit polyclonal antibody to MEK1/2 (phospho-S218/222) for WB and IHC.
(3)
A94046
Anti-MEK1 (phospho Thr291) Antibody
Rabbit polyclonal antibody to MEK1 (phospho Thr291) for WB, IHC, IF and ELISA.
(4)
A50192
Anti-MEK1 (Phospho-Ser221) Antibody
Rabbit polyclonal antibody to MEK1 (Phospho-Ser221) for WB, IHC and ICC/IF.
(3)
A96160
Anti-MEK1 Antibody
Rabbit polyclonal antibody to MEK1 for WB, IHC, IF and ELISA.
(2)
A94047
Anti-MEK1 (phospho Ser298) Antibody
Rabbit polyclonal antibody to MEK1 (phospho Ser298) for WB, IHC, IF and ELISA.
(2)
A94432
Anti-MEK1 (phospho Thr286) Antibody
Rabbit polyclonal antibody to MEK1 (phospho Thr286) for WB, IHC, IF and ELISA.
(2)
A54566
Anti-MAP2K1 Antibody
Chicken polyclonal antibody to MAP2K1 for ELISA, IHC, IP and WB.
(3)
A34575
Anti-MEK1 / MEK2 (Ab-217 / 221) Antibody
Rabbit polyclonal antibody to MEK1 / MEK2 (Ab-217 / 221) for WB, IHC and ICC/IF.
(4)
A92940
Anti-MEK1 Antibody
Rabbit polyclonal antibody to MEK1 for WB and IHC.
(3)
A16425
Anti-MEK1 (phospho Ser298) Antibody
Rabbit polyclonal antibody to MEK1 (phospho Ser298) for WB and IP.
(2)
A27666
Anti-MEK1 (phospho-T292) Antibody
Rabbit polyclonal antibody to MEK1 (phospho-T292) for WB, IHC and IF.
(3)
A307613
Anti-MEK1 Antibody [ARC0044]
Rabbit monoclonal [ARC0044] antibody to MEK1 for WB, ICC/IF and IP.
(2)
A27687
Anti-MEK1/2 (phospho-S218/222) Antibody
Rabbit polyclonal antibody to MEK1/2 (phospho-S218/222) for WB and IHC.
(3)
A94046
Anti-MEK1 (phospho Thr291) Antibody
Rabbit polyclonal antibody to MEK1 (phospho Thr291) for WB, IHC, IF and ELISA.
(4)
A50192
Anti-MEK1 (Phospho-Ser221) Antibody
Rabbit polyclonal antibody to MEK1 (Phospho-Ser221) for WB, IHC and ICC/IF.
(3)
A96160
Anti-MEK1 Antibody
Rabbit polyclonal antibody to MEK1 for WB, IHC, IF and ELISA.
(2)
A94047
Anti-MEK1 (phospho Ser298) Antibody
Rabbit polyclonal antibody to MEK1 (phospho Ser298) for WB, IHC, IF and ELISA.
(2)
A94432
Anti-MEK1 (phospho Thr286) Antibody
Rabbit polyclonal antibody to MEK1 (phospho Thr286) for WB, IHC, IF and ELISA.
(2)
A54566
Anti-MAP2K1 Antibody
Chicken polyclonal antibody to MAP2K1 for ELISA, IHC, IP and WB.
(3)
A34575
Anti-MEK1 / MEK2 (Ab-217 / 221) Antibody
Rabbit polyclonal antibody to MEK1 / MEK2 (Ab-217 / 221) for WB, IHC and ICC/IF.
(4)
A92940
Anti-MEK1 Antibody
Rabbit polyclonal antibody to MEK1 for WB and IHC.
(3)
A16425
Anti-MEK1 (phospho Ser298) Antibody
Rabbit polyclonal antibody to MEK1 (phospho Ser298) for WB and IP.
(2)
A27666
Anti-MEK1 (phospho-T292) Antibody
Rabbit polyclonal antibody to MEK1 (phospho-T292) for WB, IHC and IF.
See all MAP2K1 Antibodies
Proteins predicted to interact with MEK1
Predicted protein interactions based upon String database. Revelancy score correlates with probability of interaction.
ERK1 Antibodies
99.9% Relevancy Score
B-Raf Antibodies
99.9% Relevancy Score
ERK2 Antibodies
99.9% Relevancy Score
Raf1 Antibodies
99.9% Relevancy Score
MAPKSP1 Antibodies
99.8% Relevancy Score
KSR2 Antibodies
99.7% Relevancy Score
KSR1 Antibodies
99.6% Relevancy Score
MEK2 Antibodies
99.6% Relevancy Score
KRAS Antibodies
99.5% Relevancy Score
Top