Primary Antibodies
Secondary Antibodies
Proteins & Peptides
ELISA Kits
About Us
Contact Us
Sign In/Register
0
ISO 9001:2015 Certified
Live Customer Support
4.5/5 on Trustpilot
100% Quality Guarantee
Home
Primary Antibodies
MKK6 Antibodies
Anti-MAP2K6 Antibody (A34985)
Anti-MAP2K6 Antibody (A34985)
Overview
Specifications
Images
Enlarge Image
Enlarge Image
Enlarge Image
$390
Rabbit polyclonal antibody to MAP2K6 for WB, IHC and IF.
100% Guarantee
Price Match Guarantee
Product Size:
50µl
100µl
Quantity:
1
2
3
4
5
6
7
8
9
10
Add To Cart
Request a Quotation
Custom or Bulk Request
Shipping Information
Freight/Packing Charges:
$40
Dispatched from St. Louis, MO.
Lead Time: 6-9 business days.
Specifications
Name
Anti-MAP2K6 Antibody
Description
Rabbit polyclonal antibody to MAP2K6
Specificity
The antibody detects endogenous level of total MAP2K6 protein.
Applications
WB
,
IHC
,
IF
Reactivity
Human, Mouse, Rat
Immunogen
Recombinant protein of human MAP2K6.
Host
Rabbit
Clonality
Polyclonal
Conjugate
Unconjugated
Purification
Antibodies were purified by affinity purification using immunogen.
Concentration
1 mg/ml
Formulation
Supplied at 1.0mg / mL in phosphate buffered saline (without Mg2+ and Ca2+), pH 7.4, 150mM NaCl, 0.02% sodium azide and 50% glycerol.
Storage
Store at -20˚C
Synonyms
Dual specificity mitogen-activated protein kinase kinase 6, MAP kinase kinase 6, MAPK/ERK kinase 6, MAPKK 6, MEK 6, MEK6, PRKMK6, SAPK kinase 3, SAPKK-3, SAPKK3, SKK3, Stress-activated protein kinase kinase 3
Suitable Secondaries
Goat Anti-Rabbit IgG H&L Antibody (AP) (A294874)
Goat Anti-Rabbit IgG H&L Antibody (Biotin) (A294795)
Goat Anti-Rabbit IgG H&L Antibody (FITC) (A294887)
Goat Anti-Rabbit IgG H&L Antibody (HRP) (A294888)
See all Anti-Rabbit IgG Secondaries →
Disclaimer
This product is for research use only. It is not intended for diagnostic or therapeutic use.
Scientific Validation Data
Validation Data
(3)
Enlarge Image
Anti-MAP2K6 Antibody (A34985)
Western blot analysis of extracts of HeLa cell line, using MAP2K6 antibody.
Enlarge Image
Immunofluorescence - Anti-MAP2K6 Antibody (A34985)
Immunofluorescence analysis of U2OS cell using MAP2K6 antibody. Blue: DAPI for nuclear staining.
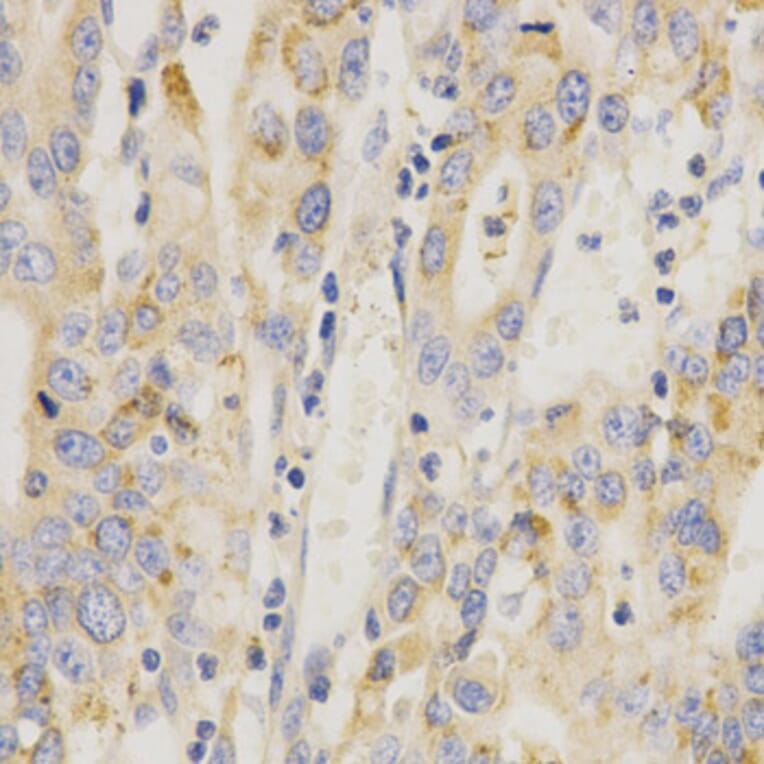
Enlarge Image
Immunohistochemistry - Anti-MAP2K6 Antibody (A34985)
Immunohistochemistry of paraffin-embedded human stomach cancer using MAP2K6 antibody at dilution of 1: 200 (x400 lens)
Publishing research using Anti-MAP2K6 Antibody (A34985)? Please
let us know
so that we can list the citation on this page.
Alternative products to Anti-MAP2K6 Antibody (A34985)
(2)
A94430
1 Citation
Anti-MKK6 (phospho Ser207) Antibody
Rabbit polyclonal antibody to MKK6 (phospho Ser207) for WB, IHC and ELISA.
(3)
A34690
Anti-MKK6 (Ab-207) Antibody
Rabbit polyclonal antibody to MKK6 (Ab-207) for WB, IHC and IF.
(3)
A50190
Anti-MKK6 (Phospho-Ser207) Antibody
Rabbit polyclonal antibody to MKK6 (Phospho-Ser207) for WB, IHC and IF.
(2)
A96155
Anti-MKK6 Antibody
Rabbit polyclonal antibody to MKK6 for WB, IHC and ELISA.
(2)
A96840
Anti-MAP2K6 Antibody
Rabbit polyclonal antibody to MAP2K6 for WB and ELISA.
(2)
A14076
Anti-MKK6 Antibody
Rabbit polyclonal antibody to MKK6 for WB and ICC/IF.
A96841
Anti-MAP2K6 Antibody
Rabbit polyclonal antibody to MAP2K6 for WB and ELISA.
A16955
Anti-MKK6 (phospho Ser207) Antibody
Rabbit polyclonal antibody to MKK6 (phospho Ser207) for WB, IHC and ICC/IF.
A42122
Anti-MAP2K6 Antibody
Rabbit polyclonal antibody to MAP2K6 for WB.
(2)
A94430
1 Citation
Anti-MKK6 (phospho Ser207) Antibody
Rabbit polyclonal antibody to MKK6 (phospho Ser207) for WB, IHC and ELISA.
(3)
A34690
Anti-MKK6 (Ab-207) Antibody
Rabbit polyclonal antibody to MKK6 (Ab-207) for WB, IHC and IF.
(3)
A50190
Anti-MKK6 (Phospho-Ser207) Antibody
Rabbit polyclonal antibody to MKK6 (Phospho-Ser207) for WB, IHC and IF.
(2)
A96155
Anti-MKK6 Antibody
Rabbit polyclonal antibody to MKK6 for WB, IHC and ELISA.
(2)
A96840
Anti-MAP2K6 Antibody
Rabbit polyclonal antibody to MAP2K6 for WB and ELISA.
(2)
A14076
Anti-MKK6 Antibody
Rabbit polyclonal antibody to MKK6 for WB and ICC/IF.
A96841
Anti-MAP2K6 Antibody
Rabbit polyclonal antibody to MAP2K6 for WB and ELISA.
A16955
Anti-MKK6 (phospho Ser207) Antibody
Rabbit polyclonal antibody to MKK6 (phospho Ser207) for WB, IHC and ICC/IF.
A42122
Anti-MAP2K6 Antibody
Rabbit polyclonal antibody to MAP2K6 for WB.
See all MAP2K6 Antibodies
Proteins predicted to interact with MKK6
Predicted protein interactions based upon String database. Revelancy score correlates with probability of interaction.
p38 alpha Antibodies
99.7% Relevancy Score
TAK1 Antibodies
99.6% Relevancy Score
ASK1 Antibodies
99.3% Relevancy Score
MEK3 Antibodies
98.9% Relevancy Score
MAP3K4 Antibodies
98.6% Relevancy Score
p38 gamma Antibodies
98% Relevancy Score
MAPK11 Antibodies
97.7% Relevancy Score
TAOK2 Antibodies
97.3% Relevancy Score
p38 delta Antibodies
97.1% Relevancy Score
Top